• 文献检索
  • 文档翻译
  • 深度研究
  • 学术资讯
  • Suppr Zotero 插件Zotero 插件
  • 邀请有礼
  • 套餐&价格
  • 历史记录
应用&插件
Suppr Zotero 插件Zotero 插件浏览器插件Mac 客户端Windows 客户端微信小程序
定价
高级版会员购买积分包购买API积分包
服务
文献检索文档翻译深度研究API 文档MCP 服务
关于我们
关于 Suppr公司介绍联系我们用户协议隐私条款
关注我们

Suppr 超能文献

核心技术专利:CN118964589B侵权必究
粤ICP备2023148730 号-1Suppr @ 2026

文献检索

告别复杂PubMed语法,用中文像聊天一样搜索,搜遍4000万医学文献。AI智能推荐,让科研检索更轻松。

立即免费搜索

文件翻译

保留排版,准确专业,支持PDF/Word/PPT等文件格式,支持 12+语言互译。

免费翻译文档

深度研究

AI帮你快速写综述,25分钟生成高质量综述,智能提取关键信息,辅助科研写作。

立即免费体验

CT 影像指导下的冷冻球囊消融术的解剖学难点特征

Characteristics of anatomical difficulty for cryoballoon ablation: insights from CT.

机构信息

Cooperative Major in Advanced Biomedical Sciences, Joint Graduate School of Tokyo Women's Medical University and Waseda University, Waseda University, Shinjuku-ku, Tokyo, Japan.

Department of Cardiology, Shonan Kamakura General Hospital, Kamakura, Kanagawa, Japan.

出版信息

Open Heart. 2022 Jan;9(1). doi: 10.1136/openhrt-2021-001724.

DOI:10.1136/openhrt-2021-001724
PMID:34992156
原文链接:https://pmc.ncbi.nlm.nih.gov/articles/PMC8739445/
Abstract

BACKGROUND

The limited availability of balloon sizes for cryoballoon leads to anatomical limitations for pulmonary vein (PV) isolation. We conducted a comprehensive systematic analysis on procedural success rate, atrial fibrillation (AF) recurrence rate and complications of cryoballoon ablation in association with the anatomy of the left atrium and PV based on preprocedural CT to gain insights into proper treatments of patients with AF using cryoballoon.

METHOD

A systematic search of literature databases, including PubMed, Web of Science and Cochrane Library, from the inception of each database through February 2021 was conducted. Search keywords included 'atrial fibrillation', 'cryoballoon ablation' and 'anatomy'.

RESULTS

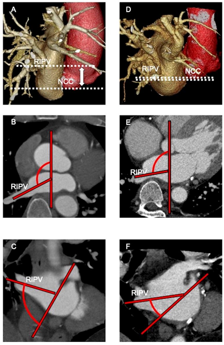
Overall, 243 articles were identified. After screening, 16 articles comprising 1396 patients were included (3, 5 and 8 for acute success, AF recurrence and complications, respectively). Regarding acute success and AF recurrences, thinner width of the left lateral ridge, higher PV ovality, PV ostium-bifurcation distance, shorter distance from the non-coronary cusp to inferior PVs, shallower angle of right PVs against the atrial septum and larger right superior PV (RSPV) were associated with poor outcomes. Regarding complications, shorter distance between the RSPV ostium and the right phrenic nerve, larger RSPV-left atrium angle, larger RSPV area and smaller right carina width were associated with incidences of phrenic nerve injury.

CONCLUSION

This study elucidated several key anatomical features of PVs possibly affecting acute success, AF recurrence and complications in patients with AF using cryoballoon ablation. CT analysis has helped to describe benefits and anatomical limitations for cryoballoon ablation.

摘要

背景

冷冻球囊的球囊尺寸有限,导致肺静脉(PV)隔离的解剖限制。我们基于术前 CT 对左心房和 PV 的解剖结构进行了全面的系统分析,以获得使用冷冻球囊治疗 AF 患者的见解,分析了冷冻球囊消融术与左心房和 PV 解剖结构相关的程序成功率、房颤(AF)复发率和并发症。

方法

系统检索了包括 PubMed、Web of Science 和 Cochrane Library 在内的文献数据库,检索时间从每个数据库的创建时间到 2021 年 2 月。搜索关键词包括“房颤”、“冷冻球囊消融”和“解剖”。

结果

共确定了 243 篇文章。经过筛选,纳入了 16 篇文章,共包括 1396 例患者(分别为 3 篇、5 篇和 8 篇用于急性成功、AF 复发和并发症)。就急性成功和 AF 复发而言,左侧侧嵴较薄、PV 卵圆形较高、PV 口分叉距离较长、从非冠状动脉瓣到下 PV 的距离较短、右 PV 与房间隔的夹角较浅、RSPV 较大与不良结果相关。关于并发症,RSPV 口与右膈神经之间的距离较短、RSPV-左心房角度较大、RSPV 面积较大和右嵴宽度较小与膈神经损伤的发生率相关。

