Suppr超能文献

膀胱尿路上皮癌的睾丸转移

Testicular metastasis from urothelial carcinoma of the bladder.

作者信息

Fukagawa Eri, Endo Fumiyasu, Kyono Yoko, Hashimoto Jun, Hattori Kazunori

机构信息

Department of Urology St. Luke's International Hospital Tokyo Japan.

Division of Medical Oncology Department of Internal Medicine St. Luke's International Hospital Tokyo Japan.

出版信息

IJU Case Rep. 2021 Nov 20;5(2):79-83. doi: 10.1002/iju5.12398. eCollection 2022 Mar.

Abstract

INTRODUCTION

Reports of urothelial carcinoma with testicular metastasis are limited and the etiology and prognosis remain unclear. We report a rare case of testicular metastasis derived from bladder urothelial carcinoma.

CASE PRESENTATION

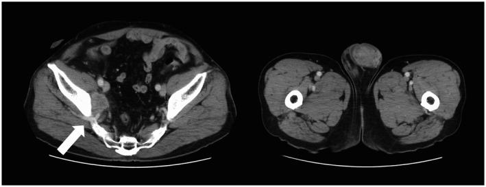
A 68-year-old man presented with gross hematuria and urinary frequency. Cystoscopy demonstrated an 8-cm-sized tumor in the bladder; transurethral resection and magnetic resonance imaging confirmed invasive urothelial carcinoma. Cystoprostatourethrectomy was performed, and the pathological diagnosis was high-grade muscle-invasive urothelial carcinoma. Three years later, the patient noticed a left scrotal mass. Left high orchiectomy was performed, and histopathologic examination of the surgical specimen revealed urothelial carcinoma, confirming testicular metastasis derived from bladder cancer. The patient received chemotherapy with gemcitabine and cisplatin and has survived for 7 years since the initial diagnosis without progression.

CONCLUSION

Although rare, secondary lesions should be considered for the differential diagnosis of testicular tumors in patients with a history of urothelial carcinoma.

摘要

引言

尿路上皮癌伴睾丸转移的报道有限,其病因和预后仍不明确。我们报告一例罕见的源自膀胱尿路上皮癌的睾丸转移病例。

病例介绍

一名68岁男性出现肉眼血尿和尿频症状。膀胱镜检查发现膀胱内有一个8厘米大小的肿瘤;经尿道切除术和磁共振成像证实为浸润性尿路上皮癌。进行了膀胱前列腺尿道切除术,病理诊断为高级别肌层浸润性尿路上皮癌。三年后,患者发现左侧阴囊肿块。进行了左侧高位睾丸切除术,手术标本的组织病理学检查显示为尿路上皮癌,证实为源自膀胱癌的睾丸转移。患者接受了吉西他滨和顺铂化疗,自初次诊断以来已存活7年且无病情进展。

结论

尽管罕见,但对于有尿路上皮癌病史的患者,睾丸肿瘤的鉴别诊断应考虑继发性病变。

https://cdn.ncbi.nlm.nih.gov/pmc/blobs/f75d/8888021/ffb1f824d4da/IJU5-5-79-g003.jpg

文献AI研究员

20分钟写一篇综述,助力文献阅读效率提升50倍。

立即体验

用中文搜PubMed

大模型驱动的PubMed中文搜索引擎

马上搜索

文档翻译

学术文献翻译模型,支持多种主流文档格式。

立即体验