Suppr超能文献

胶质细胞源性神经营养因子、胶质细胞源性神经营养因子受体α1和胶质纤维酸性蛋白在α-干预诱导的小鼠肠道神经元发育异常模型中的作用

Role of GDNF, GFRα1 and GFAP in a -Intervention Induced Mouse Model of Intestinal Neuronal Dysplasia.

作者信息

Liu Wei, Zhou Tingting, Tian Jinqiu, Yu Xiaofang, Ren Chuantao, Cao Zengcai, Hou Peimin, Zhang Qiangye, Li Aiwu

机构信息

Department of Pediatric Surgery, Qilu Hospital, Cheeloo College of Medicine, Shandong University, Jinan, China.

Department of Pediatric Surgery, Dezhou People's Hospital, Dezhou, China.

出版信息

Front Pediatr. 2022 Jan 14;9:795678. doi: 10.3389/fped.2021.795678. eCollection 2021.

Abstract

OBJECTIVE

To investigate the effects of glial cell-derived neurotrophic factor (GDNF), GDNF family receptor alpha 1 (GFRα1), and glial fibrillary acidic protein (GFAP) on colonic motility in a mouse model of intestinal neuronal dysplasia by intervention with and to explore the influence of on enteric glial cells (EGCs).

METHODS

Western blotting and qRT-PCR were employed to detect the expression of GFRα1 and GFAP in colonic tissues of mice with or without Tlx2 mutations, and ELISA was used to detect the expression of GDNF in serum. IHC was used to detect the appearance of the ganglion cells. Subsequently, Tlx2 homozygous mutant (Tlx2) mice were treated with . Colonic motility was measured before and after intervention by measuring the glass bead expelling time. The variations in abdominal circumference and GDNF, GFRα1, and GFAP expression were measured. In addition, 16SrRNA gene sequencing was performed to detect the abundance of the intestinal microbiota.

RESULTS

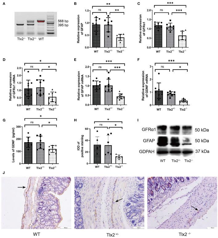
The mRNA and protein expression of GFRα1 and GFAP was decreased in the colonic tissues of Tlx2 mice and GDNF expression was decreased in serum compared with Tlx2 and WT mice. After confirming the colonization of by 16S rRNA gene sequencing, the expelling time and abdominal distension were ameliorated, and the expression of GFAP, GDNF, and GFRα1 was increased.

CONCLUSIONS

The expression of GDNF, GFRα1, and GFAP is associated with colonic motility. The altered expression of EGC-related factors suggested that may be involved in the EGC activation process. The amelioration of IND symptoms after intervention with prompted the elicitation of adjuvant therapy.

摘要

目的

通过干预研究胶质细胞源性神经营养因子(GDNF)、GDNF家族受体α1(GFRα1)和胶质纤维酸性蛋白(GFAP)在肠道神经元发育异常小鼠模型中对结肠动力的影响,并探讨其对肠胶质细胞(EGC)的影响。

方法

采用蛋白质免疫印迹法和qRT-PCR检测有或无Tlx2突变小鼠结肠组织中GFRα1和GFAP的表达,采用酶联免疫吸附测定法检测血清中GDNF的表达。采用免疫组化法检测神经节细胞的出现情况。随后,用[具体干预措施]处理Tlx2纯合突变(Tlx2)小鼠。在干预前后通过测量玻璃珠排出时间来测量结肠动力。测量腹围以及GDNF、GFRα1和GFAP表达的变化。此外,进行16SrRNA基因测序以检测肠道微生物群的丰度。

结果

与Tlx2和野生型(WT)小鼠相比,Tlx2小鼠结肠组织中GFRα1和GFAP的mRNA和蛋白表达降低,血清中GDNF表达降低。通过16S rRNA基因测序确认[具体物质]定殖后,排出时间和腹胀得到改善,GFAP、GDNF和GFRα1的表达增加。

结论

GDNF、GFRα1和GFAP的表达与结肠动力相关。EGC相关因子表达的改变表明[具体物质]可能参与EGC激活过程。用[具体物质]干预后IND症状的改善促使了辅助治疗的提出。

https://cdn.ncbi.nlm.nih.gov/pmc/blobs/7a3e/8796853/aa22aceb597a/fped-09-795678-g0001.jpg

文献AI研究员

20分钟写一篇综述,助力文献阅读效率提升50倍。

立即体验

用中文搜PubMed

大模型驱动的PubMed中文搜索引擎

马上搜索

文档翻译

学术文献翻译模型,支持多种主流文档格式。

立即体验