Suppr超能文献

用组蛋白去乙酰化酶和 DNA 甲基转移酶抑制剂治疗先天性肌病的小鼠模型中肌肉力量的改善。

Improvement of muscle strength in a mouse model for congenital myopathy treated with HDAC and DNA methyltransferase inhibitors.

机构信息

Neuromuscular Research Group, Departments of Neurology and Biomedicine, Basel University Hospital, Basel, Switzerland.

Division of Clinical Pharmacology & Toxicology, Department of Biomedicine, University and University Hospital Basel, Basel, Switzerland.

出版信息

Elife. 2022 Mar 3;11:e73718. doi: 10.7554/eLife.73718.

Abstract

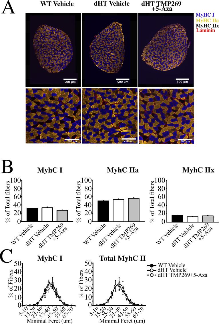
To date there are no therapies for patients with congenital myopathies, muscle disorders causing poor quality of life of affected individuals. In approximately 30% of the cases, patients with congenital myopathies carry either dominant or recessive mutations in the ryanodine receptor 1 () gene; recessive mutations are accompanied by reduction of RyR1 expression and content in skeletal muscles and are associated with fiber hypotrophy and muscle weakness. Importantly, muscles of patients with recessive mutations exhibit increased content of class II histone deacetylases and of DNA genomic methylation. We recently created a mouse model knocked-in for the p.Q1970fsX16+ p.A4329D RyR1 mutations, which are isogenic to those carried by a severely affected child suffering from a recessive form of RyR1-related multi-mini core disease. The phenotype of the RyR1 mutant mice recapitulates many aspects of the clinical picture of patients carrying recessive mutations. We treated the compound heterozygous mice with a combination of two drugs targeting DNA methylases and class II histone deacetylases. Here, we show that treatment of the mutant mice with drugs targeting epigenetic enzymes improves muscle strength, RyR1 protein content, and muscle ultrastructure. This study provides proof of concept for the pharmacological treatment of patients with congenital myopathies linked to recessive mutations.

摘要

迄今为止,对于先天性肌病患者(一种导致患者生活质量较差的肌肉疾病),尚无有效的治疗方法。大约 30%的先天性肌病患者携带兰尼碱受体 1()基因的显性或隐性突变;隐性突变伴随着 RyR1 在骨骼肌中的表达和含量减少,与纤维萎缩和肌肉无力有关。重要的是,携带隐性突变的肌肉中存在 II 类组蛋白去乙酰化酶和 DNA 基因组甲基化的含量增加。我们最近创建了一个 p.Q1970fsX16+ p.A4329D RyR1 突变的基因敲入小鼠模型,该模型与一个患有隐性 RyR1 相关多微小核心疾病的严重受影响儿童携带的突变是同系的。RyR1 突变小鼠的表型再现了携带隐性突变的患者的许多临床表现。我们用两种靶向 DNA 甲基转移酶和 II 类组蛋白去乙酰化酶的药物对杂合子突变小鼠进行了治疗。在这里,我们表明,针对表观遗传酶的药物治疗可改善肌肉强度、RyR1 蛋白含量和肌肉超微结构。这项研究为治疗与隐性突变相关的先天性肌病患者提供了药物治疗的概念验证。

https://cdn.ncbi.nlm.nih.gov/pmc/blobs/857a/8956288/6190264117cc/elife-73718-fig1.jpg

文献检索

告别复杂PubMed语法,用中文像聊天一样搜索,搜遍4000万医学文献。AI智能推荐,让科研检索更轻松。

立即免费搜索

文件翻译

保留排版,准确专业,支持PDF/Word/PPT等文件格式,支持 12+语言互译。

免费翻译文档

深度研究

AI帮你快速写综述,25分钟生成高质量综述,智能提取关键信息,辅助科研写作。

立即免费体验