结论

本研究阐明了几个可能影响使用冷冻球囊消融术治疗 AF 患者的急性成功、AF 复发和并发症的 PV 关键解剖特征。CT 分析有助于描述冷冻球囊消融的获益和解剖局限性。

https://cdn.ncbi.nlm.nih.gov/pmc/blobs/63c7/8739445/304b41c0520f/openhrt-2021-001724f08.jpg
https://cdn.ncbi.nlm.nih.gov/pmc/blobs/63c7/8739445/df534d5ad509/openhrt-2021-001724f01.jpg
https://cdn.ncbi.nlm.nih.gov/pmc/blobs/63c7/8739445/7ea1a24aca95/openhrt-2021-001724f02.jpg
https://cdn.ncbi.nlm.nih.gov/pmc/blobs/63c7/8739445/de46c16740b8/openhrt-2021-001724f03.jpg
https://cdn.ncbi.nlm.nih.gov/pmc/blobs/63c7/8739445/5f2c3c6ff5c0/openhrt-2021-001724f04.jpg
https://cdn.ncbi.nlm.nih.gov/pmc/blobs/63c7/8739445/8cd1db44cd87/openhrt-2021-001724f05.jpg
https://cdn.ncbi.nlm.nih.gov/pmc/blobs/63c7/8739445/b07f31e270b3/openhrt-2021-001724f06.jpg
https://cdn.ncbi.nlm.nih.gov/pmc/blobs/63c7/8739445/e59e97f66e36/openhrt-2021-001724f07.jpg
https://cdn.ncbi.nlm.nih.gov/pmc/blobs/63c7/8739445/304b41c0520f/openhrt-2021-001724f08.jpg
https://cdn.ncbi.nlm.nih.gov/pmc/blobs/63c7/8739445/df534d5ad509/openhrt-2021-001724f01.jpg
https://cdn.ncbi.nlm.nih.gov/pmc/blobs/63c7/8739445/7ea1a24aca95/openhrt-2021-001724f02.jpg
https://cdn.ncbi.nlm.nih.gov/pmc/blobs/63c7/8739445/de46c16740b8/openhrt-2021-001724f03.jpg
https://cdn.ncbi.nlm.nih.gov/pmc/blobs/63c7/8739445/5f2c3c6ff5c0/openhrt-2021-001724f04.jpg
https://cdn.ncbi.nlm.nih.gov/pmc/blobs/63c7/8739445/8cd1db44cd87/openhrt-2021-001724f05.jpg
https://cdn.ncbi.nlm.nih.gov/pmc/blobs/63c7/8739445/b07f31e270b3/openhrt-2021-001724f06.jpg
https://cdn.ncbi.nlm.nih.gov/pmc/blobs/63c7/8739445/e59e97f66e36/openhrt-2021-001724f07.jpg
https://cdn.ncbi.nlm.nih.gov/pmc/blobs/63c7/8739445/304b41c0520f/openhrt-2021-001724f08.jpg

