Harris Benjamin T, Eichman Elizabeth A, Burrus Matthew T
College of Osteopathic Medicine, University of New England, Biddeford, USA.
School of Medicine, Texas Tech University Health Sciences Center, Lubbock, USA.
Cureus. 2021 Oct 23;13(10):e18989. doi: 10.7759/cureus.18989. eCollection 2021 Oct.
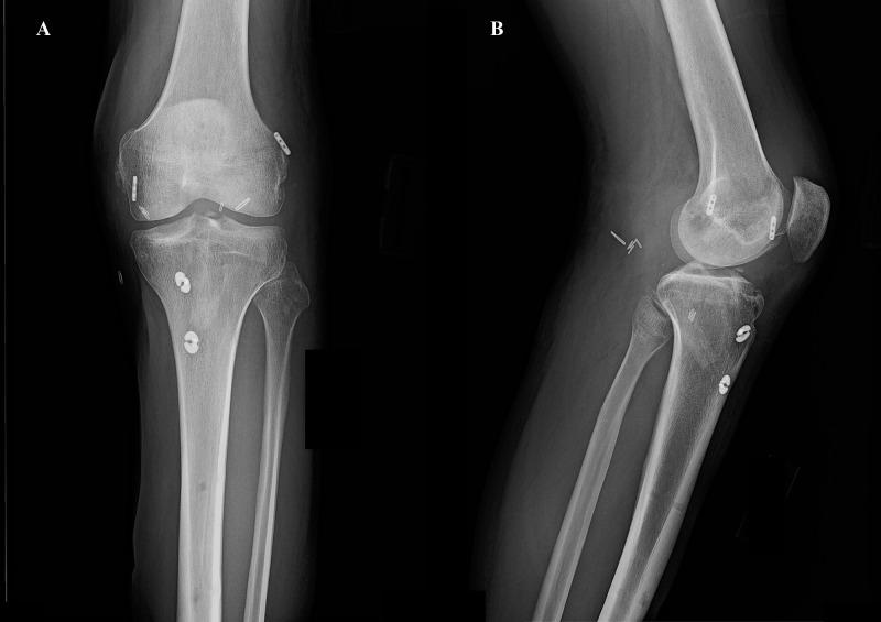
Bilateral knee dislocation is an extremely rare and devastating injury to the knee joint. This injury is a true emergency as concomitant injuries may threaten life and limb. Here, we report the case of a 26-year-old male patient who sustained bilateral knee dislocation due to a high-velocity motor vehicle accident. In this case, the patient suffered a feared complication associated with knee dislocation, popliteal artery disruption with peroneal nerve damage. Abdominal and skeletal injuries were also discovered and treated appropriately by a multidisciplinary team. A staged surgical approach to ligament reconstruction was used without any postoperative complication. Postoperatively, the patient successfully returned to his preoperative activity level.
双侧膝关节脱位是一种极其罕见且严重的膝关节损伤。这种损伤是真正的急症,因为伴随的损伤可能危及生命和肢体。在此,我们报告一例26岁男性患者,因高速机动车事故导致双侧膝关节脱位。在该病例中,患者遭遇了与膝关节脱位相关的可怕并发症,即腘动脉断裂伴腓总神经损伤。还发现了腹部和骨骼损伤,并由多学科团队进行了适当治疗。采用了分期手术方法进行韧带重建,未出现任何术后并发症。术后,患者成功恢复到术前的活动水平。