Suppr超能文献

髂肌血肿:康复单元中一种罕见的并发症——病例报告研究

Iliacus Muscle Hematoma an Uncommon Complication in a Rehabilitation Unit: A Case Report Study.

作者信息

Battaglia Riccardo, Cerasa Antonio, Pugliese Maria Elena, Lucca Lucia Francesca, Tonin Paolo

机构信息

Intensive Rehabilitation Unit, S'Anna Institute, 88900 Crotone, Italy.

Institute for Biomedical Research and Innovation (IRIB), National Research Council of Italy, 98164 Messina, Italy.

出版信息

Healthcare (Basel). 2022 Feb 3;10(2):297. doi: 10.3390/healthcare10020297.

Abstract

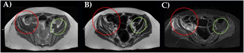
Iliacus muscle hematoma is a very rare condition in rehabilitation wards. A 35-year-old pregnant woman at seven months with cerebellar hematoma with signs of compression underwent a cesarean procedure together with neurosurgical decompression of the posterior cranial fossa procedure. After a period in an intensive unit without any complications, she was admitted to our neurorehabilitation ward and treated with antihypertensive therapy, heparin, and anti-seizure drugs. During a rehabilitation session, after a bed-wheelchair transfer, she was feeling very unwell suffering from severe right leg pain radiating to the mid-face leg. Despite unremarkable physical evidence (skin appearance, temperature, and peripheral arterial pulse in both legs), imaging data (ultrasound, CT, and MRI) confirmed the presence of a right iliac muscle hematoma (IMH). Enoxaparin was immediately stopped, and bed rest was prescribed in an antalgic position with tramadole acetaminophen for pain control. After a few days, the patient felt well and was discharged without any additional symptoms. Our study demonstrates that, when a sudden severe leg pain develops, IMH should be considered in the differential diagnosis. This finding suggests further research and tailored protocols for rehabilitation in patients at high risk for iliacus muscle hematoma.

摘要

髂肌血肿在康复病房是一种非常罕见的病症。一名35岁、孕7个月的孕妇患有小脑血肿并有压迫体征,接受了剖宫产手术以及后颅窝神经外科减压手术。在重症监护室度过一段时间且无任何并发症后,她被收治到我们的神经康复病房,并接受了抗高血压治疗、肝素治疗和抗癫痫药物治疗。在一次康复治疗期间,从病床转移至轮椅后,她感觉非常不适,右腿剧痛并放射至小腿中部。尽管体格检查未见异常(双腿皮肤外观、温度及外周动脉搏动),但影像学资料(超声、CT和MRI)证实存在右侧髂肌血肿(IMH)。立即停用依诺肝素,并让患者以止痛体位卧床休息,使用曲马多对乙酰氨基酚控制疼痛。几天后,患者感觉良好,出院时无任何其他症状。我们的研究表明,当突然出现严重腿痛时,鉴别诊断应考虑髂肌血肿。这一发现提示需要针对髂肌血肿高危患者开展进一步研究并制定个性化康复方案。

https://cdn.ncbi.nlm.nih.gov/pmc/blobs/1dbc/8872004/cadecf21a4fc/healthcare-10-00297-g001.jpg

文献AI研究员

20分钟写一篇综述,助力文献阅读效率提升50倍。

立即体验

用中文搜PubMed

大模型驱动的PubMed中文搜索引擎

马上搜索

文档翻译

学术文献翻译模型,支持多种主流文档格式。

立即体验