Suppr超能文献

低剂量阿苯达唑通过增强磷酸化GSK-3/Tyr216的积累来抑制黑色素瘤细胞的上皮-间质转化。

Low-Dose Albendazole Inhibits Epithelial-Mesenchymal Transition of Melanoma Cells by Enhancing Phosphorylated GSK-3/Tyr216 Accumulation.

作者信息

He Zhiqiang, Lei Shun, Liang Fucheng, Tan Liuchang, Zhang Weinan, Xie Luoyingzi, Zheng Hong, Lu Yuangang

机构信息

Department of Plastic & Cosmetic Surgery, Army Medical Center of PLA, Amy Medical University, Chongqing 400042, China.

Department of Oncology and Southwest Cancer Center, Southwest Hospital, Army Medical University, Chongqing 400038, China.

出版信息

J Oncol. 2021 Dec 20;2021:4475192. doi: 10.1155/2021/4475192. eCollection 2021.

Abstract

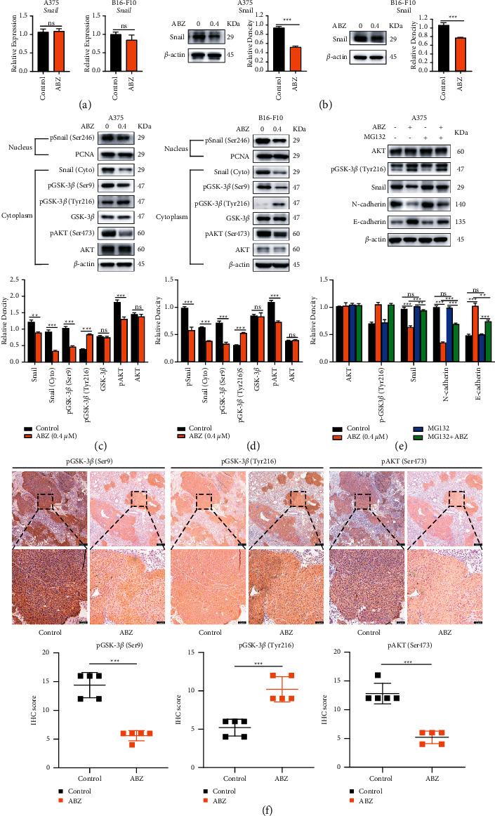
Albendazole (ABZ) is an effective broad-spectrum anthelmintic agent that has been widely used for humans and animals. Previous studies have reported that ABZ exhibits antitumor effects against melanoma and other different cancer types; however, it is unknown whether ABZ exerts the inhibitory effect against melanoma metastasis. In this study, we aimed to investigate the inhibitory effect of ABZ on melanoma cells. Through in vitro studies, we discovered that low-dose ABZ treatment significantly inhibited the migration and invasion, but not the proliferation, of A375 and B16-F10 cells in a dose-dependent manner. Further analysis revealed that ABZ treatment reduced the expression level of snail family transcriptional repressor 1 (Snail) in the cytoplasm and nucleus by decreasing the levels of phosphorylated AKT (pAKT) Ser473/GSK-3 (pGSK-3) Ser9 and increasing pGSK-3/Tyr216, resulting in a significant upregulation of E-cadherin and downregulation of N-cadherin and ultimately reversing the epithelial-mesenchymal transition (EMT) process of melanoma cells. In contrast, the continuous activation of AKT via transfected plasmids elevated the protein levels of pAKT Ser473/pGSK-3 Ser9 and Snail and antagonized the inhibitory action of ABZ. We also confirmed that ABZ treatment effectively inhibited the lung metastasis of melanoma in nude mice in vivo. Subsequent immunohistochemical analysis verified the decreased pAKT Ser473/pGSK-3 Ser9 and increased pGSK-3/Tyr216 levels in ABZ-treated subcutaneous tumors. Therefore, our findings demonstrate that ABZ treatment can suppress the EMT progress of melanoma by increasing the pGSK-3/Tyr216-mediated degradation of Snail, which may be used as a potential treatment strategy for metastatic melanoma.

摘要

阿苯达唑(ABZ)是一种有效的广谱驱虫剂,已广泛应用于人和动物。先前的研究报道,ABZ对黑色素瘤和其他不同类型的癌症具有抗肿瘤作用;然而,ABZ是否对黑色素瘤转移具有抑制作用尚不清楚。在本研究中,我们旨在研究ABZ对黑色素瘤细胞的抑制作用。通过体外研究,我们发现低剂量ABZ处理以剂量依赖性方式显著抑制A375和B16-F10细胞的迁移和侵袭,但不影响其增殖。进一步分析表明,ABZ处理通过降低磷酸化AKT(pAKT)Ser473/GSK-3(pGSK-3)Ser9水平并增加pGSK-3/Tyr216水平,降低了细胞质和细胞核中蜗牛家族转录抑制因子1(Snail)的表达水平,导致E-钙黏蛋白显著上调,N-钙黏蛋白下调,最终逆转黑色素瘤细胞的上皮-间质转化(EMT)过程。相反,通过转染质粒持续激活AKT可提高pAKT Ser473/pGSK-3 Ser9和Snail的蛋白水平,并拮抗ABZ的抑制作用。我们还证实,ABZ处理在体内有效抑制了裸鼠黑色素瘤的肺转移。随后的免疫组织化学分析证实,ABZ处理的皮下肿瘤中pAKT Ser473/pGSK-3 Ser9水平降低,pGSK-3/Tyr216水平升高。因此,我们的研究结果表明,ABZ处理可通过增加pGSK-3/Tyr216介导的Snail降解来抑制黑色素瘤的EMT进程,这可能作为转移性黑色素瘤的一种潜在治疗策略。

https://cdn.ncbi.nlm.nih.gov/pmc/blobs/fb21/8712124/e11c701859ff/JO2021-4475192.001.jpg

文献检索

告别复杂PubMed语法,用中文像聊天一样搜索,搜遍4000万医学文献。AI智能推荐,让科研检索更轻松。

立即免费搜索

文件翻译

保留排版,准确专业,支持PDF/Word/PPT等文件格式,支持 12+语言互译。

免费翻译文档

深度研究

AI帮你快速写综述,25分钟生成高质量综述,智能提取关键信息,辅助科研写作。

立即免费体验