• 文献检索
  • 文档翻译
  • 深度研究
  • 学术资讯
  • Suppr Zotero 插件Zotero 插件
  • 邀请有礼
  • 套餐&价格
  • 历史记录
应用&插件
Suppr Zotero 插件Zotero 插件浏览器插件Mac 客户端Windows 客户端微信小程序
定价
高级版会员购买积分包购买API积分包
服务
文献检索文档翻译深度研究API 文档MCP 服务
关于我们
关于 Suppr公司介绍联系我们用户协议隐私条款
关注我们

Suppr 超能文献

核心技术专利:CN118964589B侵权必究
粤ICP备2023148730 号-1Suppr @ 2026

文献检索

告别复杂PubMed语法,用中文像聊天一样搜索,搜遍4000万医学文献。AI智能推荐,让科研检索更轻松。

立即免费搜索

文件翻译

保留排版,准确专业,支持PDF/Word/PPT等文件格式,支持 12+语言互译。

免费翻译文档

深度研究

AI帮你快速写综述,25分钟生成高质量综述,智能提取关键信息,辅助科研写作。

立即免费体验

新生儿贝里综合征一期手术修复的结果。

Outcomes of One-Stage Surgical Repair for Berry Syndrome in Neonates.

作者信息

Shi Xu-Cong, Weng Jian-Bin, Yu Jin, Ma Xiao-Hui, Pu Yi-Qing, Ying Li-Yang, Yu Jian-Gen

机构信息

Department of Cardiac Surgery, The Children's Hospital, Zhejiang University School of Medicine, National Clinical Research Center for Child Health, Hangzhou, China.

Department of Neurosurgery, The Children's Hospital, Zhejiang University School of Medicine, National Clinical Research Center for Child Health, Hangzhou, China.

出版信息

Front Cardiovasc Med. 2022 Jan 26;8:790303. doi: 10.3389/fcvm.2021.790303. eCollection 2021.

DOI:10.3389/fcvm.2021.790303
PMID:35155602
原文链接:https://pmc.ncbi.nlm.nih.gov/articles/PMC8825814/
Abstract

BACKGROUND

Berry syndrome is a challenging disease for surgeons to make early diagnosis and successful surgical correction in the neonatal period. Here, we summarized the clinical features of three neonates with berry syndrome in our center to optimize the therapeutic effect in the future.

METHODS

From January 2014 to December 2019, three neonates with berry syndrome underwent one-stage surgical repair in our center. We mainly used two different surgical techniques to repair it, and collected clinical data retrospectively from hospitalization history, outpatient records, and telephone follow-up.

RESULTS

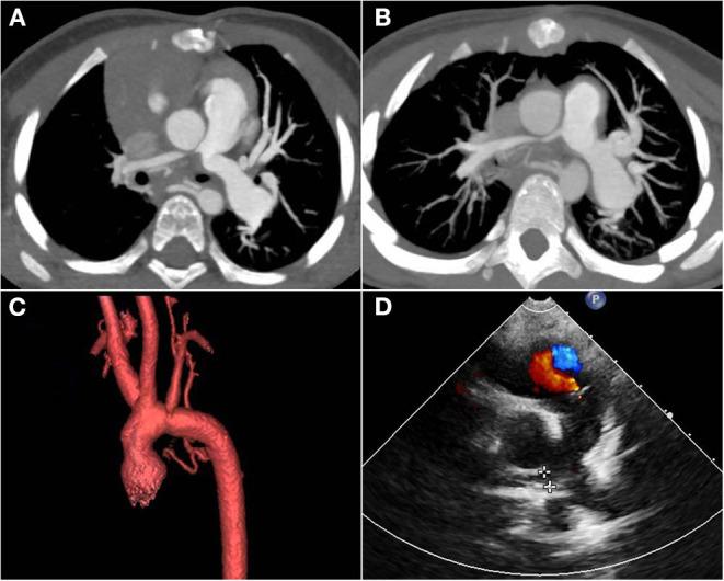
The age at operation was 28, 8, and 8 days and the body weight was 3.65, 3.86, and 3.0 kg, respectively. The morphology of the interrupted aortic arch (IAA) was type A in two patients and type B in one patient. The aortopulmonary window (APW) morphology was type IIa, III, and IIb, respectively. The phenotype of the IAA type B combined with APW type III in our second patient was reported for the first time so far. All patients survived and were followed up to date. The second patient using intra-aortic baffle experienced twice reoperation for right pulmonary artery (RPA) stenosis. All patients grew well so far.

CONCLUSION

Once diagnosed in the neonatal period, berry syndrome can be safely corrected by one-stage surgical repair in experienced cardiac centers. Considering the variability of the location where the RPA arises from the posterior wall of the aorta, it is difficult to find the best surgical method for each patient.

