Institute of Systems, Molecular & Integrative Biology, University of Liverpool, Liverpool, UK
Department of Neurosurgery, The Walton Centre NHS Foundation Trust, Liverpool, UK.
BMJ Open. 2022 Jan 18;12(1):e052705. doi: 10.1136/bmjopen-2021-052705.
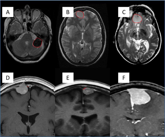
Due to the increased use of CT and MRI, the prevalence of incidental findings on brain scans is increasing. Meningioma, the most common primary brain tumour, is a frequently encountered incidental finding, with an estimated prevalence of 3/1000. The management of incidental meningioma varies widely with active clinical-radiological monitoring being the most accepted method by clinicians. Duration of monitoring and time intervals for assessment, however, are not well defined. To this end, we have recently developed a statistical model of progression risk based on single-centre retrospective data. The model Incidental Meningioma: Prognostic Analysis Using Patient Comorbidity and MRI Tests (IMPACT) employs baseline clinical and imaging features to categorise the patient with an incidental meningioma into one of three risk groups: low, medium and high risk with a proposed active monitoring strategy based on the risk and temporal trajectory of progression, accounting for actuarial life expectancy. The primary aim of this study is to assess the external validity of this model.
IMPACT is a retrospective multicentre study which will aim to include 1500 patients with an incidental intracranial meningioma, powered to detect a 10% progression risk. Adult patients ≥16 years diagnosed with an incidental meningioma between 1 January 2009 and 31 December 2010 will be included. Clinical and radiological data will be collected longitudinally until the patient reaches one of the study endpoints: intervention (surgery, stereotactic radiosurgery or fractionated radiotherapy), mortality or last date of follow-up. Data will be uploaded to an online Research Electronic Data Capture database with no unique identifiers. External validity of IMPACT will be tested using established statistical methods.
Local institutional approval at each participating centre will be required. Results of the study will be reported through peer-reviewed articles and conferences and disseminated to participating centres, patients and the public using social media.
随着 CT 和 MRI 的广泛应用,脑扫描偶然发现的概率也在增加。脑膜瘤是最常见的原发性脑肿瘤,也是一种常见的偶然发现,其发病率约为每 1000 人中有 3 例。偶然发现脑膜瘤的管理方法差异很大,临床放射学监测是临床医生最认可的方法。然而,监测的持续时间和评估的时间间隔尚未明确。为此,我们最近根据单中心回顾性数据开发了一种进展风险的统计模型。该模型名为“偶然脑膜瘤:基于患者合并症和 MRI 测试的预后分析(IMPACT)”,它利用基线临床和影像学特征将偶然脑膜瘤患者分为低、中、高风险组,根据风险和进展的时间轨迹,提出了一种主动监测策略,考虑到预期寿命的保险统计。本研究的主要目的是评估该模型的外部有效性。
IMPACT 是一项回顾性多中心研究,旨在纳入 1500 例偶然颅内脑膜瘤患者,以检测 10%的进展风险。该研究纳入年龄≥16 岁、2009 年 1 月 1 日至 2010 年 12 月 31 日期间偶然诊断为脑膜瘤的患者。将收集患者的临床和影像学数据进行纵向随访,直到患者达到以下研究终点之一:干预(手术、立体定向放射外科或分次放射治疗)、死亡或最后一次随访日期。数据将上传至在线 Research Electronic Data Capture 数据库,无唯一标识符。IMPACT 的外部有效性将使用既定的统计方法进行测试。
每个参与中心都需要获得当地机构的批准。研究结果将通过同行评议的文章和会议报告,并通过社交媒体向参与中心、患者和公众传播。