• 文献检索
  • 文档翻译
  • 深度研究
  • 学术资讯
  • Suppr Zotero 插件Zotero 插件
  • 邀请有礼
  • 套餐&价格
  • 历史记录
应用&插件
Suppr Zotero 插件Zotero 插件浏览器插件Mac 客户端Windows 客户端微信小程序
定价
高级版会员购买积分包购买API积分包
服务
文献检索文档翻译深度研究API 文档MCP 服务
关于我们
关于 Suppr公司介绍联系我们用户协议隐私条款
关注我们

Suppr 超能文献

核心技术专利:CN118964589B侵权必究
粤ICP备2023148730 号-1Suppr @ 2026

文献检索

告别复杂PubMed语法,用中文像聊天一样搜索,搜遍4000万医学文献。AI智能推荐,让科研检索更轻松。

立即免费搜索

文件翻译

保留排版,准确专业,支持PDF/Word/PPT等文件格式,支持 12+语言互译。

免费翻译文档

深度研究

AI帮你快速写综述,25分钟生成高质量综述,智能提取关键信息,辅助科研写作。

立即免费体验

无鞍骑术运动员前臂的骨质增生

Bony hypertrophy of the forearm in bareback rodeo athletes.

作者信息

Douthit Christian, Cox Cameron, Chow Nathan, Foster Rick, MacKay Brendan J

机构信息

Texas Tech University Health Sciences Center, Lubbock, TX, USA.

Justin Sports Medical Team, Fort Worth, TX, USA.

出版信息

SAGE Open Med. 2022 Feb 21;10:20503121221077831. doi: 10.1177/20503121221077831. eCollection 2022.

DOI:10.1177/20503121221077831
PMID:35223028
原文链接:https://pmc.ncbi.nlm.nih.gov/articles/PMC8874185/
Abstract

OBJECTIVE

Activities that require increased load bearing are known to cause bony hypertrophy. This phenomenon has been documented in the dominant arm of athletes in sports requiring significant utilization of a single limb. The literature addressing this effect in rodeo athletes, however, is minimal. Studies evaluating rodeo athletes are primarily focused on acute injury management rather than chronic symptoms resulting from changes in bone and soft tissue. We designed a study to evaluate bony hypertrophy in athletes without acute injury.

METHOD

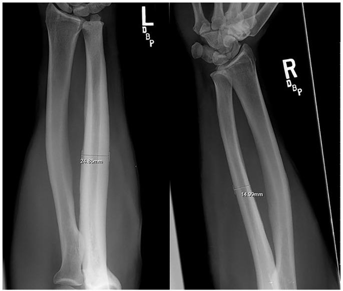
Rodeo bareback riders presented with frequent pain in their grip arm, no radiographic evidence of injury, and clinical signs of peripheral nerve compression. Anteroposterior and lateral X-rays taken for initial evaluation in 17 bareback rodeo athletes were retrospectively reviewed. The diameter of bilateral ulnas was measured at its longitudinal midpoint. Ratio of Ulnar Diameters (grip arm/free arm) and Percentage Diameter Difference were calculated. An independent samples -test was used to assess differences in diameters of grip and non-grip arms.

RESULT

The mean ulnar diameter was 18.4 ± 3.5 in the grip arm and 16.6 ± 3.5 in the non-grip arm ( < 0.001). The mean ratio of grip to free arm ulnar diameter was 1.42 ± 0.21 (range = 1.05-1.92). The mean diameter percent difference measured 42.3% (range = 4.7%-92.0%), and the grip arm was observed to have a greater ulnar diameter compared to the non-grip arm.

CONCLUSION

There are significant anatomic differences in the grip arm of bareback rodeo athletes compared to the contralateral arm. In cases of persistent pain in the grip arm and no evidence of acute injury, these differences may be relevant to pain symptoms and should be considered as part of the assessment and treatment algorithm.

