Bayraktaroğlu Selen, Nawaz Nasery Mohammad, Foladi Naqibullah
Department of Radiology, Thoracic imaging, Ege University Hospital, Faculty of Medicine, Izmir, Turkey.
Department of Radiology, Kabul University of Medical Sciences, Kabul, Afghanistan.
Radiol Case Rep. 2022 Feb 4;17(4):1190-1193. doi: 10.1016/j.radcr.2022.01.016. eCollection 2022 Apr.
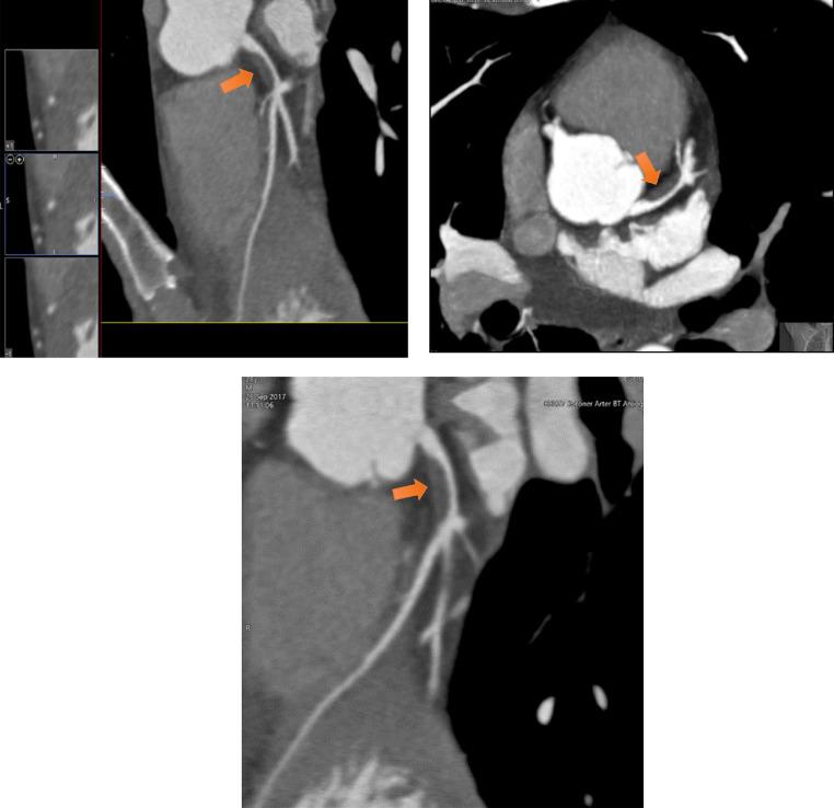
Blunt chest trauma may cause variable degrees of thoracic injuries. Most of the patients may remain asymptomatic after sustaining blunt chest trauma. But in rare instances, life-threatening conditions such as coronary artery dissection may occur. The authors present a 29-year-old male adult with persistent chest pain following blunt trauma with a rise in cardiac troponins and elevated ST segment in ECG. Coronary CT and conventional angiography demonstrated dissection of the left main coronary artery. It is deemed necessary to suspect cardiac injury in patients with a history of blunt chest trauma in appropriate clinical settings. Early recognition of coronary artery dissection is vital to reduce morbidity and mortality. ECG combined with cardiac enzymes can be essential tools helping the physicians raise the suspicion towards a cardiac injury followed by cross-sectional and conventional angiographies for confirmation.
钝性胸部创伤可能导致不同程度的胸部损伤。大多数患者在遭受钝性胸部创伤后可能没有症状。但在极少数情况下,可能会出现危及生命的情况,如冠状动脉夹层。作者报告了一名29岁成年男性,在钝性创伤后持续胸痛,心肌肌钙蛋白升高,心电图ST段抬高。冠状动脉CT和传统血管造影显示左主干冠状动脉夹层。在适当的临床环境中,有钝性胸部创伤史的患者有必要怀疑心脏损伤。早期识别冠状动脉夹层对于降低发病率和死亡率至关重要。心电图结合心肌酶可能是帮助医生提高对心脏损伤怀疑的重要工具,随后通过横断面和传统血管造影进行确诊。