Suppr超能文献

内侧楔骨开放楔形截骨术治疗拇外翻

Medial Cuneiform Opening-Wedge Osteotomy for the Treatment of Hallux Valgus.

作者信息

Ahuero Jason S, Kirchner John S, Ryan Paul M

机构信息

Department of Orthopedic Surgery, Baylor College of Medicine, Houston, TX, USA.

Southlake Orthopaedics, Sports Medicine and Spine Center, Birmingham, AL, USA.

出版信息

Foot Ankle Orthop. 2019 Feb 4;4(1):2473011418813318. doi: 10.1177/2473011418813318. eCollection 2019 Jan.

Abstract

BACKGROUND

While proximal first metatarsal osteotomy combined with distal soft tissue realignment is accepted as standard treatment of moderate to severe hallux valgus with metatarsus primus varus, none of the described proximal metatarsal osteotomies address the hyper-obliquity of the first metatarsocuneiform joint. An opening-wedge osteotomy of the medial cuneiform can potentially correct the 1-2 intermetatarsal angle (IMA) in addition to normalizing the hyper-obliquity of the first tarsometatarsal (TMT) joint. The purpose of this study was to retrospectively review the early radiographic and clinical results of the use of a medial cuneiform opening-wedge osteotomy fixed with a low-profile wedge plate combined with distal soft tissue realignment for the treatment of hallux valgus.

METHODS

Fourteen feet (13 patients; 2 male and 11 female, average age 56 years, range 22-75) with hallux valgus underwent an opening-wedge osteotomy of the medial cuneiform fixed with a low-profile nonlocking wedge plate combined with distal soft tissue realignment. The mean preoperative hallux valgus angle (HVA) was 32 degrees and the IMA was 16 degrees. HVA, 1-2 IMA, proximal first metatarsal inclination (PFMI), and presence of osteoarthritis of the first TMT joint were assessed on preoperative and final postoperative radiographs. Final postoperative radiographs were also evaluated for radiographic union and hardware failure at an average of 7 months (range, 3-19 months) postoperatively.

RESULTS

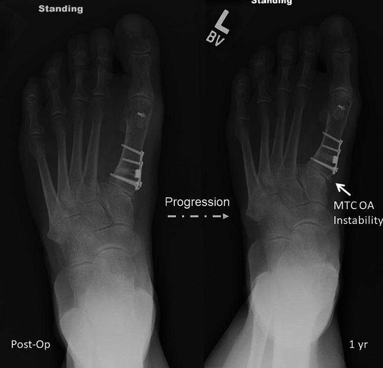
A mean intraoperative correction of 19 degrees and 7 degrees was achieved for the HVA and IMA, respectively. The mean HVA was 22 degrees and the mean IMA was 11 degrees at the time of final follow-up. At final follow-up, a recurrence of the deformity was observed in 12/14 feet. There were 2 nonunions-one plate failure and one screw failure. No first TMT joint instability or arthritis was observed. All patients were ambulatory without assistive device in either fashionable or comfortable shoe wear.

CONCLUSION

Medial cuneiform opening-wedge osteotomy resulted in unreliable correction of HVA and IMA at short-term follow-up with a high rate of early recurrence of hallux valgus deformity and a complication rate similar to that of the Lapidus procedure. This procedure cannot be recommended for addressing hallux valgus in the setting of increased obliquity of the first TMT joint.

LEVEL OF EVIDENCE

Level IV, case series.

摘要

背景

虽然第一跖骨近端截骨术联合远端软组织重新排列被公认为是治疗伴有第一跖骨内翻的中重度拇外翻的标准方法,但所描述的近端跖骨截骨术均未解决第一跖楔关节的过度倾斜问题。内侧楔骨开放楔形截骨术除了可以使第一跗跖(TMT)关节的过度倾斜正常化外,还可能纠正第一、二跖骨间角(IMA)。本研究的目的是回顾性分析使用低轮廓楔形钢板固定的内侧楔骨开放楔形截骨术联合远端软组织重新排列治疗拇外翻的早期影像学和临床结果。

方法

14足(13例患者;2例男性,11例女性,平均年龄56岁,范围22 - 75岁)拇外翻患者接受了使用低轮廓非锁定楔形钢板固定的内侧楔骨开放楔形截骨术联合远端软组织重新排列。术前平均拇外翻角(HVA)为32度,IMA为16度。在术前和术后最终的X线片上评估HVA、第一、二跖骨间角(1 - 2 IMA)、第一跖骨近端倾斜度(PFMI)以及第一TMT关节骨关节炎的情况。术后平均7个月(范围3 - 19个月)的最终X线片还评估了影像学骨愈合情况和内固定失败情况。

结果

术中HVA和IMA平均分别矫正了19度和7度。最终随访时平均HVA为22度,平均IMA为11度。在最终随访时,14足中有12足观察到畸形复发。有2例骨不连——1例钢板失败,1例螺钉失败。未观察到第一TMT关节不稳定或关节炎。所有患者在穿着时尚或舒适鞋子时均无需辅助装置即可行走。

结论

内侧楔骨开放楔形截骨术在短期随访中对HVA和IMA的矫正不可靠,拇外翻畸形早期复发率高,并发症发生率与Lapidus手术相似。对于第一TMT关节倾斜度增加的拇外翻情况,不推荐使用该手术方法。

证据水平

IV级,病例系列。

https://cdn.ncbi.nlm.nih.gov/pmc/blobs/b66a/8500382/4494c15f0430/10.1177_2473011418813318-fig1.jpg

文献AI研究员

20分钟写一篇综述,助力文献阅读效率提升50倍。

立即体验

用中文搜PubMed

大模型驱动的PubMed中文搜索引擎

马上搜索

文档翻译

学术文献翻译模型,支持多种主流文档格式。

立即体验