相似文献

1
Characteristics of anatomical difficulty for cryoballoon ablation: insights from CT.CT 影像指导下的冷冻球囊消融术的解剖学难点特征
Open Heart. 2022 Jan;9(1). doi: 10.1136/openhrt-2021-001724.
2
Anatomic predictors of phrenic nerve injury in the setting of pulmonary vein isolation using the 28-mm second-generation cryoballoon.应用 28mm 第二代冷冻球囊行肺静脉隔离时膈神经损伤的解剖学预测因子。
Heart Rhythm. 2016 Feb;13(2):342-51. doi: 10.1016/j.hrthm.2015.10.017. Epub 2015 Oct 13.
3
Pulmonary vein anatomy addressed by computed tomography and relation to success of second-generation cryoballoon ablation in paroxysmal atrial fibrillation.计算机断层扫描显示的肺静脉解剖结构及其与阵发性心房颤动第二代冷冻球囊消融术成功率的关系
Clin Cardiol. 2019 Apr;42(4):438-443. doi: 10.1002/clc.23163. Epub 2019 Mar 13.
4
Pulmonary vein measurements on pre-procedural CT/MR imaging can predict difficult pulmonary vein isolation and phrenic nerve injury during cryoballoon ablation for paroxysmal atrial fibrillation.在阵发性心房颤动的冷冻球囊消融术中,术前CT/MR成像上的肺静脉测量可预测肺静脉隔离困难和膈神经损伤。
Int J Cardiol. 2015 Sep 15;195:253-8. doi: 10.1016/j.ijcard.2015.05.089. Epub 2015 May 21.
5
Predictors of late pulmonary vein reconnection in patients with arrhythmia recurrence after cryoballoon ablation-per vein analysis including cardiac computed tomography-based anatomic factors.心律失常复发患者行冷冻球囊消融术后肺静脉晚期再连接的预测因素-静脉分析包括基于心脏计算机断层扫描的解剖学因素。
Eur Heart J Cardiovasc Imaging. 2023 Jun 21;24(7):972-981. doi: 10.1093/ehjci/jeac255.
6
Analysis of the anatomical features of pulmonary veins on pre-procedural cardiac CT images resulting in incomplete cryoballoon ablation for atrial fibrillation.术前心脏 CT 图像分析肺静脉解剖结构特征导致房颤冷冻球囊消融不完全。
J Cardiovasc Comput Tomogr. 2019 Mar-Apr;13(2):118-127. doi: 10.1016/j.jcct.2018.11.005. Epub 2018 Nov 14.
7
Cryoballoon in AF ablation: impact of PV ovality on AF recurrence.冷冻球囊消融治疗房颤:PV 形态对房颤复发的影响。
Int J Cardiol. 2013 Jul 15;167(1):114-20. doi: 10.1016/j.ijcard.2011.12.017. Epub 2011 Dec 27.
8
Anatomic Parameters Predicting Procedural Difficulty and Balloon Temperature Predicting Successful Applications in Individual Pulmonary Veins During 28-mm Second-Generation Cryoballoon Ablation.在 28mm 第二代冷冻球囊消融中,预测各个肺静脉操作难度的解剖学参数和预测球囊温度成功应用的参数。
JACC Clin Electrophysiol. 2017 Jun;3(6):580-588. doi: 10.1016/j.jacep.2017.01.004. Epub 2017 Mar 29.
9
Effect of cryoballoon inflation at the right superior pulmonary vein orifice on phrenic nerve location.右肺上静脉口处冷冻球囊扩张对膈神经位置的影响。
Heart Rhythm. 2016 Jan;13(1):28-36. doi: 10.1016/j.hrthm.2015.08.013. Epub 2015 Aug 10.
10
Recurrent atrial fibrillation after initial cryoballoon ablation: New perspectives for intensive ablation in right superior pulmonary vein ostium for atrial fibrillation.初始冷冻球囊消融后复发性心房颤动:在右肺静脉口行密集消融治疗心房颤动的新视角。
Cryobiology. 2021 Dec;103:49-56. doi: 10.1016/j.cryobiol.2021.09.011. Epub 2021 Oct 12.

引用本文的文献

1
Assessing the value of routine preprocedural CT angiography in cryoballoon pulmonary vein isolation: a prospective, propensity score-matched study.评估常规术前CT血管造影在冷冻球囊肺静脉隔离中的价值:一项前瞻性、倾向评分匹配研究。
Int J Cardiol Heart Vasc. 2025 Aug 4;60:101769. doi: 10.1016/j.ijcha.2025.101769. eCollection 2025 Oct.
2
Prediction of difficulty in cryoballoon ablation with a three-dimensional deep learning model using polygonal mesh representation.使用多边形网格表示的三维深度学习模型预测冷冻球囊消融的难度
J Arrhythm. 2025 Apr 25;41(2):e70078. doi: 10.1002/joa3.70078. eCollection 2025 Apr.
3

