• 文献检索
  • 文档翻译
  • 深度研究
  • 学术资讯
  • Suppr Zotero 插件Zotero 插件
  • 邀请有礼
  • 套餐&价格
  • 历史记录
应用&插件
Suppr Zotero 插件Zotero 插件浏览器插件Mac 客户端Windows 客户端微信小程序
定价
高级版会员购买积分包购买API积分包
服务
文献检索文档翻译深度研究API 文档MCP 服务
关于我们
关于 Suppr公司介绍联系我们用户协议隐私条款
关注我们

Suppr 超能文献

核心技术专利:CN118964589B侵权必究
粤ICP备2023148730 号-1Suppr @ 2026

文献检索

告别复杂PubMed语法,用中文像聊天一样搜索,搜遍4000万医学文献。AI智能推荐,让科研检索更轻松。

立即免费搜索

文件翻译

保留排版,准确专业,支持PDF/Word/PPT等文件格式,支持 12+语言互译。

免费翻译文档

深度研究

AI帮你快速写综述,25分钟生成高质量综述,智能提取关键信息,辅助科研写作。

立即免费体验

持续输注依托咪酯用于快速纠正播散性诺卡菌病患者的皮质醇增多症

Use of Continuous Etomidate Infusion to Rapidly Correct Hypercortisolism in a Patient With Disseminated Nocardiosis.

作者信息

Tasleem Azka, Cavaghan Melissa, Czosnowski Quinn A, Saeed Zeb

机构信息

Internal Medicine, Indiana University Health Ball Memorial Hospital, Muncie, USA.

Endocrinology and Diabetes, Indiana University Health, Indianapolis, USA.

出版信息

Cureus. 2021 Dec 6;13(12):e20214. doi: 10.7759/cureus.20214. eCollection 2021 Dec.

DOI:10.7759/cureus.20214
PMID:35004034
原文链接:https://pmc.ncbi.nlm.nih.gov/articles/PMC8729312/
Abstract

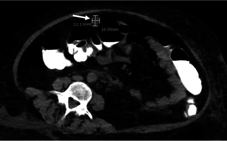
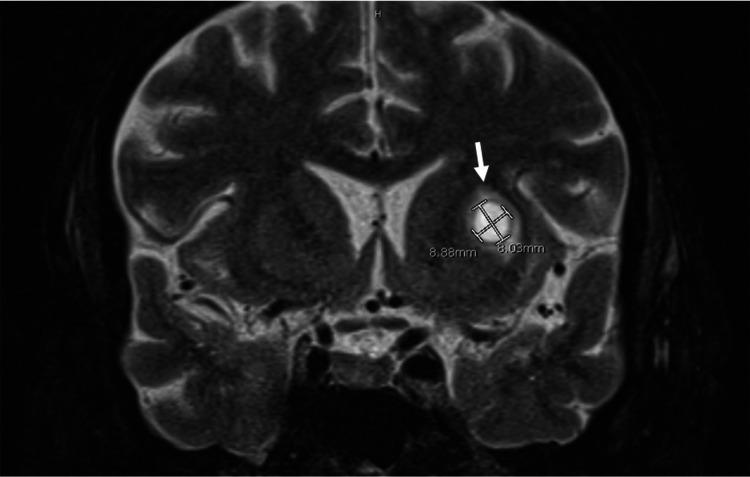
Cushing's syndrome (CS) is an immunocompromised state characterized by impaired cellular and adaptive immunity due to hypercortisolism. This imbalance in the immune system leads to a high risk of opportunistic infections which can potentially prove fatal. In such patients, mortality can be reduced with early diagnosis and effective management of the underlying hypercortisolism. In this case report, we describe how prompt reduction of cortisol levels using a low dose continuous etomidate infusion was pivotal in effective treatment of an opportunistic infection, disseminated nocardiosis, in a 29-year-old female with Cushing's syndrome. We also discuss how treatment with antibiotics including empiric therapy with Imipenem and sulfamethoxazole/trimethoprim (SMX/TMP) and definite therapy as per susceptibility testing, with amikacin, SMX/TMP, and doxycycline helped to prevent adverse outcomes. Through this case, we aim to emphasize that infiltrates or cavitary lesions on the computed tomography (CT) scan of the chest in a patient with Cushing's syndrome should raise concern for nocardiosis, and prompt management with antibiotics should be initiated. Similarly, disseminated nocardiosis should always raise concern for possible immune deficiency states like Cushing's syndrome. Our case is unique in detailing the significance of using etomidate to acutely lower cortisol levels in a patient with endogenous CS and widespread invasive opportunistic infection. The pharmacology aspects of the Etomidate, in this case, have been published in the Journal of Pharmacy Practice and cited appropriately in this article.

