Du Meimei, Jiang Lezhen, Wang Anyuan, Shi Jianjing, Bai Guanghui
Department of Radiology, The Second Affiliated Hospital and Yuying Children's Hospital of Wenzhou Medical University, Wenzhou, Zhejiang, People's Republic of China.
Department of Hand and Plastic Surgery, The Second Affiliated Hospital and Yuying Children's Hospital of Wenzhou Medical University, Wenzhou, Zhejiang, People's Republic of China.
Int J Gen Med. 2022 Feb 25;15:2163-2169. doi: 10.2147/IJGM.S352501. eCollection 2022.
We aimed to evaluate the use of magnetic resonance imaging (MRI) to visualize unossified bone sites that are often not visible with radiography in pediatric radial polydactyly patients with bifurcation at the metacarpophalangeal (MP) joint level. The MRI validation could help in planning for surgical procedures.
A total of 141 thumbs in 139 pediatric patients with bifurcation at the MP joint on radiography were included in this study. All the patients had undergone MRI with proton density-weighted fat-suppressed fast spin-echo (FS PDWI) sequence and fast fat-suppressed 3D spoiled gradient-recalled echo (FS 3D SPGR) sequence. The MR images of the cartilaginous structure and joint characteristics at the MP joint were evaluated and categorized by two experienced radiologists.
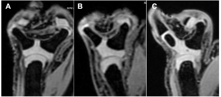
Our analysis demonstrated that MR imaging, especially the FS 3D SPGR sequence, yields better visibility of the cartilaginous structure and shows clearer joint characteristics that could not be detected by radiography. The abnormalities included a cartilaginous connection on the base of duplicated proximal phalanx, cartilaginous joint connection and the shape of articular cartilage on the head of metacarpal and soft tissue band. Radiologically encountered duplications at the MP joint level were successfully classified into six types based on the MRI-detected structural changes. The distribution of the six types was 17.7% (25/141) in type 1, 53.9% (76/141) in type 2, 2.8% (4/141) in type 3, 9.9% (14/141) in type 4, and 13.5% (19/141) in type 5.
This data showed that MR imaging provides practical information on the anatomic characteristics in radial polydactyly with bifurcation at the MP joint level that could aid surgical decision-making processes. Thus, the FS 3D SPGR sequence could be used as a MR imaging technique in radial polydactyly.
我们旨在评估磁共振成像(MRI)在可视化小儿桡侧多指畸形患者掌指(MP)关节水平分叉处未骨化骨部位方面的应用,这些部位在X线摄影中通常不可见。MRI验证有助于手术方案的规划。
本研究纳入了139例小儿患者的141根拇指,这些患者在X线摄影中显示MP关节分叉。所有患者均接受了质子密度加权脂肪抑制快速自旋回波(FS PDWI)序列和快速脂肪抑制三维扰相梯度回波(FS 3D SPGR)序列的MRI检查。由两名经验丰富的放射科医生对MP关节处的软骨结构和关节特征的MR图像进行评估和分类。
我们的分析表明,MR成像,尤其是FS 3D SPGR序列,能更好地显示软骨结构,呈现出X线摄影无法检测到的更清晰的关节特征。异常情况包括重复近端指骨基部的软骨连接、软骨关节连接以及掌骨头处关节软骨的形状和软组织带。根据MRI检测到的结构变化,在MP关节水平放射学上遇到的重复畸形成功分为六种类型。六种类型的分布情况为:1型占17.7%(25/141),2型占53.9%(76/141),3型占2.8%(4/141),4型占9.9%(14/141),5型占13.5%(19/141)。
该数据表明,MR成像为MP关节水平分叉的桡侧多指畸形的解剖特征提供了实用信息,有助于手术决策过程。因此,FS 3D SPGR序列可作为桡侧多指畸形的一种MR成像技术。