本文引用的文献

1
Anatomic predictors of recurrence after cryoablation for atrial fibrillation: a computed tomography based composite score.冷冻消融治疗心房颤动后复发的解剖学预测因素:基于 CT 的综合评分。
J Interv Card Electrophysiol. 2021 Aug;61(2):293-302. doi: 10.1007/s10840-020-00799-7. Epub 2020 Jun 30.
2
A saline contrast-enhanced echocardiography-guided approach to cryoballoon ablation.盐水对比增强超声心动图引导下的冷冻球囊消融。
Pacing Clin Electrophysiol. 2020 Jul;43(7):664-670. doi: 10.1111/pace.13945. Epub 2020 Jun 11.
3
Reconduction After Second-Generation Cryoballoon-Based Pulmonary Vein Isolation - Impact of Different Ablation Strategies.
Efficacy, safety, and somatosensory comparison of pulsed-field ablation and thermal ablation: outcomes from a 2-year follow-up.
脉冲场消融与热消融的疗效、安全性及体感比较:2年随访结果
J Interv Card Electrophysiol. 2024 Dec 14. doi: 10.1007/s10840-024-01966-w.
4
Meta-analysis of Pulsed Field Ablation Versus Thermal Ablation for Pulmonary Vein Isolation in AF: A Broad Overview Focusing on Efficacy, Safety and Outcomes.房颤肺静脉隔离中脉冲场消融与热消融的荟萃分析:聚焦疗效、安全性和结局的广泛概述
Arrhythm Electrophysiol Rev. 2024 Aug 22;13:e13. doi: 10.15420/aer.2024.05. eCollection 2024.
5
The impact of peri-procedural imaging on safety and efficacy of atrial fibrillation ablation: insights from the Israeli AF Catheter Ablation Registry (ICAR).围手术期成像对房颤消融安全性和有效性的影响:来自以色列房颤导管消融注册研究(ICAR)的见解。
J Interv Card Electrophysiol. 2025 Jan;68(1):73-81. doi: 10.1007/s10840-024-01887-8. Epub 2024 Aug 3.
6
Early Clinical Outcomes and Advantages of a Novel-Size Adjustable Second-Generation Cryoballoon: A Proof-of-Concept Study.新型尺寸可调第二代冷冻球囊的早期临床结果及优势:一项概念验证研究
J Clin Med. 2024 Feb 22;13(5):1259. doi: 10.3390/jcm13051259.
7
Cryoballoon vs. laser balloon ablation for atrial fibrillation: a meta-analysis.冷冻球囊与激光球囊消融治疗心房颤动的Meta分析
Front Cardiovasc Med. 2023 Dec 18;10:1278635. doi: 10.3389/fcvm.2023.1278635. eCollection 2023.
8
Best Practice Guide for Cryoballoon Ablation in Atrial Fibrillation: The Compilation Experience of More than 1000 Procedures.心房颤动冷冻球囊消融最佳实践指南:1000 余例手术的汇编经验
J Cardiovasc Dev Dis. 2023 Jan 30;10(2):55. doi: 10.3390/jcdd10020055.
第二代冷冻球囊肺静脉隔离后再消融 - 不同消融策略的影响。
Circ J. 2020 May 25;84(6):902-910. doi: 10.1253/circj.CJ-19-1144. Epub 2020 Apr 18.
4
Phrenic nerve palsy during right-sided pulmonary veins cryoapplications: new insights from pulmonary vein anatomy addressed by computed tomography.右侧肺静脉冷冻消融过程中膈神经麻痹:CT 对肺静脉解剖学的新认识。
J Interv Card Electrophysiol. 2021 Jan;60(1):85-92. doi: 10.1007/s10840-020-00713-1. Epub 2020 Feb 14.
5
Anatomical and Procedural Factors of Severe Pulmonary Vein Stenosis After Cryoballoon Pulmonary Vein Ablation.冷冻球囊肺静脉消融术后严重肺静脉狭窄的解剖和操作因素。
JACC Clin Electrophysiol. 2019 Nov;5(11):1303-1315. doi: 10.1016/j.jacep.2019.08.003. Epub 2019 Oct 30.
6
Anatomic predictors of late right inferior pulmonary vein reconnection in the setting of second-generation cryoballoon ablation.第二代冷冻球囊消融术中右肺下静脉晚期再连接的解剖学预测因素。
J Cardiovasc Electrophysiol. 2019 Nov;30(11):2294-2301. doi: 10.1111/jce.14186. Epub 2019 Sep 30.
7
Fluoroscopy-free cryoablation of atrial fibrillation guided solely by transoesophageal echocardiography: a case report.仅经食管超声心动图引导的无荧光透视房颤冷冻消融术:一例报告
Eur Heart J Case Rep. 2018 Nov 26;2(4):yty137. doi: 10.1093/ehjcr/yty137. eCollection 2018 Dec.
8
Long-Term Outcomes After Ablation for Paroxysmal Atrial Fibrillation Using the Second-Generation Cryoballoon: Final Results From STOP AF Post-Approval Study.第二代冷冻球囊消融治疗阵发性心房颤动的长期疗效:STOP AF 上市后研究的最终结果。
JACC Clin Electrophysiol. 2019 Mar;5(3):306-314. doi: 10.1016/j.jacep.2018.11.006. Epub 2018 Dec 26.
9
Pulmonary vein anatomy addressed by computed tomography and relation to success of second-generation cryoballoon ablation in paroxysmal atrial fibrillation.计算机断层扫描显示的肺静脉解剖结构及其与阵发性心房颤动第二代冷冻球囊消融术成功率的关系
Clin Cardiol. 2019 Apr;42(4):438-443. doi: 10.1002/clc.23163. Epub 2019 Mar 13.
10
Analysis of the anatomical features of pulmonary veins on pre-procedural cardiac CT images resulting in incomplete cryoballoon ablation for atrial fibrillation.术前心脏 CT 图像分析肺静脉解剖结构特征导致房颤冷冻球囊消融不完全。
J Cardiovasc Comput Tomogr. 2019 Mar-Apr;13(2):118-127. doi: 10.1016/j.jcct.2018.11.005. Epub 2018 Nov 14.