Shaanxi Centre of Stem Cells Engineering & Technology, College of Veterinary Medicine, Northwest A&F University, Yangling 712100, China.
Int J Mol Sci. 2021 Nov 30;22(23):12954. doi: 10.3390/ijms222312954.
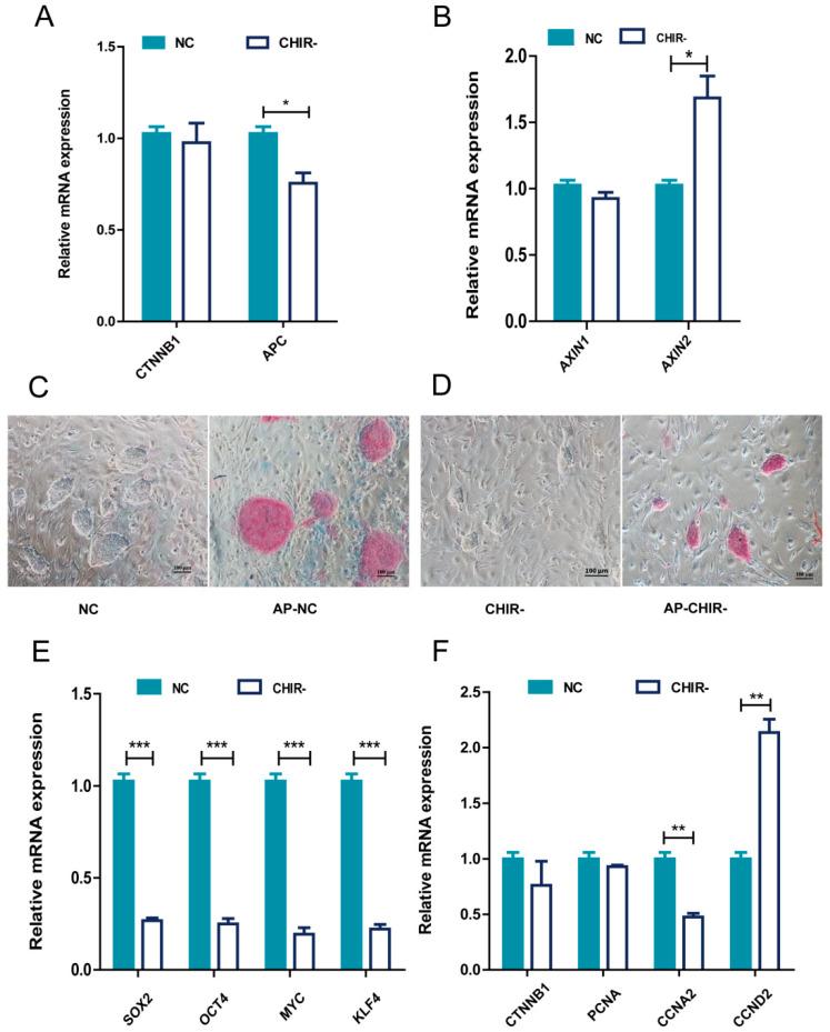
The establishment of porcine pluripotent stem cells (piPSCs) is critical but remains challenging. All piPSCs are extremely sensitive to minor perturbations of culture conditions and signaling network. Inhibitors, such as CHIR99021 and XAV939 targeting the WNT signaling pathway, have been added in a culture medium to modify the cell regulatory network. However, potential side effects of inhibitors could confine the pluripotency and practicability of piPSCs. This study aimed to investigate the roles of AXIN, one component of the WNT pathway in piPSCs. Here, porcine AXIN1 and AXIN2 genes were knocked-down or overexpressed. Digital RNA-seq was performed to explore the mechanism of cell proliferation and apoptosis. We found that (1) overexpression of the porcine AXIN2 gene significantly reduced survival and negatively impacted the pluripotency of piPSCs, and (2) knockdown of AXIN2, a negative effector of the WNT signaling pathway, enhanced the expression of genes involved in cell cycle but reduced the expression of genes related to cell differentiation, death, and apoptosis.
猪多能干细胞(piPSCs)的建立至关重要,但仍然具有挑战性。所有 piPSCs 对培养条件和信号网络的微小干扰都非常敏感。抑制剂,如针对 WNT 信号通路的 CHIR99021 和 XAV939,已被添加到培养基中以修饰细胞调控网络。然而,抑制剂的潜在副作用可能会限制 piPSCs 的多能性和实用性。本研究旨在研究 WNT 通路中的一个组成部分 AXIN 在 piPSCs 中的作用。在这里,敲低或过表达了猪的 AXIN1 和 AXIN2 基因。进行数字 RNA-seq 以探索细胞增殖和凋亡的机制。我们发现:(1)猪 AXIN2 基因的过表达显著降低了 piPSCs 的存活率并对其多能性产生负面影响,(2)WNT 信号通路的负效应因子 AXIN2 的敲低增强了参与细胞周期的基因的表达,但降低了与细胞分化、死亡和凋亡相关的基因的表达。