摘要

目的

已知需要增加承重的活动会导致骨质增生。这种现象在需要大量使用单肢的运动项目中,运动员的优势手臂上已有记录。然而,关于牛仔竞技运动员这种影响的文献却很少。评估牛仔竞技运动员的研究主要集中在急性损伤管理上,而非骨骼和软组织变化导致的慢性症状。我们设计了一项研究来评估无急性损伤运动员的骨质增生情况。

方法

骑无鞍马的牛仔竞技运动员出现握力臂频繁疼痛,无影像学损伤证据,且有周围神经受压的临床体征。对17名骑无鞍马的牛仔竞技运动员进行初步评估时拍摄的前后位和侧位X线片进行回顾性分析。在双侧尺骨的纵向中点测量其直径。计算尺骨直径比(握力臂/非握力臂)和直径百分比差异。采用独立样本t检验评估握力臂和非握力臂直径的差异。

结果

握力臂的平均尺骨直径为18.4±3.5,非握力臂为16.6±3.5(<0.001)。握力臂与非握力臂尺骨直径的平均比值为1.42±0.21(范围=1.05 - 1.92)。平均直径百分比差异为42.3%(范围=4.7% - 92.0%),观察到握力臂的尺骨直径大于非握力臂。

结论

与对侧手臂相比,骑无鞍马的牛仔竞技运动员握力臂存在显著的解剖学差异。在握力臂持续疼痛且无急性损伤证据的情况下,这些差异可能与疼痛症状相关,应作为评估和治疗方案的一部分加以考虑。

https://cdn.ncbi.nlm.nih.gov/pmc/blobs/7970/8874185/8823da01f8fa/10.1177_20503121221077831-fig2.jpg
https://cdn.ncbi.nlm.nih.gov/pmc/blobs/7970/8874185/26f24498242b/10.1177_20503121221077831-fig1.jpg
https://cdn.ncbi.nlm.nih.gov/pmc/blobs/7970/8874185/8823da01f8fa/10.1177_20503121221077831-fig2.jpg
https://cdn.ncbi.nlm.nih.gov/pmc/blobs/7970/8874185/26f24498242b/10.1177_20503121221077831-fig1.jpg
https://cdn.ncbi.nlm.nih.gov/pmc/blobs/7970/8874185/8823da01f8fa/10.1177_20503121221077831-fig2.jpg

相似文献

1
Bony hypertrophy of the forearm in bareback rodeo athletes.无鞍骑术运动员前臂的骨质增生
SAGE Open Med. 2022 Feb 21;10:20503121221077831. doi: 10.1177/20503121221077831. eCollection 2022.
2
The Relationship of Anthropometric and Physical Performance Characteristics on Competitive Success in Amateur, Elite, and Professional Rodeo Athletes.竞技牛仔运动员的人体测量和身体表现特征与比赛成功的关系。
J Strength Cond Res. 2023 Jul 1;37(7):1495-1506. doi: 10.1519/JSC.0000000000004403. Epub 2023 Apr 28.
3
Analysis of 10 years of injury in high school rodeo.高中牛仔竞技运动十年伤病情况分析
Clin J Sport Med. 2009 Sep;19(5):383-7. doi: 10.1097/JSM.0b013e3181b625e4.
4
A Description and Analysis of Injury and Exercise in Collegiate Rodeo Athletes.大学生牛仔竞技运动员的损伤与运动情况描述与分析。
S D Med. 2023 Jul;76(7):294-303.
5
Radiographic Study of Elbow Injuries in Professional Rodeo Cowboys.职业牛仔竞技表演者肘部损伤的影像学研究
Phys Sportsmed. 1989 Jun;17(6):84-96. doi: 10.1080/00913847.1989.11709807.
6
Effect of experience on rodeo injury.经验对牛仔竞技表演损伤的影响。
Clin J Sport Med. 2002 Jan;12(1):30-5. doi: 10.1097/00042752-200201000-00009.
7
Characteristics of Rodeo Injuries and Suggestions for Injury Prevention: A Systematic Review.牛仔竞技损伤的特征及预防损伤的建议:一项系统综述
Orthop J Sports Med. 2024 Apr 15;12(4):23259671241227217. doi: 10.1177/23259671241227217. eCollection 2024 Apr.
8
Analysis of 4 Years of Injury in Professional Rodeo.专业牛仔竞技 4 年伤害分析。
Clin J Sport Med. 2020 Nov;30(6):591-597. doi: 10.1097/JSM.0000000000000654.
9
Chronic hypertrophy of the ulna in the professional rodeo cowboy.职业牛仔竞技牛仔尺骨的慢性肥大
Clin Orthop Relat Res. 1982 Apr(164):45-47.
10
The rodeo athlete: sport science: part I.竞技牛仔:运动科学:第一部分。
Sports Med. 2010 May 1;40(5):417-31. doi: 10.2165/11531390-000000000-00000.

