Suppr超能文献

与最后区综合征相关的自身免疫性胶质纤维酸性蛋白星形细胞病:一例报告

Autoimmune Glial Fibrillary Acidic Protein Astrocytopathy Associated With Area Postrema Syndrome: A Case Report.

作者信息

Gao Xin, Tang Ying, Yang Guo-Dong, Wei Wu

机构信息

Department of Neurology, Jiu Jiang No.1 People's Hospital, Jiujiang, China.

出版信息

Front Neurol. 2021 Dec 24;12:803116. doi: 10.3389/fneur.2021.803116. eCollection 2021.

Abstract

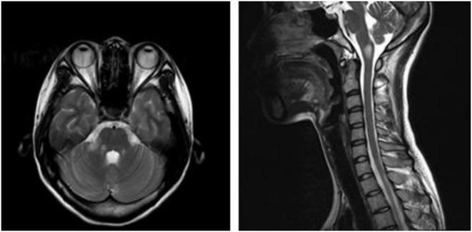
Glial fibrillary acidic protein astrocytopathy is an immunotherapy-responsive autoimmune disease of the central nervous system with various clinical manifestations; among these, there are few reports about area postrema syndrome (APS). The authors present the case of a female patient admitted to the hospital with intractable nausea and vomiting as the predominant symptom. The patient's cerebrospinal fluid was tested by cell-based assays (CBA) and found positive for the presence of anti-glial fibrillary acidic protein (GFAP) antibody, in addition, serological testing showed elevated levels of thyroglobulin and thyroperoxidase-specific antibodies. Brain and cervical MRI showed abnormally high signal on the T2 sequence in the dorsal medulla oblongata and right pontine arm. Therefore, the patient was diagnosed with autoimmune GFAP astrocytopathy. The symptoms improved rapidly after treatment with corticosteroids, and no recurrence has been observed thus far. APS may be a relatively rare clinical manifestation of GFAP astrocytopathy. Importantly, such presentation is challenging to correctly diagnose without typical MRI imaging findings. However, the detection of antibodies in the cerebrospinal fluid or serum may be valuable. Systemic and neurological autoimmunity often coexist, comprehensive antibody screening should be conducted.

摘要

胶质纤维酸性蛋白星形细胞病是一种对免疫治疗有反应的中枢神经系统自身免疫性疾病,临床表现多样;其中,关于最后区综合征(APS)的报道较少。作者报告了一例以顽固性恶心和呕吐为主要症状入院的女性患者。对患者的脑脊液进行基于细胞的检测(CBA),发现抗胶质纤维酸性蛋白(GFAP)抗体呈阳性,此外,血清学检测显示甲状腺球蛋白和甲状腺过氧化物酶特异性抗体水平升高。脑部和颈部MRI显示延髓背侧和右桥臂在T2序列上信号异常增高。因此,该患者被诊断为自身免疫性GFAP星形细胞病。使用皮质类固醇治疗后症状迅速改善,迄今为止未观察到复发。APS可能是GFAP星形细胞病相对罕见的临床表现。重要的是,若无典型的MRI影像学表现,这种表现很难正确诊断。然而,脑脊液或血清中抗体的检测可能很有价值。系统性和神经性自身免疫常并存,应进行全面的抗体筛查。

https://cdn.ncbi.nlm.nih.gov/pmc/blobs/9385/8739890/3faa337ad09f/fneur-12-803116-g0001.jpg