摘要

库欣综合征(CS)是一种免疫功能低下状态,其特征为因皮质醇增多症导致细胞免疫和适应性免疫受损。免疫系统的这种失衡会导致机会性感染的高风险,而这些感染可能会致命。对于此类患者,通过早期诊断和有效控制潜在的皮质醇增多症可降低死亡率。在本病例报告中,我们描述了如何通过低剂量持续输注依托咪酯迅速降低皮质醇水平,这对一名患有库欣综合征的29岁女性有效治疗机会性感染——播散性诺卡菌病起到了关键作用。我们还讨论了使用抗生素治疗,包括用亚胺培南和磺胺甲恶唑/甲氧苄啶(SMX/TMP)进行经验性治疗,以及根据药敏试验用阿米卡星、SMX/TMP和强力霉素进行确定性治疗,如何有助于预防不良后果。通过这个病例,我们旨在强调,库欣综合征患者胸部计算机断层扫描(CT)上的浸润或空洞性病变应引起对诺卡菌病的关注,并应立即开始用抗生素进行治疗。同样,播散性诺卡菌病应始终引起对可能的免疫缺陷状态如库欣综合征的关注。我们的病例独特之处在于详细阐述了在患有内源性库欣综合征和广泛侵袭性机会性感染的患者中使用依托咪酯急性降低皮质醇水平的重要性。在本病例中,依托咪酯的药理学方面已发表在《药学实践杂志》上,并在本文中适当引用。

https://cdn.ncbi.nlm.nih.gov/pmc/blobs/3a1b/8729312/6be9fc1620b3/cureus-0013-00000020214-i03.jpg
https://cdn.ncbi.nlm.nih.gov/pmc/blobs/3a1b/8729312/9a38a14fcc1c/cureus-0013-00000020214-i01.jpg
https://cdn.ncbi.nlm.nih.gov/pmc/blobs/3a1b/8729312/ea99b29df897/cureus-0013-00000020214-i02.jpg
https://cdn.ncbi.nlm.nih.gov/pmc/blobs/3a1b/8729312/6be9fc1620b3/cureus-0013-00000020214-i03.jpg
https://cdn.ncbi.nlm.nih.gov/pmc/blobs/3a1b/8729312/9a38a14fcc1c/cureus-0013-00000020214-i01.jpg
https://cdn.ncbi.nlm.nih.gov/pmc/blobs/3a1b/8729312/ea99b29df897/cureus-0013-00000020214-i02.jpg
https://cdn.ncbi.nlm.nih.gov/pmc/blobs/3a1b/8729312/6be9fc1620b3/cureus-0013-00000020214-i03.jpg

相似文献

1
Use of Continuous Etomidate Infusion to Rapidly Correct Hypercortisolism in a Patient With Disseminated Nocardiosis.持续输注依托咪酯用于快速纠正播散性诺卡菌病患者的皮质醇增多症
Cureus. 2021 Dec 6;13(12):e20214. doi: 10.7759/cureus.20214. eCollection 2021 Dec.
2
Continuous Etomidate for the Management of Cushing's Syndrome Complicated by Pulmonary Nocardiosis.持续输注依托咪酯治疗并发肺诺卡菌病的库欣综合征
J Pharm Pract. 2022 Dec;35(6):1057-1059. doi: 10.1177/08971900211017487. Epub 2021 May 31.
3
Cushing's Syndrome With Nocardiosis: A Case Report and a Systematic Review of the Literature.库欣综合征合并奴卡菌病:病例报告及文献系统回顾。
Front Endocrinol (Lausanne). 2021 Mar 29;12:640998. doi: 10.3389/fendo.2021.640998. eCollection 2021.
4
Pulmonary nocardiosis associated with Cushing's disease: a case report.与库欣病相关的肺诺卡菌病:一例报告
Monaldi Arch Chest Dis. 2019 Oct 18;89(3). doi: 10.4081/monaldi.2019.1130.
5
Disseminated nocardiosis in a patient with Cushing's syndrome.库欣综合征患者的播散性诺卡菌病。
J Endocrinol Invest. 1994 Jun;17(6):443-5. doi: 10.1007/BF03347735.
6
Trimethoprim/sulfamethoxazole for nocardiosis in solid organ transplant recipients: Real-life data from a multicentre retrospective study.复方磺胺甲噁唑治疗实体器官移植受者诺卡菌病:多中心回顾性研究的真实数据。
Transpl Infect Dis. 2021 Aug;23(4):e13669. doi: 10.1111/tid.13669. Epub 2021 Jul 8.
7
Opportunistic infections in endogenous Cushing's syndrome.内源性库欣综合征中的机会性感染。
Ann Intern Med. 1984 Sep;101(3):334-8. doi: 10.7326/0003-4819-101-3-334.
8
Pulmonary nocardiosis mimicking small cell lung cancer in ectopic ACTH syndrome associated with transformation of olfactory neuroblastoma: a case report.肺诺卡菌病模拟异位 ACTH 综合征伴嗅神经母细胞瘤转化的小细胞肺癌:病例报告。
BMC Pulm Med. 2018 Aug 22;18(1):142. doi: 10.1186/s12890-018-0710-9.
9
Cushing's Storm: A Case of Paraneoplastic Cushing's Syndrome-Induced Seizures Treated With Continuous Etomidate Infusion.库欣风暴:一例副肿瘤性库欣综合征所致癫痫发作经依托咪酯持续输注治疗的病例
Cureus. 2024 Sep 11;16(9):e69193. doi: 10.7759/cureus.69193. eCollection 2024 Sep.
10
Pneumocystis pneumonia during medicamentous treatment of Cushing's syndrome--a description of two cases.库欣综合征药物治疗期间的肺孢子菌肺炎——两例病例描述
Acta Medica (Hradec Kralove). 2011;54(3):127-30. doi: 10.14712/18059694.2016.35.

