Suppr超能文献

免疫组织化学在小儿肾肿瘤鉴别诊断中的作用:Cyclin D1、β-连环蛋白、PDGFR-α和 PTEN 的表达。

Role of Immunohistochemistry in the Differential Diagnosis of Pediatric Renal Tumors: Expression of Cyclin D1, Beta-Catenin , PDGFR-Alpha, and PTEN.

机构信息

Department of Pathology, Istanbul University, Cerrahpasa Faculty of Medicine, ISTANBUL, TURKEY.

出版信息

Turk Patoloji Derg. 2022;38(2):83-89. doi: 10.5146/tjpath.2022.01568.

Abstract

OBJECTIVE

Pediatric renal tumors overlap histomorphologically and may cause misdiagnosis. We aimed to determine the role of immunohistochemical staining of Cyclin D1, PTEN, beta-catenin and PDGFR-alpha on pediatric renal tumors.

MATERIAL AND METHOD

Thirty-six cases of 8 different tumors were included in the study. Four blocks of paraffin tissue microarray were constructed. Cyclin D1, PTEN, beta-catenin and PDGFR-alpha were used in all cases. Staining intensity and extent were graded.

RESULTS

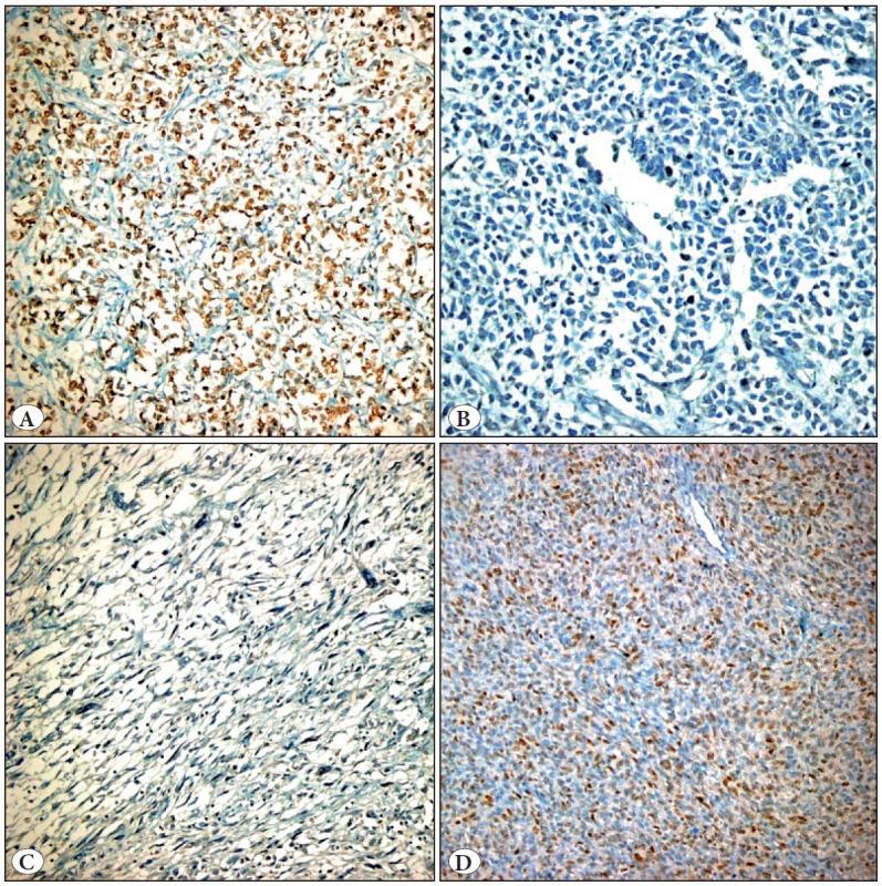
All cases of clear cell sarcoma (CCS) and epithelial components of Wilms tumor (WT) showed immunopositivity for Cyclin D1 but blastemal and stromal components of WT were negative. All cases of CCS and most cases of WT consisting of blastemal and stromal components demonstrated loss of expression with PTEN.

CONCLUSION

Cyclin D1 is not a specific immunohistochemical marker due to its strong and diffuse positivity in CCS cases. It may be useful to differentiate CCS from blastemal and stromal components of WT. Other markers except cyclin D1 do not have a role in the differential diagnosis.

摘要

目的

小儿肾肿瘤在组织形态上存在重叠,可能导致误诊。本研究旨在探讨细胞周期蛋白 D1、PTEN、β-连环蛋白和 PDGFR-α免疫组化染色在小儿肾肿瘤中的作用。

材料与方法

本研究纳入了 8 种不同肿瘤的 36 例病例。构建了 4 块石蜡组织微阵列。所有病例均进行细胞周期蛋白 D1、PTEN、β-连环蛋白和 PDGFR-α免疫组化染色。对染色强度和范围进行分级。

结果

所有肾透明细胞肉瘤(CCS)和肾母细胞瘤(WT)上皮成分均表现为细胞周期蛋白 D1 免疫阳性,但 WT 的胚胎性和间质性成分均为阴性。所有 CCS 病例和大多数由胚胎性和间质性成分组成的 WT 病例均表现出 PTEN 表达缺失。

结论

由于 CCS 病例中存在强烈且弥漫的阳性细胞周期蛋白 D1,因此其不是一种特异性的免疫组化标志物。它可能有助于将 CCS 与 WT 的胚胎性和间质性成分区分开来。除细胞周期蛋白 D1 外,其他标志物在鉴别诊断中无作用。

https://cdn.ncbi.nlm.nih.gov/pmc/blobs/3236/9999706/afefc1e6cd0c/TurkPatolojiDerg-38-11474-g001.jpg

文献AI研究员

20分钟写一篇综述,助力文献阅读效率提升50倍。

立即体验

用中文搜PubMed

大模型驱动的PubMed中文搜索引擎

马上搜索

文档翻译

学术文献翻译模型,支持多种主流文档格式。

立即体验