Suppr超能文献

神经梅毒伴眼部受累时的颅骨溶骨性病变。

Calvarial lytic lesions in neurosyphilis with ocular involvement.

作者信息

Chan Michael F, Moges Fekadesilassie, Major Dawit, Buss Radek, Biswas Ankoor

机构信息

Department of Internal Medicine, Aurora St. Luke's Medical Center, Advocate Aurora Health, 2900 W Oklahoma Ave, Milwaukee, WI 53215, USA.

出版信息

IDCases. 2022 Jan 17;27:e01408. doi: 10.1016/j.idcr.2022.e01408. eCollection 2022.

Abstract

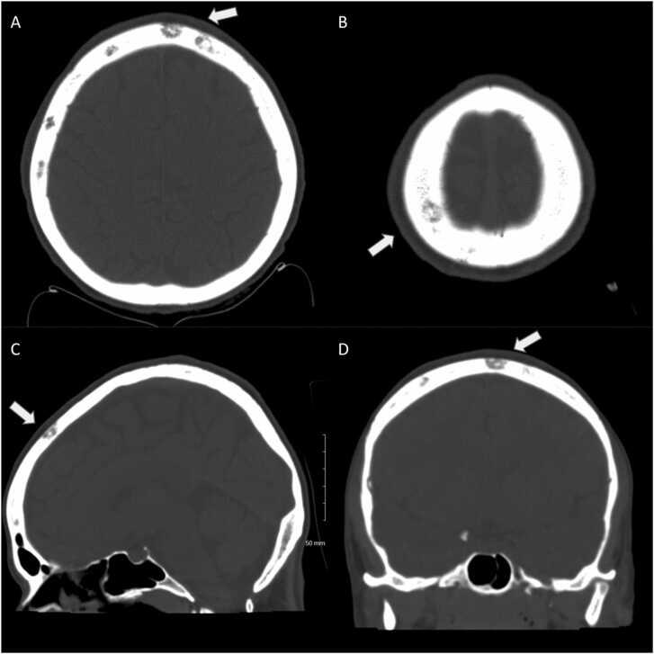
We report a case of calvarial lytic lesions in neurosyphilis with ocular involvement. A 42-year-old woman with a past medical history of polysubstance abuse presented with recent bilateral vision loss. CT revealed numerous calvarial lytic lesions and multiple myeloma was initially suspected. Syphilis screening with RPR and confirmative CSF studies were positive for active infection. The patient was treated with Penicillin G and demonstrated clinical improvement. The objective of this study was to provide insight into a rare manifestation of syphilis with osseous involvement and encourage further discourse into establishment of standards of care for syphilitic osteomyelitis. There exist no evidence-based guidelines regarding optimal treatment route and duration, role of bone biopsy, determination of therapeutic impact, and threshold for surgical intervention in the management of syphilitic osteomyelitis.

摘要

我们报告一例伴有眼部受累的神经梅毒颅骨溶骨性病变病例。一名有多种药物滥用病史的42岁女性,近期出现双侧视力丧失。CT显示颅骨有多处溶骨性病变,最初怀疑为多发性骨髓瘤。梅毒血清学试验(RPR)筛查及脑脊液确诊检查均显示活动性感染呈阳性。该患者接受了青霉素G治疗,临床症状有所改善。本研究的目的是深入了解梅毒累及骨骼这一罕见表现,并鼓励进一步探讨制定梅毒骨髓炎的护理标准。关于梅毒骨髓炎的最佳治疗途径和疗程、骨活检的作用、治疗效果的判定以及手术干预阈值等方面,目前尚无循证指南。

https://cdn.ncbi.nlm.nih.gov/pmc/blobs/64bc/8802858/c4f50080b134/gr1.jpg

文献AI研究员

20分钟写一篇综述,助力文献阅读效率提升50倍。

立即体验

用中文搜PubMed

大模型驱动的PubMed中文搜索引擎

马上搜索

文档翻译

学术文献翻译模型,支持多种主流文档格式。

立即体验