Suppr超能文献

减压手术后对侧硬膜外血肿:病例报告及系统文献综述

Contralateral epidural hematoma after decompressive surgery: Case report and systematic literature review.

作者信息

Laaidi Abdelkouddous, Rafiq Abderrahmane, Tahrir Yassine, Hilmani Said, Lakhdar Abdelhakim

机构信息

Neurosurgery Department, University Hospital Center IBN ROCHD, Casablanca, Morocco.

出版信息

Ann Med Surg (Lond). 2022 Jan 25;74:103233. doi: 10.1016/j.amsu.2021.103233. eCollection 2022 Feb.

Abstract

INTRODUCTION

and importance: Contralateral epidural hematoma (EDH) after decompressive surgery for acute subdural hematoma (ASDH) is uncommon. If unrecognized, this delayed hematoma can lead to devastating consequences.

CASE PRESENTATION

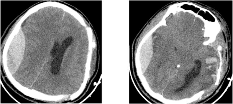
A 30-year-old patient with no past medical history, was brought to the emergency after a severe brain injury secondary to an aggression, Glasgow coma scale was 6 (E1V1 M4) with a left anisocoria. The CT scan revealed a left acute subdural hematoma with midline shift superior than 10 mm, and a non-surgical contralateral EDH was also identified. The patient was operated on urgently. Post-operatively, the pupils became equal sized and reactive. A right anisocoria was noticed 12 h later, with a large contralateral EDH on CT scan associated to a gross midline shift. A second operation was performed immediately with a good recovery and the patient was extubated one week post-operatively.

CLINICAL DISCUSSION

The most common surgical complications after a decompressive craniectomy for an acute subdural hematoma noted in literature are surgical site herniation, post-operative infections, epilepsy, and subdural effusions with or without hydrocephalus. Contralateral epidural hematoma (EDH) after decompressive craniectomy is also documented (Ban et al., 2010; Nadig and King, 2012) [3,15]

CONCLUSIONS

Delayed contralateral EDH after decompressive surgery should be anticipated in the presence of contralateral skull fracture and/or intraoperative brain swelling and immediate postoperative scan is indicated. Early detection of this fatal complication and prompt treatment may improve the poor outcome in this group of patients.

摘要

引言

及其重要性:急性硬膜下血肿(ASDH)减压手术后对侧硬膜外血肿(EDH)并不常见。如果未被识别,这种延迟性血肿可能导致灾难性后果。

病例介绍

一名30岁无既往病史的患者,在因暴力导致严重脑损伤后被送往急诊室,格拉斯哥昏迷量表评分为6分(E1V1M4),伴有左侧瞳孔不等大。CT扫描显示左侧急性硬膜下血肿,中线移位超过10mm,同时还发现对侧非手术性EDH。患者紧急接受手术。术后,瞳孔大小恢复正常且有反应。12小时后发现右侧瞳孔不等大,CT扫描显示对侧有巨大EDH并伴有明显中线移位。立即进行了第二次手术,恢复良好,患者术后一周拔管。

临床讨论

文献中指出,急性硬膜下血肿减压颅骨切除术后最常见的手术并发症是手术部位疝、术后感染、癫痫以及伴有或不伴有脑积水的硬膜下积液。减压颅骨切除术后对侧硬膜外血肿(EDH)也有文献记载(Ban等人,2010年;Nadig和King,2012年)[3,15]

结论

在存在对侧颅骨骨折和/或术中脑肿胀的情况下,应预期减压手术后会出现延迟性对侧EDH,并应进行术后即刻扫描。早期发现这种致命并发症并及时治疗可能会改善这类患者的不良预后。

https://cdn.ncbi.nlm.nih.gov/pmc/blobs/c422/8818896/7ebf62a60eed/gr1.jpg

文献AI研究员

20分钟写一篇综述,助力文献阅读效率提升50倍。

立即体验

用中文搜PubMed

大模型驱动的PubMed中文搜索引擎

马上搜索

文档翻译

学术文献翻译模型,支持多种主流文档格式。

立即体验