Suppr超能文献

手术切除后长期使用地诺单抗治疗后C2椎体巨细胞瘤快速复发

Rapid Recurrence of Giant Cell Tumour of C2 Vertebra After Long-Term Denosumab Following Surgical Resection.

作者信息

Bansal Kuldeep, Singh Sumedha, Mallepally Abhinandan R, Shahi Pratyush

机构信息

Orthopedics, Indian Spinal Injuries Center, Delhi, IND.

Radiology, Institute of Medical Sciences and SUM Hospital, Siksha 'O' Anusandhan University, Bhubaneswar, IND.

出版信息

Cureus. 2022 Feb 7;14(2):e22000. doi: 10.7759/cureus.22000. eCollection 2022 Feb.

Abstract

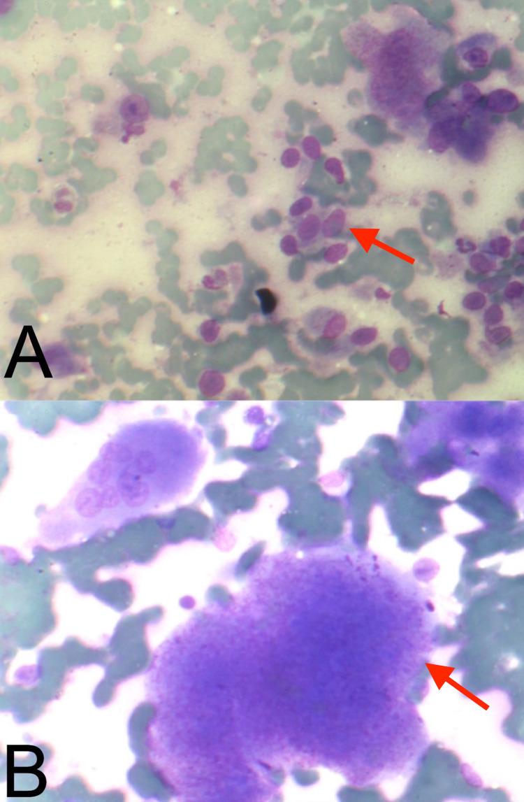
A 25-year-old man presented with symptoms of cervical myelopathy for 10 days. Imaging revealed an expansile, lytic lesion involving the C2 vertebra completely and compressing the spinal cord, suggestive of giant cell tumor (GCT). Tumor resection and posterior stabilization from C1-C4 were done. Histopathology confirmed the diagnosis of GCT. The patient was kept on adjuvant Denosumab (D-ab) for two years with no signs of recurrence. However, discontinuation of D-ab therapy led to recurrence of the tumor within three months, which was managed with repeated surgical resection and anterior instrumentation followed by radiotherapy. To the best of our knowledge, this is the first reported case of GCT involving the upper cervical spine with rapid recurrence following the stoppage of D-ab therapy.

摘要

一名25岁男性出现颈髓病症状10天。影像学检查显示一个膨胀性溶骨性病变,完全累及C2椎体并压迫脊髓,提示为骨巨细胞瘤(GCT)。进行了肿瘤切除及C1 - C4后路固定术。组织病理学确诊为GCT。患者接受辅助地诺单抗(D - ab)治疗两年,无复发迹象。然而,停用D - ab治疗后三个月内肿瘤复发,通过再次手术切除及前路内固定,随后进行放疗进行处理。据我们所知,这是首例报道的累及上颈椎的GCT在停用D - ab治疗后快速复发的病例。

https://cdn.ncbi.nlm.nih.gov/pmc/blobs/be61/8906507/72b0aa01aa2f/cureus-0014-00000022000-i01.jpg

文献AI研究员

20分钟写一篇综述,助力文献阅读效率提升50倍。

立即体验

用中文搜PubMed

大模型驱动的PubMed中文搜索引擎

马上搜索

文档翻译

学术文献翻译模型,支持多种主流文档格式。

立即体验