• 文献检索
  • 文档翻译
  • 深度研究
  • 学术资讯
  • Suppr Zotero 插件Zotero 插件
  • 邀请有礼
  • 套餐&价格
  • 历史记录
应用&插件
Suppr Zotero 插件Zotero 插件浏览器插件Mac 客户端Windows 客户端微信小程序
定价
高级版会员购买积分包购买API积分包
服务
文献检索文档翻译深度研究API 文档MCP 服务
关于我们
关于 Suppr公司介绍联系我们用户协议隐私条款
关注我们

Suppr 超能文献

核心技术专利:CN118964589B侵权必究
粤ICP备2023148730 号-1Suppr @ 2026

文献检索

告别复杂PubMed语法,用中文像聊天一样搜索,搜遍4000万医学文献。AI智能推荐,让科研检索更轻松。

立即免费搜索

文件翻译

保留排版,准确专业,支持PDF/Word/PPT等文件格式,支持 12+语言互译。

免费翻译文档

深度研究

AI帮你快速写综述,25分钟生成高质量综述,智能提取关键信息,辅助科研写作。

立即免费体验

胫骨后倾对内侧单髁膝关节置换中期结果的影响。

Effects of posterior tibial slope on the mid-term results of medial unicompartmental knee arthroplasty.

作者信息

Chen Zhijie, Chen Kaizhe, Yan Yufei, Feng Jianmin, Wang Yi, Liu Zhihong, Yang Qingming, He Chuan

机构信息

Department of Orthopaedics, Shanghai Key Laboratory for Prevention and Treatment of Bone and Joint Diseases, Shanghai Institute of Traumatology and Orthopaedics, Ruijin Hospital, Shanghai Jiao Tong University School of Medicine, 197 Ruijin 2nd Road, Shanghai, 200025, People's Republic of China.

出版信息

Arthroplasty. 2021 Apr 12;3(1):11. doi: 10.1186/s42836-021-00070-y.

DOI:10.1186/s42836-021-00070-y
PMID:35236478
原文链接:https://pmc.ncbi.nlm.nih.gov/articles/PMC8796409/
Abstract

OBJECTIVE

To evaluate the effect of medial posterior tibial slope (PTS) on mid-term postoperative range of motion (ROM) and functional improvement of the knee after medial unicompartmental knee arthroplasty (UKA).

METHODS

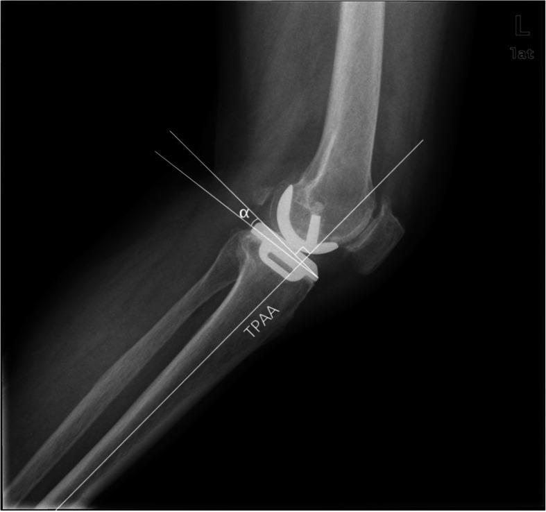
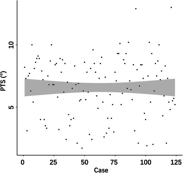
Medical records of 113 patients who had undergone 124 medial UKAs between April 2009 through April 2014 were reviewed retrospectively. The mean follow-up lasted 7.6 years (range, 6.2-11.2 years). Collected were demographic data, including gender, age, height, weight of the patients. Anteroposterior (AP) and lateral knee radiographs of the operated knees were available in all patients. The knee function was evaluated during office follow-up or hospital stay. Meanwhile, postoperative PTS, ROM, maximal knee flexion and Hospital for Special Surgery (HSS) knee score (pre-/postoperative) of the operated side were measured and assessed. According to the size of the PTS, patients were divided into 3 groups: group 1 (<4°), group 2 (4° ~ 7°) and group 3 (>7°). The association between PTS and the knee function was investigated.

RESULTS

In our cohort, the average PTS was 2.7° ± 0.6° in group 1, 5.6° ± 0.9° in group 2 and 8.7° ± 1.2° in group 3. Pairwise comparisons showed significant differences among them (p < 0.01). The average maximal flexion range of postoperative knees in each group was 112.4° ± 5.6°, 116.4° ± 7.2°, and 117.5° ± 6.1°, respectively, with significant difference found between group 1 and group 2 (p < 0.05), and between group 1 and group 3 (p < 0.05). However, the gender, age, and body mass index (BMI) did not differ between three groups and there was no significant difference between groups in terms of pre-/postoperative HSS scores or postoperative knee ROM.

