• 文献检索
  • 文档翻译
  • 深度研究
  • 学术资讯
  • Suppr Zotero 插件Zotero 插件
  • 邀请有礼
  • 套餐&价格
  • 历史记录
应用&插件
Suppr Zotero 插件Zotero 插件浏览器插件Mac 客户端Windows 客户端微信小程序
定价
高级版会员购买积分包购买API积分包
服务
文献检索文档翻译深度研究API 文档MCP 服务
关于我们
关于 Suppr公司介绍联系我们用户协议隐私条款
关注我们

Suppr 超能文献

核心技术专利:CN118964589B侵权必究
粤ICP备2023148730 号-1Suppr @ 2026

文献检索

告别复杂PubMed语法,用中文像聊天一样搜索,搜遍4000万医学文献。AI智能推荐,让科研检索更轻松。

立即免费搜索

文件翻译

保留排版,准确专业,支持PDF/Word/PPT等文件格式,支持 12+语言互译。

免费翻译文档

深度研究

AI帮你快速写综述,25分钟生成高质量综述,智能提取关键信息,辅助科研写作。

立即免费体验

磁共振成像在硅胶植入丰臀术中的临床应用:一项回顾性分析。

Clinical use of magnetic resonance imaging in buttock augmentation with silicone implants: a retrospective analysis.

作者信息

Zhang Jiaqi, Wong Chau Loon, Zhang Jian, Su Zheng, Shi Fen, Chen Chen, Wang Yongzhen, Xiao Xiaolian, Liang Weiqiang, Zhang Jinming

机构信息

Department of Plastic Surgery, Sun Yat-sen Memorial Hospital, Sun Yat-sen University, Guangzhou, China.

出版信息

Ann Transl Med. 2022 Feb;10(4):221. doi: 10.21037/atm-22-376.

DOI:10.21037/atm-22-376
PMID:35280391
原文链接:https://pmc.ncbi.nlm.nih.gov/articles/PMC8908179/
Abstract

BACKGROUND

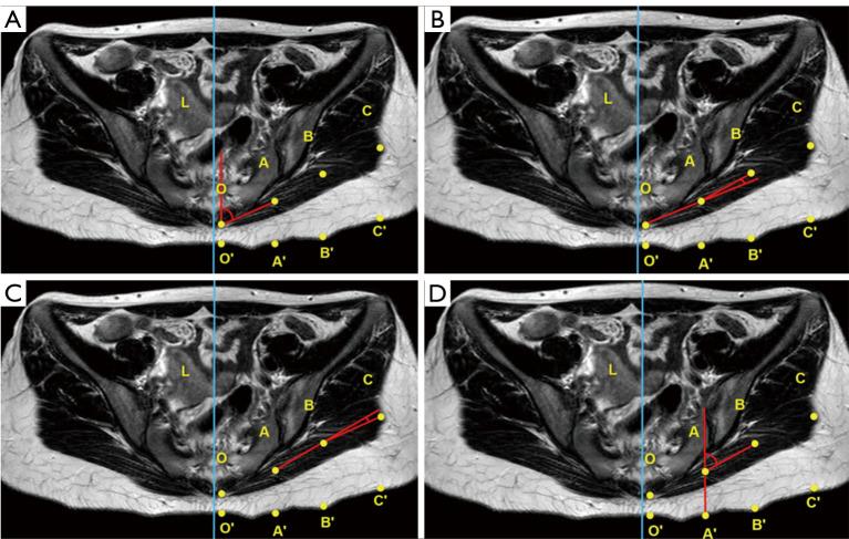
The objective of the current study was to retrospectively examine the morphological magnetic resonance imaging (MRI) characteristics of the gluteus maximus of buttock augmentation at levels of predetermined anatomic points.

METHODS

The present study was a retrospective cross-sectional study. Adult women who underwent high-quality MRI scanning at Sun Yat-sen Memorial Hospital of Sun Yat-sen University from January 2018 to January 2021 were included in this work. The transverse MRI data measured at the inferior point of the sacroiliac joint, just above the femoral head, and at the ischial tuberosity were collected and statistically analyzed.

RESULTS

Fifty-two cases (104 sides of female gluteus maximus) were included in the final analysis. The A point (surgery starting point) were 54.4±6.34 mm, 54.91±5.57 mm, and 73.91±5.57 mm away from the posterior midline at the level of inferior point of the sacroiliac joint, just above the femoral head, and at the ischial tuberosity, respectively. Accordingly, the thickness of the muscle at these locations was 16.0±4.17 mm, 23.4±4.40 mm, and 24.6±7.58 mm, respectively. The diameter of the implant did not exceed 14.18±1.22 cm. In addition, the gluteus maximus at the lowest point of the sacroiliac joint and above the femoral head exhibited an arc structure, which needs to be tilted to the deep plane during separation.