引用本文的文献

1
Etomidate in Severe Cushing Syndrome: A Systematic Review.依托咪酯治疗重度库欣综合征:一项系统评价。
J Endocr Soc. 2025 Mar 19;9(4):bvaf039. doi: 10.1210/jendso/bvaf039. eCollection 2025 Mar 3.

本文引用的文献

1
Continuous Etomidate for the Management of Cushing's Syndrome Complicated by Pulmonary Nocardiosis.持续输注依托咪酯治疗并发肺诺卡菌病的库欣综合征
J Pharm Pract. 2022 Dec;35(6):1057-1059. doi: 10.1177/08971900211017487. Epub 2021 May 31.
2
Cushing's Syndrome With Nocardiosis: A Case Report and a Systematic Review of the Literature.库欣综合征合并奴卡菌病:病例报告及文献系统回顾。
Front Endocrinol (Lausanne). 2021 Mar 29;12:640998. doi: 10.3389/fendo.2021.640998. eCollection 2021.
3
Nocardia bacteremia: A single-center retrospective review and a systematic review of the literature.
诺卡菌血症:单中心回顾性研究和文献系统评价。
Int J Infect Dis. 2020 Mar;92:197-207. doi: 10.1016/j.ijid.2020.01.011. Epub 2020 Jan 21.
4
High mortality within 90 days of diagnosis in patients with Cushing's syndrome: results from the ERCUSYN registry.库欣综合征患者诊断后 90 天内的高死亡率:ERCUSYN 登记处的结果。
Eur J Endocrinol. 2019 Nov;181(5):461-472. doi: 10.1530/EJE-19-0464.
5
Nocardiosis in ectopic ACTH syndrome: A case report and review of 11 cases from the literature.异位促肾上腺皮质激素综合征中的诺卡菌病:一例报告及文献中11例病例回顾
Exp Ther Med. 2016 Dec;12(6):3626-3632. doi: 10.3892/etm.2016.3846. Epub 2016 Oct 27.
6
Treatment of Cushing's Syndrome: An Endocrine Society Clinical Practice Guideline.库欣综合征的治疗:美国内分泌学会临床实践指南
J Clin Endocrinol Metab. 2015 Aug;100(8):2807-31. doi: 10.1210/jc.2015-1818. Epub 2015 Jul 29.
7
Therapy of endocrine disease: steroidogenesis enzyme inhibitors in Cushing's syndrome.内分泌疾病的治疗:库欣综合征中的类固醇生成酶抑制剂
Eur J Endocrinol. 2015 Jun;172(6):R263-80. doi: 10.1530/EJE-14-1014. Epub 2015 Jan 30.
8
Multisystem morbidity and mortality in Cushing's syndrome: a cohort study.库欣综合征的多系统发病率和死亡率:一项队列研究。
J Clin Endocrinol Metab. 2013 Jun;98(6):2277-84. doi: 10.1210/jc.2012-3582. Epub 2013 Mar 26.
9
Etomidate in the management of hypercortisolaemia in Cushing's syndrome: a review.依托咪酯治疗库欣综合征高皮质醇血症的研究进展。
Eur J Endocrinol. 2012 Aug;167(2):137-43. doi: 10.1530/EJE-12-0274. Epub 2012 May 10.
10
Medical suppression of hypercortisolemia in Cushing's syndrome with particular consideration of etomidate.对库欣综合征中皮质醇增多症的医学抑制作用,特别考虑到依托咪酯。
Pituitary. 2012 Jun;15(2):117-25. doi: 10.1007/s11102-011-0314-3.