CONCLUSION

A mid-term follow-up showed that an appropriate PTS (4° ~ 7°) can help improve the postoperative flexion of knee. On the other hand, too small a PTS could lead to limited postoperative knee flexion. Therefore, the PTS less than 4° should be avoided during medial UKA.

摘要

目的

评估胫骨后内侧斜率(PTS)对内侧单髁膝关节置换术(UKA)术后中期膝关节活动范围(ROM)及功能改善的影响。

方法

回顾性分析2009年4月至2014年4月期间113例行124次内侧UKA手术患者的病历。平均随访时间为7.6年(范围6.2 - 11.2年)。收集患者的人口统计学数据,包括性别、年龄、身高、体重。所有患者均有患侧膝关节前后位(AP)和侧位X线片。在门诊随访或住院期间评估膝关节功能。同时,测量并评估患侧术后PTS、ROM、最大膝关节屈曲度及特殊外科医院(HSS)膝关节评分(术前/术后)。根据PTS大小将患者分为3组:第1组(<4°)、第2组(4°~7°)和第3组(>7°)。研究PTS与膝关节功能之间的关联。

结果

在我们的队列中,第1组平均PTS为2.7°±0.6°,第2组为5.6°±0.9°,第3组为8.7°±1.2°。两两比较显示组间差异有统计学意义(p< 0.01)。每组术后膝关节平均最大屈曲范围分别为112.4°±5.6°、116.4°±7.2°和117.5°±6.1°,第1组与第2组之间(p< 0.05)以及第1组与第3组之间(p< 0.05)差异有统计学意义。然而,三组之间性别、年龄和体重指数(BMI)无差异,术前/术后HSS评分或术后膝关节ROM在组间也无显著差异。

结论

中期随访表明,合适的PTS(4°~7°)有助于改善术后膝关节屈曲度。另一方面,PTS过小可能导致术后膝关节屈曲受限。因此,内侧UKA手术期间应避免PTS小于4°。

https://cdn.ncbi.nlm.nih.gov/pmc/blobs/21ce/8796409/7a1dc423aa94/42836_2021_70_Fig4_HTML.jpg
https://cdn.ncbi.nlm.nih.gov/pmc/blobs/21ce/8796409/49d605c3ce96/42836_2021_70_Fig1_HTML.jpg
https://cdn.ncbi.nlm.nih.gov/pmc/blobs/21ce/8796409/7442bd0b306b/42836_2021_70_Fig2_HTML.jpg
https://cdn.ncbi.nlm.nih.gov/pmc/blobs/21ce/8796409/1a707d9c7a4f/42836_2021_70_Fig3_HTML.jpg
https://cdn.ncbi.nlm.nih.gov/pmc/blobs/21ce/8796409/7a1dc423aa94/42836_2021_70_Fig4_HTML.jpg
https://cdn.ncbi.nlm.nih.gov/pmc/blobs/21ce/8796409/49d605c3ce96/42836_2021_70_Fig1_HTML.jpg
https://cdn.ncbi.nlm.nih.gov/pmc/blobs/21ce/8796409/7442bd0b306b/42836_2021_70_Fig2_HTML.jpg
https://cdn.ncbi.nlm.nih.gov/pmc/blobs/21ce/8796409/1a707d9c7a4f/42836_2021_70_Fig3_HTML.jpg
https://cdn.ncbi.nlm.nih.gov/pmc/blobs/21ce/8796409/7a1dc423aa94/42836_2021_70_Fig4_HTML.jpg

