Suppr超能文献

内镜超声引导下细针穿刺活检胰腺实性肿块的形态学及免疫组化研究:单中心研究。

A morphological and immunohistochemical study of the endoscopic ultrasound-fine-needle biopsy samples from solid pancreatic masses: a single center study.

机构信息

Department of Gastroenterology, University of Medicine and Pharmacy of Craiova, Romania;

出版信息

Rom J Morphol Embryol. 2021 Jul-Sep;62(3):723-731. doi: 10.47162/RJME.62.3.09.

Abstract

OBJECTIVE

The purpose of this study was to present the experience of a single center on endoscopic ultrasound-fine-needle biopsy (EUS-FNB) of pancreatic solid tumors amenable to immunohistochemistry (IHC) assay.

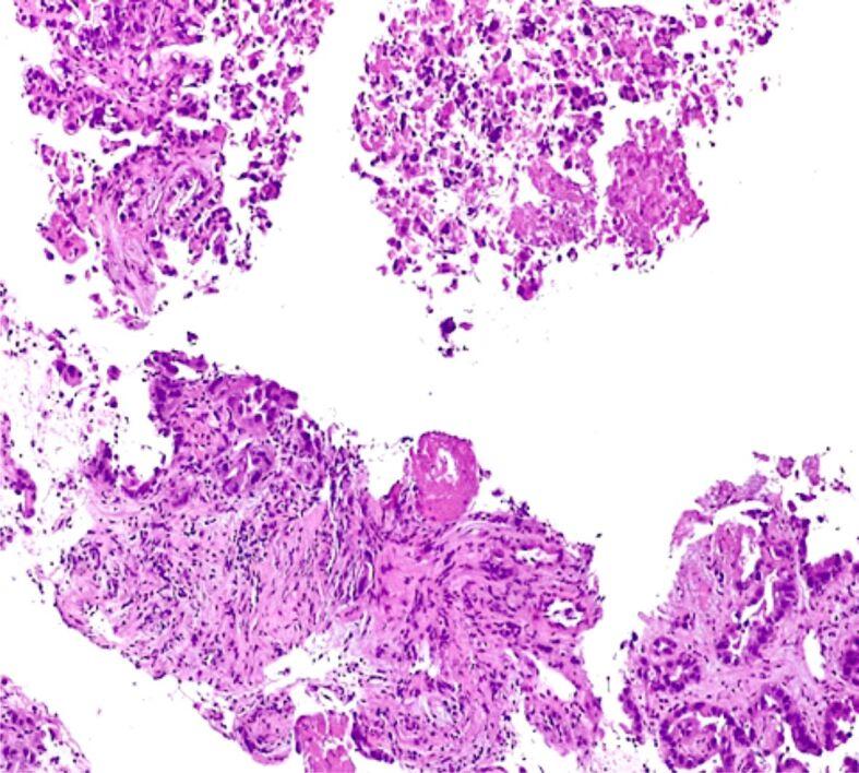
PATIENTS, MATERIALS AND METHODS: Inclusion criterion for this prospective study was identifying patients with pancreatic solid tumors, by means of imaging methods, from January 2018 to February 2020, within the Department of Gastroenterology, Emergency Clinical Hospital, Bucharest, Romania. All patients underwent EUS-FNB and the harvested tissue was sent to the Department of Pathology for histopathological (HP) diagnosis and IHC assessment if tumoral origin remained undetermined.

RESULTS

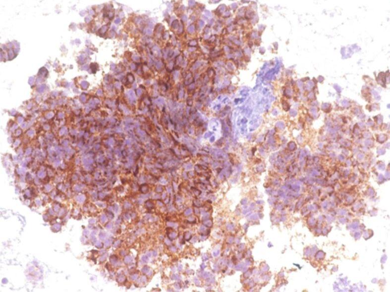
A total of 57 patients were ultimately selected to take part in our study. We performed immunohistochemical analysis based on the morphological diagnosis of the pancreatic tumors and assessed cytokeratin (CK)7, CK20, caudal type homeobox 2 (CDX2), MutL homolog 1 (MLH1), MutS homolog (MSH)2, MSH6, postmeiotic segregation 2 (PMS2) for all histopathologically uncertain pancreatic ductal adenocarcinoma (PDAC) and chromogranin A, synaptophysin, pan-CK AE1∕AE3 for pancreatic neuroendocrine tumors (pNETs). Cox hazard regression was performed to identify the factors influencing the survival rate. In univariate analysis, patient survival time was significantly associated with stage, location, surgical management and CK7 positivity. Our data show a statistically significant predictive relationship between stage (regional or metastatic) and hazard for survival (p=0.015). Tumoral location in the tail (p=0.015) and radicality surgery (p=0.015) significantly decrease the survival of pancreatic cancer (PAC) patients. The presence of CK7 (p=0.015) significantly increases the survival of pancreas cancer patients.

CONCLUSIONS

EUS-FNB has opened up a new path for pancreatic tumor diagnosis providing enough tissue for HP examination and IHC. A panel of several immunomarkers might aid in providing new therapies for PAC patients.

摘要

目的

本研究旨在介绍单个中心在可进行免疫组织化学(IHC)检测的胰腺实体肿瘤内镜超声细针活检(EUS-FNB)方面的经验。

患者、材料和方法:本前瞻性研究的纳入标准为 2018 年 1 月至 2020 年 2 月期间,通过影像学方法在罗马尼亚布加勒斯特紧急临床医院消化内科识别出胰腺实体肿瘤患者。所有患者均接受 EUS-FNB 检查,采集的组织送病理科进行组织病理学(HP)诊断和 IHC 评估,如果肿瘤来源仍不确定。

结果

共有 57 例患者最终入选本研究。我们根据胰腺肿瘤的形态学诊断进行免疫组织化学分析,并评估 CK7、CK20、尾型同源盒 2(CDX2)、MutL 同源物 1(MLH1)、MutS 同源物 2(MSH2)、MutS 同源物 6(MSH6)、减数分裂后 2(PMS2)对于所有组织学不确定的胰腺导管腺癌(PDAC)和嗜铬粒蛋白 A、突触素、pan-CK AE1∕AE3 对于胰腺神经内分泌肿瘤(pNET)。Cox 风险回归用于确定影响生存率的因素。在单因素分析中,患者生存时间与分期、部位、手术管理和 CK7 阳性显著相关。我们的数据显示,分期(区域性或转移性)与生存风险之间存在统计学上显著的预测关系(p=0.015)。肿瘤位于尾部(p=0.015)和根治性手术(p=0.015)显著降低胰腺癌(PAC)患者的生存率。CK7 阳性(p=0.015)显著增加了 PAC 患者的生存率。

结论

EUS-FNB 为胰腺肿瘤诊断开辟了新途径,为 HP 检查和 IHC 提供了足够的组织。一组多种免疫标志物可能有助于为 PAC 患者提供新的治疗方法。

https://cdn.ncbi.nlm.nih.gov/pmc/blobs/9117/9019676/470ac5a39523/RJME-62-3-723-fig1.jpg

文献AI研究员

20分钟写一篇综述,助力文献阅读效率提升50倍。

立即体验

用中文搜PubMed

大模型驱动的PubMed中文搜索引擎

马上搜索

文档翻译

学术文献翻译模型,支持多种主流文档格式。

立即体验