摘要

背景

对于外科医生来说,贝里综合征是一种在新生儿期难以早期诊断和成功进行手术矫正的疾病。在此,我们总结了本中心3例贝里综合征新生儿的临床特征,以便未来优化治疗效果。

方法

2014年1月至2019年12月,3例贝里综合征新生儿在本中心接受了一期手术修复。我们主要采用两种不同的手术技术进行修复,并从住院病史、门诊记录和电话随访中回顾性收集临床资料。

结果

手术年龄分别为28天、8天和8天,体重分别为3.65kg、3.86kg和3.0kg。2例患者中断性主动脉弓(IAA)形态为A型,1例为B型。主肺动脉窗(APW)形态分别为IIa型、III型和IIb型。迄今为止,首次报道了我们第二例患者中IAA B型合并APW III型的表型。所有患者均存活并随访至今。第二例使用主动脉内挡板的患者因右肺动脉(RPA)狭窄接受了两次再次手术。到目前为止,所有患者生长良好。

结论

一旦在新生儿期确诊,在经验丰富的心脏中心,贝里综合征可以通过一期手术修复安全矫正。考虑到RPA起源于主动脉后壁位置的变异性,很难为每个患者找到最佳手术方法。

https://cdn.ncbi.nlm.nih.gov/pmc/blobs/59e7/8825814/6a63aedb5d42/fcvm-08-790303-g0003.jpg
https://cdn.ncbi.nlm.nih.gov/pmc/blobs/59e7/8825814/59271e01aec4/fcvm-08-790303-g0001.jpg
https://cdn.ncbi.nlm.nih.gov/pmc/blobs/59e7/8825814/782510d7e2e6/fcvm-08-790303-g0002.jpg
https://cdn.ncbi.nlm.nih.gov/pmc/blobs/59e7/8825814/6a63aedb5d42/fcvm-08-790303-g0003.jpg
https://cdn.ncbi.nlm.nih.gov/pmc/blobs/59e7/8825814/59271e01aec4/fcvm-08-790303-g0001.jpg
https://cdn.ncbi.nlm.nih.gov/pmc/blobs/59e7/8825814/782510d7e2e6/fcvm-08-790303-g0002.jpg
https://cdn.ncbi.nlm.nih.gov/pmc/blobs/59e7/8825814/6a63aedb5d42/fcvm-08-790303-g0003.jpg

相似文献

1
Outcomes of One-Stage Surgical Repair for Berry Syndrome in Neonates.新生儿贝里综合征一期手术修复的结果。
Front Cardiovasc Med. 2022 Jan 26;8:790303. doi: 10.3389/fcvm.2021.790303. eCollection 2021.
2
Current outcomes of one-stage surgical correction for Berry syndrome.Berry 综合征一期手术矫正的近期疗效。
J Thorac Cardiovasc Surg. 2017 May;153(5):1139-1147. doi: 10.1016/j.jtcvs.2016.11.058. Epub 2016 Dec 19.
3
Berry syndrome; a successful one-stage repair in neonate periods, evaluation result after 9 years, a case report.贝里综合征;新生儿期一期修复成功,9年后评估结果,病例报告
Ann Med Surg (Lond). 2021 Mar 4;64:102200. doi: 10.1016/j.amsu.2021.102200. eCollection 2021 Apr.
4
Intermediate outcome for the single-stage surgical repair of aortopulmonary window associated with interrupted aortic arch.与主动脉弓中断相关的主肺动脉窗一期手术修复的中期结果。
Interdiscip Cardiovasc Thorac Surg. 2023 Jun 1;36(6). doi: 10.1093/icvts/ivad077.
5
[One-stage repair of the interrupted aortic arch associated with cardiac anomaly].[合并心脏畸形的主动脉弓中断一期修复术]
Zhonghua Yi Xue Za Zhi. 2010 Feb 23;90(7):489-91.
6
Aortopulmonary window associated with interrupted aortic arch: report of surgical repair of eight cases and review of literature.主动脉肺动脉窗合并主动脉弓中断:8例手术修复报告及文献复习
Thorac Cardiovasc Surg. 2012 Apr;60(3):215-20. doi: 10.1055/s-0031-1298061. Epub 2012 Jan 17.
7
Aortopulmonary window and the interrupted aortic arch: midterm results with use of the single-patch technique.主肺动脉窗与主动脉弓中断:单补片技术的中期结果
Ann Thorac Surg. 2015 Jan;99(1):186-91. doi: 10.1016/j.athoracsur.2014.08.023. Epub 2014 Nov 12.
8
Surgical management of aortopulmonary window associated with interrupted aortic arch: a Congenital Heart Surgeons Society study.与主动脉弓中断相关的主肺动脉窗的外科治疗:先天性心脏病外科医生协会的一项研究
J Thorac Cardiovasc Surg. 2006 May;131(5):1136-1141.e2. doi: 10.1016/j.jtcvs.2005.03.051.
9
[Short and midterm results of surgical treatment of interrupted aortic arch].[主动脉弓中断手术治疗的短期和中期结果]
Zhonghua Wai Ke Za Zhi. 2018 Dec 1;56(12):916-921. doi: 10.3760/cma.j.issn.0529-5815.2018.12.008.
10
Surgical outcome of aortopulmonary window repair in early infancy.婴儿早期主肺动脉窗修复术的手术结果
J Formos Med Assoc. 2006 Oct;105(10):813-20. doi: 10.1016/S0929-6646(09)60268-0.