相似文献

1
Effects of posterior tibial slope on the mid-term results of medial unicompartmental knee arthroplasty.胫骨后倾对内侧单髁膝关节置换中期结果的影响。
Arthroplasty. 2021 Apr 12;3(1):11. doi: 10.1186/s42836-021-00070-y.
2
[Analysis of the influence of tibial component posterior slope angle on short- and mid-term effectiveness of unicompartmental knee arthroplasty].[胫骨假体后倾角度对单髁膝关节置换术短期及中期疗效的影响分析]
Zhongguo Xiu Fu Chong Jian Wai Ke Za Zhi. 2022 Feb 15;36(2):189-195. doi: 10.7507/1002-1892.202110019.
3
[Influence of tibial component slope on short-term clinical outcome for Oxford unicompartmental knee arthroplasty].[胫骨假体坡度对牛津单髁膝关节置换术短期临床疗效的影响]
Zhonghua Wai Ke Za Zhi. 2017 Jun 1;55(6):430-434. doi: 10.3760/cma.j.issn.0529-5815.2017.06.006.
4
[Effect of posterior tibial slope on the short-term outcome in mobile-bearing unicompartmental knee arthroplasty].[胫骨后倾对活动平台单髁膝关节置换术短期疗效的影响]
Beijing Da Xue Xue Bao Yi Xue Ban. 2021 Oct 18;53(5):877-882. doi: 10.19723/j.issn.1671-167X.2021.05.011.
5
Posterior condylar offset and posterior tibial slope targets to optimize knee flexion after unicompartmental knee arthroplasty.髁后间距和胫骨后倾角度是优化单髁膝关节置换术后膝关节屈曲的目标。
Knee Surg Sports Traumatol Arthrosc. 2022 Mar;30(3):822-831. doi: 10.1007/s00167-021-06453-7. Epub 2021 Jan 29.
6
[Effect of changes in posterior tibial slope on the mid-term clinical outcomes of Oxford unicompartmental knee arthroplasty].[胫骨后倾角度变化对牛津单髁膝关节置换术中期临床疗效的影响]
Zhonghua Yi Xue Za Zhi. 2024 Jan 30;104(5):344-349. doi: 10.3760/cma.j.cn112137-20230910-00435.
7
Dependence of knee range of motion on the alignment of femoral and tibial components after medial unicompartmental knee arthroplasty.内侧单髁膝关节置换术后膝关节活动范围与股骨和胫骨组件对线的关系。
Eur J Orthop Surg Traumatol. 2021 Feb;31(2):291-298. doi: 10.1007/s00590-020-02770-8. Epub 2020 Aug 20.
8
[The association of posterior tibial slope changes between joint gap contact force and the range of motion in Oxford mobile bearing unicompartmental knee arthroplasty].[牛津活动平台单髁膝关节置换术中关节间隙接触力与活动范围之间的胫骨后倾坡度变化的关联]
Zhonghua Yi Xue Za Zhi. 2022 Jul 5;102(25):1904-1909. doi: 10.3760/cma.j.cn112137-20220103-00014.
9
Large Reduction in Postoperative Posterior Tibial Slope Risks Anterior Collapse of the Tibial Component in Fixed-Bearing Unicompartmental Knee Arthroplasty.固定平台单髁膝关节置换术中,术后胫骨后倾角度大幅减小会增加胫骨假体前方塌陷的风险。
Arthroplast Today. 2022 Jul 31;17:9-15. doi: 10.1016/j.artd.2022.06.011. eCollection 2022 Oct.
10
Referencing the Tibial Plateau With a Probe Improves the Accuracy of the Posterior Slope in Medial Unicompartmental Knee Arthroplasty.使用探针参照胫骨平台可提高内侧单髁膝关节置换术中后倾角的准确性。
Arthroplast Today. 2022 Oct 22;18:89-94. doi: 10.1016/j.artd.2022.08.017. eCollection 2022 Dec.

引用本文的文献

1
Targeted adjustment of the posterior tibial slope in unicompartmental knee arthroplasty is feasible without altering the medial proximal tibial angle.在单髁膝关节置换术中,在不改变胫骨近端内侧角的情况下,对胫骨后倾进行靶向调整是可行的。
J Exp Orthop. 2025 May 19;12(2):e70286. doi: 10.1002/jeo2.70286. eCollection 2025 Apr.
2
[Relationship between knee meniscus and posterior tibial slope in healthy adults and patients with anteromedial osteoarthritis in Heilongjiang province].[黑龙江省健康成年人及前内侧骨关节炎患者膝关节半月板与胫骨后倾坡度的关系]
Zhongguo Xiu Fu Chong Jian Wai Ke Za Zhi. 2025 Jan 15;39(1):32-39. doi: 10.7507/1002-1892.202410045.
3