相似文献

1
Autoimmune Glial Fibrillary Acidic Protein Astrocytopathy Associated With Area Postrema Syndrome: A Case Report.
Front Neurol. 2021 Dec 24;12:803116. doi: 10.3389/fneur.2021.803116. eCollection 2021.
5
Case report: Excessive daytime sleepiness as a presenting manifestation of autoimmune glial fibrillary acidic protein astrocytopathy.
Front Immunol. 2023 Dec 20;14:1302514. doi: 10.3389/fimmu.2023.1302514. eCollection 2023.
6
Area Postrema Syndrome in Autoimmune Glial Fibrillary Acidic Protein Astrocytopathy: A Case Series and Literature Review.
Neurol Neuroimmunol Neuroinflamm. 2022 Sep 26;9(6). doi: 10.1212/NXI.0000000000200029. Print 2022 Nov.
7
[A case of autoimmune glial fibrillary acidic protein (GFAP) astrocytopathy].
Rinsho Shinkeigaku. 2021 Jun 29;61(6):401-404. doi: 10.5692/clinicalneurol.cn-001575. Epub 2021 May 20.
9
A rare case of glial fibrillary acidic protein astrocytopathy that resolved spontaneously within a self-limited course.
Heliyon. 2023 Oct 12;9(10):e20912. doi: 10.1016/j.heliyon.2023.e20912. eCollection 2023 Oct.

引用本文的文献

1
Area postrema syndrome in patients with autoimmune glial fibrillary acidic protein astrocytopathy.
Front Neurol. 2025 Jan 30;16:1538602. doi: 10.3389/fneur.2025.1538602. eCollection 2025.
3
Isolated optic neuritis with positive glial fibrillary acidic protein antibody.
BMC Ophthalmol. 2023 Apr 26;23(1):184. doi: 10.1186/s12886-023-02927-z.
4
Area Postrema Syndrome in Autoimmune Glial Fibrillary Acidic Protein Astrocytopathy: A Case Series and Literature Review.
Neurol Neuroimmunol Neuroinflamm. 2022 Sep 26;9(6). doi: 10.1212/NXI.0000000000200029. Print 2022 Nov.

本文引用的文献

1
Neuromyelitis optica spectrum disorder and systemic lupus erythematosus.
Lupus. 2019 Dec;28(14):1722-1726. doi: 10.1177/0961203319888692. Epub 2019 Nov 13.
2
Clinical characteristics of autoimmune GFAP astrocytopathy.
J Neuroimmunol. 2019 Jul 15;332:91-98. doi: 10.1016/j.jneuroim.2019.04.004. Epub 2019 Apr 9.
3
Autoimmune glial fibrillary acidic protein astrocytopathy.
Curr Opin Neurol. 2019 Jun;32(3):452-458. doi: 10.1097/WCO.0000000000000676.
4
Area postrema syndrome: Another feature of anti-GFAP encephalomyelitis.
Mult Scler. 2020 Feb;26(2):253-255. doi: 10.1177/1352458518817992. Epub 2019 Jan 21.
5
Area postrema syndrome in autoimmune GFAP astrocytopathy.
Mult Scler. 2020 Feb;26(2):255-256. doi: 10.1177/1352458519826489. Epub 2019 Jan 21.
6
Area postrema syndrome: A short history of a pearl in demyelinating diseases.
Mult Scler. 2019 Mar;25(3):325-329. doi: 10.1177/1352458518813105. Epub 2018 Nov 22.
7
Area postrema syndrome: Frequency, criteria, and severity in AQP4-IgG-positive NMOSD.
Neurology. 2018 Oct 23;91(17):e1642-e1651. doi: 10.1212/WNL.0000000000006392. Epub 2018 Sep 26.
8
Glial fibrillary acidic protein IgG related myelitis: characterisation and comparison with aquaporin-4-IgG myelitis.
J Neurol Neurosurg Psychiatry. 2019 Apr;90(4):488-490. doi: 10.1136/jnnp-2018-318004. Epub 2018 Jul 21.
9
Autoimmune glial fibrillary acidic protein astrocytopathy in Chinese patients: a retrospective study.
Eur J Neurol. 2018 Mar;25(3):477-483. doi: 10.1111/ene.13531. Epub 2018 Jan 19.
10
Treatment of Autoimmune Glial Fibrillary Acidic Protein Astrocytopathy: Follow-Up in 7 Cases.
Neuroimmunomodulation. 2017;24(2):113-119. doi: 10.1159/000479948. Epub 2017 Sep 19.

文献AI研究员

20分钟写一篇综述,助力文献阅读效率提升50倍。

立即体验

用中文搜PubMed

大模型驱动的PubMed中文搜索引擎

马上搜索

文档翻译

学术文献翻译模型,支持多种主流文档格式。

立即体验