Department of Neurotoxicology, Mossakowski Medical Research Institute, Polish Academy of Sciences, 5 Pawińskiego Str., 02-106 Warsaw, Poland.
Department of Physiology, Maj Institute of Pharmacology, Polish Academy of Sciences, 12 Smętna Str., 31-343 Krakow, Poland.
Int J Mol Sci. 2022 Jan 19;23(3):1081. doi: 10.3390/ijms23031081.
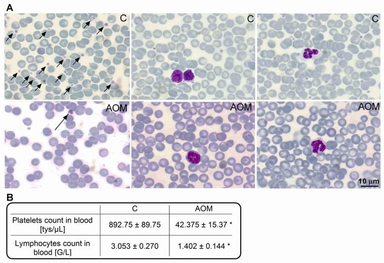
Decreased platelet count represents a feature of acute liver failure (ALF) pathogenesis. Platelets are the reservoir of transforming growth factor 1 (TGF-β1), a multipotent cytokine involved in the maintenance of, i.a., central nervous system homeostasis. Here, we analyzed the effect of a decrease in TGF-β1 active form on synaptic proteins levels, and brain electrophysiology, in mice after intraperitoneal (ip) administration of TGF-β1 antibody (anti-TGF-β1; 1 mg/mL). Next, we correlated it with a thrombocytopenia-induced TGF-β1 decrease, documented in an azoxymethane-induced (AOM; 100 mM ip) model of ALF, and clarified the impact of TGF-β1 decrease on blood-brain barrier functionality. The increase of both synaptophysin and synaptotagmin in the cytosolic fraction, and its reduction in a membrane fraction, were confirmed in the AOM mice brains. Both proteins' decrease in analyzed fractions occurred in anti-TGF-β1 mice. In turn, an increase in postsynaptic (NR1 subunit of N-methyl-D-aspartate receptor, postsynaptic density protein 95, gephyrin) proteins in the AOM brain cortex, but a selective compensatory increase of NR1 subunit in anti-TGF-β mice, was observed. The alterations of synaptic proteins levels were not translated on electrophysiological parameters in the anti-TGF-β1 model. The results suggest the impairment of synaptic vesicles docking to the postsynaptic membrane in the AOM model. Nevertheless, changes in synaptic protein level in the anti-TGF-β1 mice do not affect neurotransmission and may not contribute to neurologic deficits in AOM mice.
血小板计数降低是急性肝衰竭 (ALF) 发病机制的一个特征。血小板是转化生长因子 1 (TGF-β1) 的储存库,TGF-β1 是一种多能细胞因子,参与维持中枢神经系统内环境稳定等。在这里,我们分析了 TGF-β1 活性形式减少对突触蛋白水平和大脑电生理学的影响,在腹腔内 (ip) 给予 TGF-β1 抗体 (抗 TGF-β1;1mg/mL) 后,在小鼠中进行了分析。接下来,我们将其与在腹腔内给予氧化偶氮甲烷 (AOM;100mM) 诱导的 ALF 模型中记录到的血小板减少诱导的 TGF-β1 减少相关联,并阐明了 TGF-β1 减少对血脑屏障功能的影响。在 AOM 小鼠大脑中,证实了细胞溶质部分中突触小体蛋白和突触结合蛋白的增加,以及其在膜部分中的减少。在分析的部分中,这两种蛋白质在抗 TGF-β1 小鼠中均减少。反过来,在 AOM 大脑皮质中观察到 postsynaptic (N-甲基-D-天冬氨酸受体的 NR1 亚基、突触后密度蛋白 95、gephyrin) 蛋白的增加,但在抗 TGF-β1 小鼠中观察到选择性代偿性增加 NR1 亚基。突触蛋白水平的改变在抗 TGF-β1 模型中并未转化为电生理参数。结果表明,在 AOM 模型中,突触小泡与突触后膜的对接受损。然而,抗 TGF-β1 小鼠中突触蛋白水平的变化不会影响神经递质传递,也不会导致 AOM 小鼠的神经功能缺陷。