引用本文的文献

1
Berry syndrome, a rare congenital cardiac structural abnormality with 1-stage surgical repair: A case report.
Medicine (Baltimore). 2025 Jan 3;104(1):e41009. doi: 10.1097/MD.0000000000041009.
2
Surgical treatment experience of seven cases of Berry syndrome.7例贝里综合征的外科治疗经验
J Cardiothorac Surg. 2024 Dec 30;19(1):690. doi: 10.1186/s13019-024-03248-y.
3
Innovative cardiovascular casting technique features the complex malformation of berry syndrome.创新心血管铸型技术突出展示了浆果综合征的复杂畸形特征。

本文引用的文献

1
Berry syndrome; a successful one-stage repair in neonate periods, evaluation result after 9 years, a case report.贝里综合征;新生儿期一期修复成功,9年后评估结果,病例报告
Ann Med Surg (Lond). 2021 Mar 4;64:102200. doi: 10.1016/j.amsu.2021.102200. eCollection 2021 Apr.
2
Berry syndrome: a case report and literature review.贝里综合征:病例报告及文献复习。
BMC Cardiovasc Disord. 2021 Jan 6;21(1):15. doi: 10.1186/s12872-020-01837-y.
3
A rare complication of myocardial ischaemia following single-stage repair in a case of Berry syndrome.
BMC Pregnancy Childbirth. 2024 Mar 12;24(1):194. doi: 10.1186/s12884-024-06340-2.
4
Unraveling the Trio of Interrupted Descending Aorta, Aortic Stenosis, and Bicuspid Aortic Valve: A Complex Cardiovascular Conundrum.解析降主动脉中断、主动脉瓣狭窄和二叶式主动脉瓣三联征:一个复杂的心血管难题。
Cureus. 2023 Nov 24;15(11):e49365. doi: 10.7759/cureus.49365. eCollection 2023 Nov.
5
Intermediate outcome for the single-stage surgical repair of aortopulmonary window associated with interrupted aortic arch.与主动脉弓中断相关的主肺动脉窗一期手术修复的中期结果。
Interdiscip Cardiovasc Thorac Surg. 2023 Jun 1;36(6). doi: 10.1093/icvts/ivad077.
Berry 综合征一期修复术后心肌缺血的罕见并发症。
Interact Cardiovasc Thorac Surg. 2020 Oct 1;31(4):576-577. doi: 10.1093/icvts/ivaa126.
4
Surgical repair in a patient with Berry syndrome.Berry 综合征患者的手术修复。
Gen Thorac Cardiovasc Surg. 2020 Dec;68(12):1475-1478. doi: 10.1007/s11748-020-01301-w. Epub 2020 Jan 30.
5
Type A interrupted aortic arch and type III aortopulmonary window with anomalous origin of the right pulmonary artery from the aorta.A型主动脉弓中断和III型主肺动脉窗,合并右肺动脉起自主动脉的异常情况。
J Card Surg. 2018 Jun;33(6):344-347. doi: 10.1111/jocs.13717. Epub 2018 May 10.
6
Preoperative Physiology, Imaging, and Management of Interrupted Aortic Arch.主动脉弓中断的术前生理学、影像学及管理
Semin Cardiothorac Vasc Anesth. 2018 Sep;22(3):265-269. doi: 10.1177/1089253218770198. Epub 2018 Apr 12.
7
Current outcomes of one-stage surgical correction for Berry syndrome.Berry 综合征一期手术矫正的近期疗效。
J Thorac Cardiovasc Surg. 2017 May;153(5):1139-1147. doi: 10.1016/j.jtcvs.2016.11.058. Epub 2016 Dec 19.
8
Prenatal Diagnosis and Management of Berry Syndrome, a Rare Conotruncal Anatomy.罕见圆锥动脉干解剖结构——贝里综合征的产前诊断与管理
Circulation. 2015 Oct 20;132(16):1593-4. doi: 10.1161/CIRCULATIONAHA.115.017366.
9
Surgical Results of Anomalous Origin of One Pulmonary Artery Branch from the Ascending Aorta.一根肺动脉分支起自升主动脉的外科治疗结果
Pediatr Cardiol. 2015 Oct;36(7):1532-8. doi: 10.1007/s00246-015-1197-2. Epub 2015 May 27.
10
A case of berry syndrome type 2B.一例2B型浆果综合征。
Congenit Heart Dis. 2011 Jul-Aug;6(4):389-92. doi: 10.1111/j.1747-0803.2010.00476.x. Epub 2011 Mar 10.