Suppr超能文献

内镜超声引导下纵隔淋巴结病变采样的结果

Outcome of Endoscopic Ultrasound-Guided Sampling of Mediastinal Lymphadenopathy.

作者信息

Park Tae Young, Moon Jeong Seop

机构信息

Division of Gastroenterology, Chung-Ang University College of Medicine, Seoul, Republic of Korea.

Department of Internal Medicine, Inje University Seoul Paik Hospital, Seoul, Republic of Korea.

出版信息

Gastroenterol Res Pract. 2022 Mar 7;2022:4486241. doi: 10.1155/2022/4486241. eCollection 2022.

Abstract

METHODS

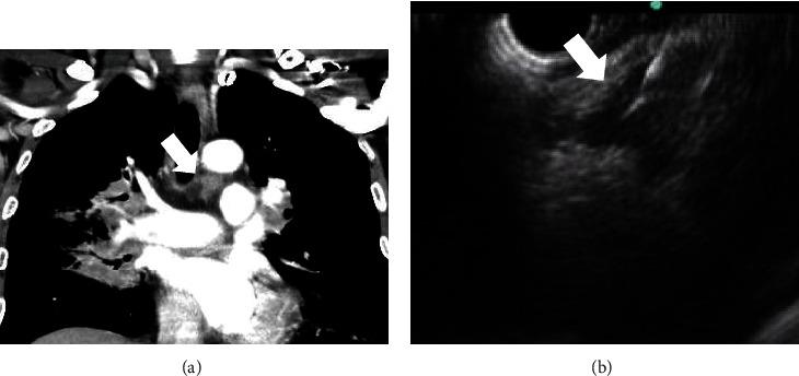
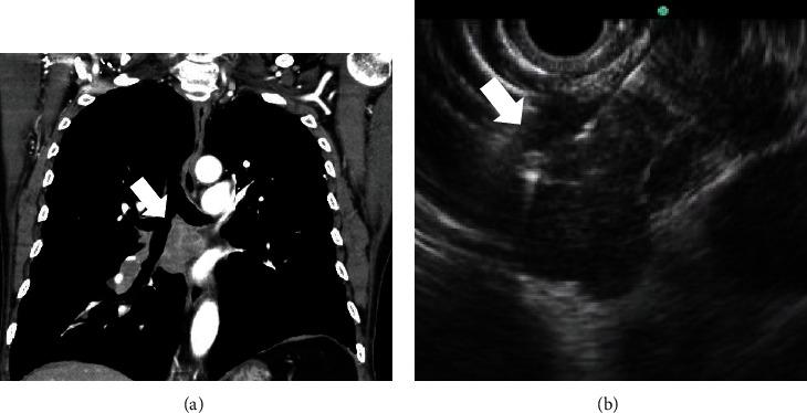
From May 2006 to January 2017, patients with mediastinal lymphadenopathy, who received an EUS-guided trucut biopsy or an FNA biopsy, were retrospectively reviewed. Demographic data, endosonographic characteristics of LNs including size, shape, border, echotexture, and echogenicity, diagnostic yield, and adverse events between the trucut needle group and aspiration needle group were compared.

RESULTS

A total of 69 patients (trucut group, = 33 vs. aspiration group, = 36) were identified. There were no significant differences in demographic data, indication for an EUS-guided biopsy, location of LNs, number of needle passes, and endosonographic features of LNs between the two groups. The sizes of LNs were larger in the trucut group than in the aspiration group (28.9 ± 14.0 mm vs. 21.1 ± 8.8 mm, = 0.007). However, there was no significant difference in the ratio of LNs that were ≥10 mm in both groups. The overall accuracy of the EUS-guided biopsy for the diagnosis of malignant lesions was 79.7% (55/69). There were no significant differences in the histological diagnostic yield of malignant LNs between the two groups. There were no significant procedure-related adverse events in both groups.

CONCLUSION

The EUS-guided biopsy can be a useful method for histologic evaluation of mediastinal nodal lesions.

摘要

方法

回顾性分析2006年5月至2017年1月期间接受超声内镜引导下切割活检或细针穿刺活检的纵隔淋巴结肿大患者。比较两组患者的人口统计学数据、淋巴结的内镜超声特征(包括大小、形状、边界、回声纹理和回声强度)、诊断率及不良事件。

结果

共纳入69例患者(切割针组33例,穿刺针组36例)。两组患者的人口统计学数据、超声内镜引导活检的适应证、淋巴结位置、穿刺针数及淋巴结的内镜超声特征均无显著差异。切割针组淋巴结大小大于穿刺针组(28.9±14.0mm对21.1±8.8mm,P=0.007)。然而,两组中直径≥10mm的淋巴结比例无显著差异。超声内镜引导活检诊断恶性病变的总体准确率为79.7%(55/69)。两组间恶性淋巴结的组织学诊断率无显著差异。两组均无与操作相关的严重不良事件。

结论

超声内镜引导活检可作为纵隔淋巴结病变组织学评估的一种有用方法。

https://cdn.ncbi.nlm.nih.gov/pmc/blobs/1678/8920674/98cabdc23be1/GRP2022-4486241.001.jpg

文献AI研究员

20分钟写一篇综述,助力文献阅读效率提升50倍。

立即体验

用中文搜PubMed

大模型驱动的PubMed中文搜索引擎

马上搜索

文档翻译

学术文献翻译模型,支持多种主流文档格式。

立即体验