Instituto de Investigaciones Biomédicas Alberto Sols, CSIC-UAM, 28029 Madrid, Spain.
Centro de Investigación Biomédica en Red de Diabetes y Enfermedades Metabólicas Asociadas (CIBERDEM), 28029 Madrid, Spain.
Cells. 2022 Feb 24;11(5):793. doi: 10.3390/cells11050793.
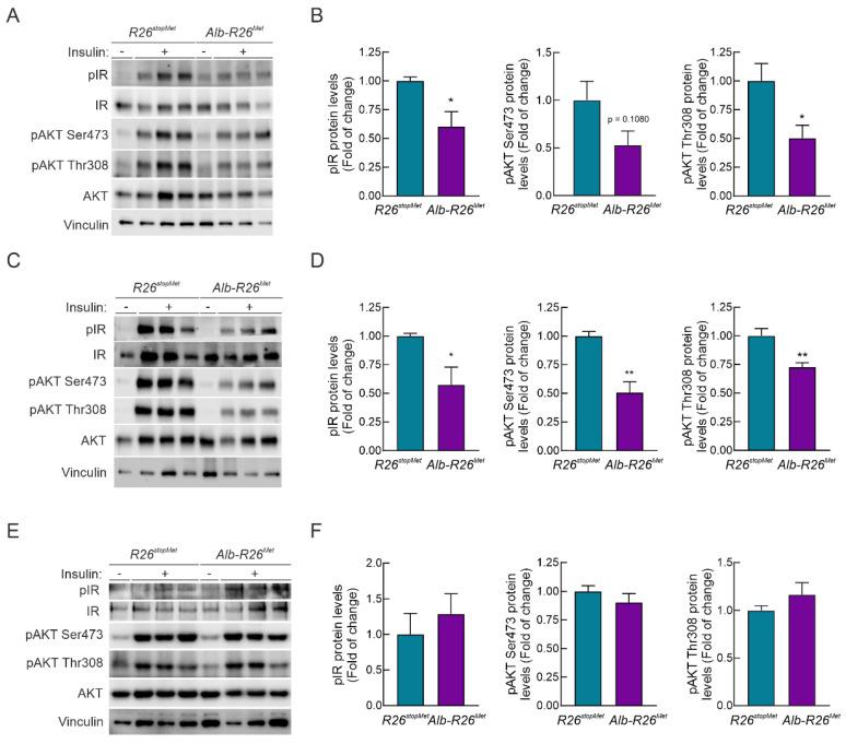
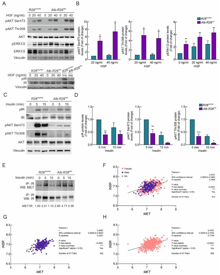
Compelling evidence points to the MET receptor tyrosine kinase as a key player during liver development and regeneration. Recently, a role of MET in the pathophysiology of insulin resistance and obesity is emerging. Herein, we aimed to determine whether MET regulates hepatic insulin sensitivity. To achieve this, mice in which the expression of wild-type MET in hepatocytes is slightly enhanced above endogenous levels ( mice) were analyzed to document glucose homeostasis, energy balance, and insulin signaling in hepatocytes. We found that mice exhibited higher body weight and food intake when compared to control mice. Metabolic analyses revealed that mice presented age-related glucose and pyruvate intolerance in comparison to controls. Additionally, in mice, high MET levels decreased insulin-induced insulin receptor (IR) and AKT phosphorylation compared to control mice. These results were corroborated in vitro by analyzing IR and AKT phosphorylation in primary mouse hepatocytes from and mice upon insulin stimulation. Moreover, co-immunoprecipitation assays revealed MET-IR interaction under both basal and insulin stimulation conditions; this effect was enhanced in hepatocytes. Altogether, our results indicate that enhanced MET levels alter hepatic glucose homeostasis, which can be an early event for subsequent liver pathologies.
有强有力的证据表明 MET 受体酪氨酸激酶在肝脏发育和再生过程中是一个关键的参与者。最近,MET 在胰岛素抵抗和肥胖症的病理生理学中的作用正在显现。在此,我们旨在确定 MET 是否调节肝脏胰岛素敏感性。为此,分析了肝细胞中野生型 MET 表达略微高于内源性水平(MET 增强小鼠)的小鼠,以记录肝细胞中的葡萄糖稳态、能量平衡和胰岛素信号。我们发现,与对照小鼠相比,MET 增强小鼠的体重和食物摄入量更高。代谢分析表明,与对照小鼠相比,MET 增强小鼠表现出与年龄相关的葡萄糖和丙酮酸不耐受。此外,在 MET 增强小鼠中,与对照小鼠相比,高 MET 水平降低了胰岛素诱导的胰岛素受体 (IR) 和 AKT 磷酸化。这些结果在体外通过分析来自 MET 增强和对照小鼠的原代小鼠肝细胞在胰岛素刺激下的 IR 和 AKT 磷酸化得到证实。此外,免疫共沉淀实验显示,在基础和胰岛素刺激条件下,MET-IR 相互作用增强;这种效应在 MET 增强的肝细胞中更为明显。总的来说,我们的结果表明,增强的 MET 水平改变了肝脏的葡萄糖稳态,这可能是随后肝脏病变的早期事件。