Department of Biomedical Sciences and Biomedical Engineering, Faculty of Medicine, Prince of Songkla University, Hat Yai, Songkhla 90110, Thailand.
Functional Ingredients and Food Innovation Research Group, National Center for Genetic Engineering and Biotechnology (BIOTEC), National Science and Technology Development Agency (NSTDA), Pathum Thani 12120, Thailand.
Molecules. 2022 Jan 9;27(2):407. doi: 10.3390/molecules27020407.
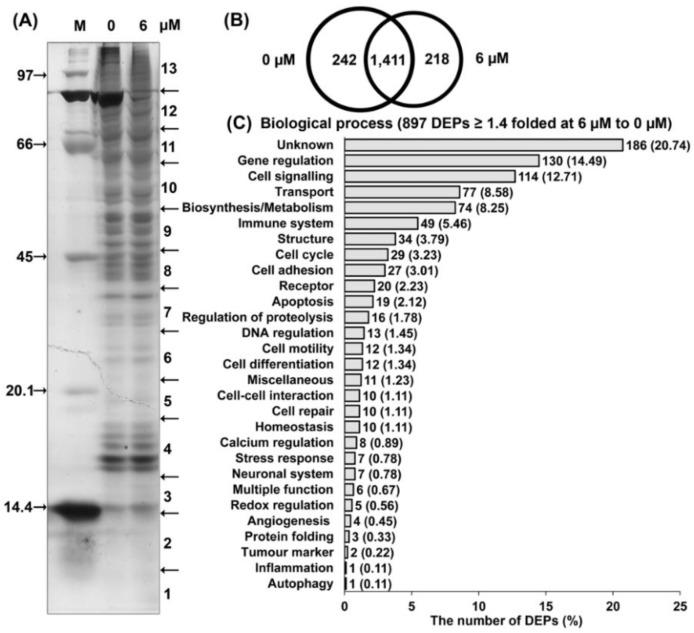
Triple negative breast cancer (TNBC) is a breast cancer subtype characterized by the absence of estrogen receptor, progesterone receptor and human epidermal growth factor receptor 2 expression. TNBC cells respond poorly to targeted chemotherapies currently in use and the mortality rate of TNBC remains high. Therefore, it is necessary to identify new chemotherapeutic agents for TNBC. In this study, the anti-cancer effects of 7-α-hydroxyfrullanolide (7HF), derived from , on MCF-7, MDA-MB-231 and MDA-MB-468 breast cancer cells were assessed using MTT assay. The mode of action of 7HF in TNBC cells treated with 6, 12 and 24 µM of 7HF was determined by flow cytometry and propidium iodide (PI) staining for cell cycle analysis and annexin V/fluorescein isothiocyanate + PI staining for detecting apoptosis. The molecular mechanism of action of 7HF in TNBC cells was investigated by evaluating protein expression using proteomic techniques and western blotting. Subsequently, 7HF exhibited the strongest anti-TNBC activity toward MDA-MB-468 cells and a concomitantly weak toxicity toward normal breast cells. The molecular mechanism of action of low-dose 7HF in TNBC cells primarily involved G2/M-phase arrest through upregulation of the expression of Bub3, cyclin B1, phosphorylated Cdk1 (Tyr 15) and p53-independent p21. Contrastingly, the upregulation of PP2A-A subunit expression may have modulated the suppression of various cell survival proteins such as p-Akt (Ser 473), FoxO3a and β-catenin. The concurrent apoptotic effect of 7HF on the treated cells was mediated via both intrinsic and extrinsic modes through the upregulation of Bax and active cleaved caspase-7-9 expression and downregulation of Bcl-2 and full-length caspase-7-9 expression. Notably, the proteomic approach revealed the upregulation of the expression of pivotal protein clusters associated with G1/S-phase arrest, G2/M-phase transition and apoptosis. Thus, 7HF exhibits promising anti-TNBC activity and at a low dose, it modulates signal transduction associated with G2/M-phase arrest and apoptosis.
三阴性乳腺癌(TNBC)是一种乳腺癌亚型,其特征是缺乏雌激素受体、孕激素受体和人表皮生长因子受体 2 的表达。TNBC 细胞对目前使用的靶向化疗药物反应不佳,TNBC 的死亡率仍然很高。因此,有必要为 TNBC 寻找新的化疗药物。在这项研究中,使用 MTT 测定法评估了来源于 的 7-α-羟基羽扇豆醇(7HF)对 MCF-7、MDA-MB-231 和 MDA-MB-468 乳腺癌细胞的抗癌作用。通过流式细胞术和碘化丙啶(PI)染色进行细胞周期分析,以及通过 Annexin V/异硫氰酸荧光素+PI 染色检测凋亡,确定了用 6、12 和 24 μM 的 7HF 处理的 TNBC 细胞中 7HF 的作用模式。通过使用蛋白质组学技术和 Western blot 评估蛋白表达来研究 7HF 在 TNBC 细胞中的作用机制。随后,7HF 对 MDA-MB-468 细胞表现出最强的抗 TNBC 活性,而对正常乳腺细胞的毒性较弱。低剂量 7HF 在 TNBC 细胞中的作用机制主要涉及通过上调 Bub3、cyclin B1、磷酸化 Cdk1(Tyr 15)和 p53 非依赖性 p21 导致 G2/M 期阻滞。相反,PP2A-A 亚基表达的上调可能调节了各种细胞存活蛋白的抑制,如 p-Akt(Ser 473)、FoxO3a 和β-catenin。7HF 对处理细胞的协同凋亡作用是通过上调 Bax 和活性切割的 caspase-7-9 表达以及下调 Bcl-2 和全长 caspase-7-9 表达通过内在和外在两种模式介导的。值得注意的是,蛋白质组学方法揭示了与 G1/S 期阻滞、G2/M 期过渡和凋亡相关的关键蛋白簇的表达上调。因此,7HF 表现出有前途的抗 TNBC 活性,并且在低剂量下,它调节与 G2/M 期阻滞和凋亡相关的信号转导。