Suppr超能文献

一例罕见的息肉样鼻中隔黏膜黑色素瘤:概述与诊断陷阱

An Unusual Polypoid Septal Mucosal Melanoma: Overview and Diagnostic Pitfalls.

作者信息

Lygeros Spyridon, Danielidi Alexandra, Tzelepi Vasiliki, Grafanaki Katerina

机构信息

Department of Otorhinolaryngology-Head and Neck Surgery, School of Medicine, University of Patras, Patras, GRC.

Department of Dermatology, School of Medicine, University of Tübingen, Tübingen, DEU.

出版信息

Cureus. 2021 Dec 30;13(12):e20819. doi: 10.7759/cureus.20819. eCollection 2021 Dec.

Abstract

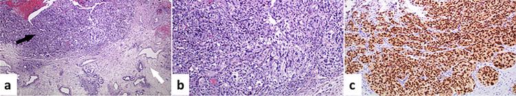
Sinonasal mucosa is an area of high melanocyte density compared to other mucosa-lined sites. Sinonasal mucosal melanomas (SNMM) most commonly arise from the nasal cavity and the paranasal sinuses. Due to their obscure anatomic location and lack of early symptomatology, SNMM are often diagnosed in an advanced stage. The majority of patients who present with symptoms complain of unilateral nasal dysfunction, such as obstruction and epistaxis. We hereby report a case of an 86-year-old female, who presented with a three-year history of progressive right-sided nasal obstruction and recurrent epistaxis. Posterior rhinoscopy and endoscopy revealed a polypoid, fleshy lesion whose coloration varied from mildly pigmented to amelanotic. Inverted sinonasal papilloma was included in the differential diagnosis due to MRI findings. Post-resection histopathology indicated a mucosal melanoma. Typically, amelanotic lesions are rare, more difficult to diagnose and associated with worse prognosis due to both their aggressiveness and delayed diagnosis.

摘要

与其他有黏膜衬里的部位相比,鼻窦黏膜是黑素细胞密度较高的区域。鼻窦黏膜黑色素瘤(SNMM)最常起源于鼻腔和鼻窦。由于其解剖位置隐匿且缺乏早期症状,SNMM常被诊断为晚期。出现症状的大多数患者主诉单侧鼻功能障碍,如鼻塞和鼻出血。我们在此报告一例86岁女性患者,她有三年进行性右侧鼻塞和反复鼻出血的病史。后鼻镜检查和内镜检查发现一个息肉样、肉质病变,其颜色从轻度色素沉着到无色素沉着不等。由于MRI检查结果,鉴别诊断中包括了内翻性鼻窦乳头状瘤。切除术后组织病理学显示为黏膜黑色素瘤。通常,无色素沉着的病变很少见,更难诊断,并且由于其侵袭性和诊断延迟,预后较差。

https://cdn.ncbi.nlm.nih.gov/pmc/blobs/f0ca/8802658/6692bdf20a13/cureus-0013-00000020819-i01.jpg

文献AI研究员

20分钟写一篇综述,助力文献阅读效率提升50倍。

立即体验

用中文搜PubMed

大模型驱动的PubMed中文搜索引擎

马上搜索

文档翻译

学术文献翻译模型,支持多种主流文档格式。

立即体验