本文引用的文献

1
Biomechanical effects of posterior tibial slope on unicompartmental knee arthroplasty using finite element analysis.基于有限元分析的胫骨后倾对单髁膝关节置换术的生物力学影响
Biomed Mater Eng. 2019;30(2):133-144. doi: 10.3233/BME-191039.
2
Unicompartmental Knee Arthroplasty: The Past, Current Controversies, and Future Perspectives.单髁膝关节置换术:过去、当前争议及未来展望
J Knee Surg. 2018 Nov;31(10):992-998. doi: 10.1055/s-0038-1625961. Epub 2018 Mar 7.
3
The influence of posterior tibial slope changes on joint gap and range of motion in unicompartmental knee arthroplasty.
Medial meniscus posterior root tears with advanced osteoarthritis or subchondral insufficiency fracture are good indications for unicompartmental knee arthroplasty at a minimum 2-year follow-up.
伴有晚期骨关节炎或软骨下不全骨折的内侧半月板后根部撕裂是单髁膝关节置换术的良好适应证,至少随访2年。
Arch Orthop Trauma Surg. 2024 Dec 18;145(1):64. doi: 10.1007/s00402-024-05671-1.
4
Evaluation of changes in fixed flexion deformity following medial unicompartmental knee arthroplasty.内侧单髁膝关节置换术后固定性屈曲畸形变化的评估
Bone Jt Open. 2024 Nov 6;5(11):992-998. doi: 10.1302/2633-1462.511.BJO-2024-0139.
5
High accuracy of component positioning and restoration of lower limb alignment using robotic medial unicompartmental knee arthroplasty.使用机器人辅助内侧单髁膝关节置换术时,组件定位的高准确性及下肢对线的恢复。
Knee Surg Sports Traumatol Arthrosc. 2025 Jun;33(6):1982-1991. doi: 10.1002/ksa.12484. Epub 2024 Oct 6.
6
Robotic-assisted unicompartmental knee arthroplasty improves functional outcomes, complications, and revisions.机器人辅助单髁膝关节置换术可改善功能结局、并发症及翻修情况。
Bone Jt Open. 2024 May 1;5(5):374-384. doi: 10.1302/2633-1462.55.BJO-2024-0030.R1.
7
Large Reduction in Postoperative Posterior Tibial Slope Risks Anterior Collapse of the Tibial Component in Fixed-Bearing Unicompartmental Knee Arthroplasty.固定平台单髁膝关节置换术中,术后胫骨后倾角度大幅减小会增加胫骨假体前方塌陷的风险。
Arthroplast Today. 2022 Jul 31;17:9-15. doi: 10.1016/j.artd.2022.06.011. eCollection 2022 Oct.
胫骨后倾角度变化对单髁膝关节置换术中关节间隙及活动范围的影响。
Knee. 2016 Jun;23(3):517-22. doi: 10.1016/j.knee.2016.01.003. Epub 2016 Jan 29.
4
Progression of medial osteoarthritis and long term results of lateral unicompartmental arthroplasty: 10 to 18 year follow-up of 54 consecutive implants.内侧骨关节炎的进展及外侧单髁关节置换术的长期结果:54例连续植入物的10至18年随访
Knee. 2014;21 Suppl 1:S26-32. doi: 10.1016/S0968-0160(14)50006-3.
5
No difference in anterior knee pain after medial unicompartmental knee arthroplasty in patients with or without patellofemoral osteoarthritis.有或没有髌股关节炎的患者在进行内侧单髁膝关节置换术后,膝前疼痛无差异。
Knee Surg Sports Traumatol Arthrosc. 2016 Jan;24(1):208-13. doi: 10.1007/s00167-014-3367-9. Epub 2014 Oct 2.
6
Extreme variability in posterior slope of the proximal tibia: measurements on 2395 CT scans of patients undergoing UKA?胫骨近端后倾角的极大变异性:在接受 UKA 的 2395 例 CT 扫描患者中的测量值
J Arthroplasty. 2014 Aug;29(8):1677-80. doi: 10.1016/j.arth.2014.03.024. Epub 2014 Mar 28.
7
Measurement and comparison of tibial posterior slope angle in different methods based on three-dimensional reconstruction.基于三维重建的不同方法下胫骨后倾角度的测量与比较
Knee. 2014 Jun;21(3):694-8. doi: 10.1016/j.knee.2014.01.008. Epub 2014 Feb 7.
8
Increase of tibial slope reduces backside wear in medial mobile bearing unicompartmental knee arthroplasty.胫骨坡度增加可减少内侧活动平台单髁膝关节置换术中的后方磨损。
Clin Biomech (Bristol). 2013 Oct;28(8):904-9. doi: 10.1016/j.clinbiomech.2013.08.006. Epub 2013 Aug 28.
9
Modern unicompartmental knee arthroplasty with cement: a concise follow-up, at a mean of twenty years, of a previous report.现代水泥型单髁膝关节置换术:一项 20 年随访的初步报告。
J Bone Joint Surg Am. 2013 May 15;95(10):905-9. doi: 10.2106/JBJS.L.00963.
10
Medial unicompartmental knee arthroplasty: does tibial component position influence clinical outcomes and arthroplasty survival?单间室膝关节置换术:胫骨组件位置是否影响临床结果和关节置换的存活率?
Orthop Traumatol Surg Res. 2013 Jun;99(4 Suppl):S219-25. doi: 10.1016/j.otsr.2013.03.004. Epub 2013 Apr 24.