The Joint Pathology Center, Silver Spring, MD 20910, USA.
Department of Pathology, University of Virginia Health System, Charlottesville, VA 22904, USA.
Curr Oncol. 2021 Dec 4;28(6):5124-5147. doi: 10.3390/curroncol28060430.
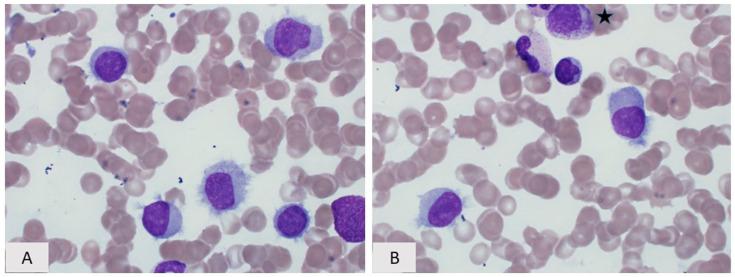
CD5-negative, CD10-negative low-grade B-cell lymphoproliferative disorders (CD5-CD10-LPD) of the spleen comprise a fascinating group of indolent, neoplastic, mature B-cell proliferations that are essential to accurately identify but can be difficult to diagnose. They comprise the majority of B-cell LPDs primary to the spleen, commonly presenting with splenomegaly and co-involvement of peripheral blood and bone marrow, but with little to no involvement of lymph nodes. Splenic marginal zone lymphoma is one of the prototypical, best studied, and most frequently encountered CD5-CD10-LPD of the spleen and typically involves white pulp. In contrast, hairy cell leukemia, another well-studied CD5-CD10-LPD of the spleen, involves red pulp, as do the two less common entities comprising so-called splenic B-cell lymphoma/leukemia unclassifiable: splenic diffuse red pulp small B-cell lymphoma and hairy cell leukemia variant. Although not always encountered in the spleen, lymphoplasmacytic lymphoma, a B-cell lymphoproliferative disorder consisting of a dual population of both clonal B-cells and plasma cells and the frequent presence of the MYD88 L265P mutation, is another CD5-CD10-LPD that can be seen in the spleen. Distinction of these different entities is possible through careful evaluation of morphologic, immunophenotypic, cytogenetic, and molecular features, as well as peripheral blood and bone marrow specimens. A firm understanding of this group of low-grade B-cell lymphoproliferative disorders is necessary for accurate diagnosis leading to optimal patient management.
CD5-阴性、CD10-阴性的低级 B 细胞淋巴增生性疾病(CD5-CD10-LPD)是一组引人入胜的惰性、肿瘤性、成熟 B 细胞增生性疾病,准确识别这些疾病至关重要,但诊断起来可能具有一定难度。这些疾病构成了大多数原发性脾脏 B 细胞 LPD,通常表现为脾肿大,并伴有外周血和骨髓的共同受累,但很少或没有淋巴结受累。脾边缘区淋巴瘤是脾脏中最典型、研究最多、最常见的 CD5-CD10-LPD 之一,通常累及白髓。相比之下,另一种研究较多的脾脏 CD5-CD10-LPD——毛细胞白血病,则累及红髓,还有两种不太常见的实体,即所谓的不可分类的脾脏 B 细胞淋巴瘤/白血病:脾脏弥漫性红髓小 B 细胞淋巴瘤和毛细胞白血病变异型,也累及红髓。虽然在脾脏中并非总是能见到,但淋巴浆细胞淋巴瘤也是一种脾脏 B 细胞增生性疾病,由克隆性 B 细胞和浆细胞的双重群体组成,并且经常存在 MYD88 L265P 突变,也是一种可以在脾脏中见到的 CD5-CD10-LPD。通过仔细评估形态学、免疫表型、细胞遗传学和分子特征,以及外周血和骨髓标本,可以对这些不同实体进行区分。为了进行准确诊断并实现最佳患者管理,必须充分了解这组低级 B 细胞淋巴增生性疾病。