引用本文的文献

1
Characteristics of Rodeo Injuries and Suggestions for Injury Prevention: A Systematic Review.牛仔竞技损伤的特征及预防损伤的建议:一项系统综述
Orthop J Sports Med. 2024 Apr 15;12(4):23259671241227217. doi: 10.1177/23259671241227217. eCollection 2024 Apr.

本文引用的文献

1
Treatment of the ulnar nerve for overhead throwing athletes undergoing ulnar collateral ligament reconstruction.对接受尺侧副韧带重建的过头投掷运动员的尺神经治疗。
World J Orthop. 2016 Oct 18;7(10):650-656. doi: 10.5312/wjo.v7.i10.650.
2
Radiographic Study of Elbow Injuries in Professional Rodeo Cowboys.职业牛仔竞技表演者肘部损伤的影像学研究
Phys Sportsmed. 1989 Jun;17(6):84-96. doi: 10.1080/00913847.1989.11709807.
3
Compressive neuropathy in the upper limb.上肢压迫性神经病变
Indian J Plast Surg. 2011 May;44(2):283-97. doi: 10.4103/0970-0358.85350.
4
Effects of repetitive loading on the growth-induced changes in bone mass and cortical bone geometry: a 12-month study in pre/peri- and postmenarcheal tennis players.重复性加载对生长引起的骨量和皮质骨几何形状变化的影响:一项为期 12 个月的青春期前/经期中和经期后女网球运动员的研究。
J Bone Miner Res. 2011 Jun;26(6):1321-9. doi: 10.1002/jbmr.323.
5
Field hockey players have different values of ulnar and tibial motor nerve conduction velocity than soccer and tennis players.曲棍球运动员的尺神经和胫神经运动神经传导速度值与足球和网球运动员不同。
Arch Ital Biol. 2010 Dec;148(4):365-76. doi: 10.4449/aib.v148i4.1208.
6
The rodeo athlete: injuries - Part II.竞技牛仔选手:损伤——第二部分。
Sports Med. 2010 Oct 1;40(10):817-39. doi: 10.2165/11535330-000000000-00000.
7
Nerve conduction study of ulnar nerve in volleyball players.排球运动员尺神经的神经传导研究。
Scand J Med Sci Sports. 2006 Jun;16(3):197-200. doi: 10.1111/j.1600-0838.2005.00475.x.
8
New targets for fascial, ligament and tendon research: a perspective from the Utah paradigm of skeletal physiology.筋膜、韧带和肌腱研究的新靶点:来自犹他州骨骼生理学范式的观点
J Musculoskelet Neuronal Interact. 2003 Sep;3(3):201-9.
9
Nerve conduction studies of upper extremities in tennis players.网球运动员上肢的神经传导研究。
Br J Sports Med. 2004 Oct;38(5):632-5. doi: 10.1136/bjsm.2003.008029.
10
Radiographic findings of the upper extremity in collegiate rodeo athletes.大学牛仔竞技运动员上肢的影像学表现。
Med Sci Sports Exerc. 2003 Apr;35(4):543-7. doi: 10.1249/01.MSS.0000058365.89296.4E.