CONCLUSIONS

Dissimilar from previous experience of blind dissection, the gluteus maximus muscle can be more scientifically and reasonably dissected using the indexes for gluteus augmentation supplied in this study.

摘要

背景

本研究的目的是回顾性地研究在预定解剖点水平下用于臀部增大的臀大肌的形态磁共振成像(MRI)特征。

方法

本研究为回顾性横断面研究。纳入了2018年1月至2021年1月在中山大学孙逸仙纪念医院接受高质量MRI扫描的成年女性。收集在骶髂关节下点、股骨头上方和坐骨结节处测量的横向MRI数据并进行统计分析。

结果

最终分析纳入了52例(104侧女性臀大肌)。A点(手术起始点)在骶髂关节下点、股骨头上方和坐骨结节水平分别距离后正中线54.4±6.34mm、54.91±5.57mm和73.91±5.57mm。相应地,这些位置的肌肉厚度分别为16.0±4.17mm、23.4±4.40mm和24.6±7.58mm。植入物直径不超过14.18±1.22cm。此外,骶髂关节最低点和股骨头上方的臀大肌呈弧形结构,分离时需要向深层平面倾斜。

结论

与以往的盲目解剖经验不同,利用本研究提供的臀部增大指标,可以更科学合理地解剖臀大肌。

https://cdn.ncbi.nlm.nih.gov/pmc/blobs/ef64/8908179/aa986a73f3df/atm-10-04-221-f6.jpg
https://cdn.ncbi.nlm.nih.gov/pmc/blobs/ef64/8908179/a64a93c1b7bb/atm-10-04-221-f1.jpg
https://cdn.ncbi.nlm.nih.gov/pmc/blobs/ef64/8908179/c288e5d218c1/atm-10-04-221-f2.jpg
https://cdn.ncbi.nlm.nih.gov/pmc/blobs/ef64/8908179/759f281726e2/atm-10-04-221-f3.jpg
https://cdn.ncbi.nlm.nih.gov/pmc/blobs/ef64/8908179/b4c73042f8d9/atm-10-04-221-f4.jpg
https://cdn.ncbi.nlm.nih.gov/pmc/blobs/ef64/8908179/0734ab1a0549/atm-10-04-221-f5.jpg
https://cdn.ncbi.nlm.nih.gov/pmc/blobs/ef64/8908179/aa986a73f3df/atm-10-04-221-f6.jpg
https://cdn.ncbi.nlm.nih.gov/pmc/blobs/ef64/8908179/a64a93c1b7bb/atm-10-04-221-f1.jpg
https://cdn.ncbi.nlm.nih.gov/pmc/blobs/ef64/8908179/c288e5d218c1/atm-10-04-221-f2.jpg
https://cdn.ncbi.nlm.nih.gov/pmc/blobs/ef64/8908179/759f281726e2/atm-10-04-221-f3.jpg
https://cdn.ncbi.nlm.nih.gov/pmc/blobs/ef64/8908179/b4c73042f8d9/atm-10-04-221-f4.jpg
https://cdn.ncbi.nlm.nih.gov/pmc/blobs/ef64/8908179/0734ab1a0549/atm-10-04-221-f5.jpg
https://cdn.ncbi.nlm.nih.gov/pmc/blobs/ef64/8908179/aa986a73f3df/atm-10-04-221-f6.jpg

相似文献

1
Clinical use of magnetic resonance imaging in buttock augmentation with silicone implants: a retrospective analysis.磁共振成像在硅胶植入丰臀术中的临床应用:一项回顾性分析。
Ann Transl Med. 2022 Feb;10(4):221. doi: 10.21037/atm-22-376.
2
Appropriate sites for the measurement of the cross-sectional area of the gluteus maximus and the gluteus medius muscles in patients with hip osteoarthritis.髋关节骨关节炎患者臀大肌和臀中肌横截面积测量的合适部位。
Surg Radiol Anat. 2021 Jan;43(1):45-52. doi: 10.1007/s00276-020-02535-2. Epub 2020 Jul 17.
3
Investigation on the measurement sites of the cross-sectional areas of the gluteus maximus and gluteus medius.臀大肌和臀中肌横截面积测量部位的研究。
Surg Radiol Anat. 2019 Jan;41(1):109-115. doi: 10.1007/s00276-018-2099-9. Epub 2018 Sep 6.
4
Long-Term Aesthetic and Functional Evaluation of Intramuscular Augmentation Gluteoplasty with Implants.肌肉内注射隆臀术的长期美学和功能评估。
Plast Reconstr Surg. 2023 Jan 1;151(1):40e-46e. doi: 10.1097/PRS.0000000000009792. Epub 2022 Oct 7.
5
Commentary on: "Gluteal Augmentation with Silicone Implants: A New Proposal for Intramuscular Dissection".关于《硅胶植入物丰臀术:肌内解剖的新建议》的评论
Aesthetic Plast Surg. 2017 Oct;41(5):1146-1147. doi: 10.1007/s00266-017-0834-y. Epub 2017 Apr 3.
6
[The gluteus maximus inferior split-muscle flap for the cover of ischiatic pressure ulcers: Study of 61 cases].臀大肌下部分肌瓣修复坐骨压力性溃疡:61例研究
Ann Chir Plast Esthet. 2016 Dec;61(6):845-852. doi: 10.1016/j.anplas.2016.08.004. Epub 2016 Sep 22.
7
Volume of Gluteus Maximus and Minimus Increases After Hip Arthroscopy for Femoroacetabular Impingement Syndrome.臀大肌和臀小肌体积在髋关节镜治疗股骨髋臼撞击综合征后增加。
Arthroscopy. 2021 Mar;37(3):862-870. doi: 10.1016/j.arthro.2020.10.049. Epub 2021 Jan 29.
8
The inferior gluteal nerve often has a cutaneous branch: A discovery with application to hip surgery and targeting gluteal pain syndromes.臀下神经通常有一支皮支:一项对髋关节手术及臀区疼痛综合征靶向治疗有应用价值的发现。
Clin Anat. 2018 Sep;31(6):937-941. doi: 10.1002/ca.23232. Epub 2018 Oct 18.
9
Commentary: Gluteal Augmentation with Silicone Implants: A New Proposal for Intramuscular Dissection.评论:硅胶植入物丰臀术:肌内剥离的新建议。
Aesthetic Plast Surg. 2017 Oct;41(5):1148-1149. doi: 10.1007/s00266-017-0887-y. Epub 2017 May 9.
10
Buttock augmentation with solid silicone implants.臀部固体硅胶假体隆臀术。
Aesthet Surg J. 2011 Mar;31(3):320-7. doi: 10.1177/1090820X10396701. Epub 2011 Feb 23.

本文引用的文献

1
Appropriate sites for the measurement of the cross-sectional area of the gluteus maximus and the gluteus medius muscles in patients with hip osteoarthritis.髋关节骨关节炎患者臀大肌和臀中肌横截面积测量的合适部位。
Surg Radiol Anat. 2021 Jan;43(1):45-52. doi: 10.1007/s00276-020-02535-2. Epub 2020 Jul 17.
2
Tridimensional Combined Gluteoplasty: Liposuction, Buttock Implants, and Fat Transfer.三维综合臀成形术:吸脂术、臀部植入物和脂肪转移。
Plast Reconstr Surg. 2020 Jul;146(1):53-63. doi: 10.1097/PRS.0000000000006918.
3
Composite Buttock Augmentation: The Next Frontier in Gluteal Aesthetic Surgery.
复合臀隆术:臀整形美容外科学的下一个前沿领域。
Plast Reconstr Surg. 2019 Dec;144(6):1312-1321. doi: 10.1097/PRS.0000000000006244.
4
Investigation on the measurement sites of the cross-sectional areas of the gluteus maximus and gluteus medius.臀大肌和臀中肌横截面积测量部位的研究。
Surg Radiol Anat. 2019 Jan;41(1):109-115. doi: 10.1007/s00276-018-2099-9. Epub 2018 Sep 6.
5
Intramuscular Gluteal Augmentation: The XYZ Method.臀肌肌内填充:XYZ方法。
Clin Plast Surg. 2018 Apr;45(2):217-223. doi: 10.1016/j.cps.2017.12.006.
6
Intramuscular Gluteal Augmentation with Implants Associated with Immediate Fat Grafting.植入物联合即刻脂肪移植的臀肌肌内增大术
Clin Plast Surg. 2018 Apr;45(2):203-215. doi: 10.1016/j.cps.2017.12.004.
7
Gluteal Augmentation with Silicone Implants: A New Proposal for Intramuscular Dissection.臀肌隆乳术:一种新的肌内解剖方法。
Aesthetic Plast Surg. 2017 Aug;41(4):872-877. doi: 10.1007/s00266-017-0823-1. Epub 2017 Feb 23.
8
Gluteal Augmentation Techniques: A Comprehensive Literature Review.臀肌增大技术:一项全面的文献综述。
Aesthet Surg J. 2017 May 1;37(5):560-569. doi: 10.1093/asj/sjw240.
9
Validity of muscle thickness-based prediction equation for quadriceps femoris volume in middle-aged and older men and women.基于肌肉厚度的股四头肌体积预测方程在中老年男性和女性中的有效性。
Eur J Appl Physiol. 2016 Dec;116(11-12):2125-2133. doi: 10.1007/s00421-016-3464-1. Epub 2016 Sep 2.
10
Body Contouring.身体塑形
Plast Reconstr Surg. 2016 Nov;138(5):944e-945e. doi: 10.1097/PRS.0000000000002724.