• 文献检索
  • 文档翻译
  • 深度研究
  • 学术资讯
  • Suppr Zotero 插件Zotero 插件
  • 邀请有礼
  • 套餐&价格
  • 历史记录
应用&插件
Suppr Zotero 插件Zotero 插件浏览器插件Mac 客户端Windows 客户端微信小程序
定价
高级版会员购买积分包购买API积分包
服务
文献检索文档翻译深度研究API 文档MCP 服务
关于我们
关于 Suppr公司介绍联系我们用户协议隐私条款
关注我们

Suppr 超能文献

核心技术专利:CN118964589B侵权必究
粤ICP备2023148730 号-1Suppr @ 2026

文献检索

告别复杂PubMed语法,用中文像聊天一样搜索,搜遍4000万医学文献。AI智能推荐,让科研检索更轻松。

立即免费搜索

文件翻译

保留排版,准确专业,支持PDF/Word/PPT等文件格式,支持 12+语言互译。

免费翻译文档

深度研究

AI帮你快速写综述,25分钟生成高质量综述,智能提取关键信息,辅助科研写作。

立即免费体验

颅咽管瘤与颅纤维结构不良共存:临床病理研究的病例系列。

Coexistence of craniopharyngioma and cranial fibrous dysplasia: a case series of clinicopathological study.

机构信息

Department of Neurosurgery, Beijing Tiantan Hospital, Capital Medical University, No.119, the South Fourth Ring West Road, Fengtai District, Beijing, 100070, China.

出版信息

Orphanet J Rare Dis. 2022 Mar 18;17(1):126. doi: 10.1186/s13023-022-02281-1.

DOI:10.1186/s13023-022-02281-1
PMID:35303908
原文链接:https://pmc.ncbi.nlm.nih.gov/articles/PMC8932149/
Abstract

BACKGROUND

Craniopharyngioma (CP) and cranial fibrous dysplasia (CFD) are rare embryonic benign cranial diseases that most commonly present during childhood or adolescence. The coexistence of CP and CFD is extremely rare and has not yet been reported.

METHODS

We retrospectively reviewed the data of five patients with concomitant CP and CFD treated at Beijing Tiantan Hospital from January 2003 to January 2021 and summarized their clinicopathological features, treatment modalities, and outcomes. We also performed a comprehensive literature review, tested the patients for characteristic GNAS gene mutations related to CFD, and tested the CP specimens for corresponding Gsα protein to explore the potential connection leading to the coexistence of CP and CFD.

RESULTS

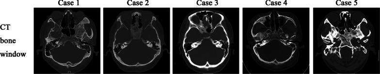
The cohort comprised four men and one woman (median age, 39 years). The symptoms mainly included headache, dizziness, fatigue, polyuria/polydipsia, hypogonadism, and blurred vision. CFD most commonly involved the sphenoid bone (n = 4). Four patients underwent surgery to remove the CP (one trans-sphenoidal and three transcranial resections); complete and subtotal resection were achieved in two patients, respectively. The tumor subtype was adamantinomatous in three patients and unknown in one. The common postoperative complications were panhypopituitarism, diabetes insipidus, and hypothyroidism. The mean follow-up duration was 57.2 months. Two patients required postoperative hormone replacement therapy. Three patients underwent genetic study of the tumor specimens; GNAS mutations were not detected, but these patients were positive for Gsα protein.

CONCLUSIONS

Although a definite causative relationship has not been proved, the coexistence of CP and CFD means that potential interplay or an atypical fibrous dysplasia course as uncommon manifestations of CP cannot be excluded. It is more challenging to initiate prompt diagnosis and appropriate treatment for concomitant CP and CFD than for solitary CP because of skull base deformations. Current management strategies are aimed at surgical treating the CP and regularly monitoring the CFD.

摘要

背景

颅咽管瘤(CP)和颅纤维结构不良(CFD)是罕见的胚胎良性颅部疾病,最常见于儿童或青少年期发病。CP 和 CFD 同时存在极为罕见,尚未见报道。

方法

我们回顾性分析了 2003 年 1 月至 2021 年 1 月期间在北京天坛医院接受治疗的 5 例 CP 和 CFD 共存患者的临床病理资料,总结了其临床病理特征、治疗方式及转归。我们还进行了全面的文献回顾,对患者进行了与 CFD 相关的特征性 GNAS 基因突变检测,并对 CP 标本进行了相应的 Gsα 蛋白检测,以探讨导致 CP 和 CFD 共存的潜在联系。

结果

该队列包括 4 例男性和 1 例女性(中位年龄,39 岁)。症状主要包括头痛、头晕、乏力、多尿/多饮、性腺功能减退和视力模糊。CFD 最常累及蝶骨(n = 4)。4 例患者接受手术切除 CP(1 例经蝶窦入路,3 例开颅手术);2 例患者分别达到全切和次全切除。肿瘤亚型 3 例为造釉细胞瘤型,1 例为未分类。常见的术后并发症包括全垂体功能减退、尿崩症和甲状腺功能减退。中位随访时间为 57.2 个月。2 例患者术后需要激素替代治疗。3 例患者对肿瘤标本进行了遗传研究;未发现 GNAS 突变,但这些患者的 Gsα 蛋白阳性。

结论

虽然尚未证明存在明确的因果关系,但 CP 和 CFD 同时存在意味着不能排除潜在的相互作用或作为 CP 不常见表现的非典型纤维结构不良过程。由于颅底畸形,与单纯 CP 相比,CP 和 CFD 同时存在更难以及时诊断和进行适当治疗。目前的治疗策略是手术治疗 CP,并定期监测 CFD。

https://cdn.ncbi.nlm.nih.gov/pmc/blobs/138c/8932149/c3a5fe07a127/13023_2022_2281_Fig4_HTML.jpg
https://cdn.ncbi.nlm.nih.gov/pmc/blobs/138c/8932149/13908ba57c3b/13023_2022_2281_Fig1_HTML.jpg
https://cdn.ncbi.nlm.nih.gov/pmc/blobs/138c/8932149/43b97a3cf442/13023_2022_2281_Fig2_HTML.jpg
https://cdn.ncbi.nlm.nih.gov/pmc/blobs/138c/8932149/cb12f4c93ff7/13023_2022_2281_Fig3_HTML.jpg
https://cdn.ncbi.nlm.nih.gov/pmc/blobs/138c/8932149/c3a5fe07a127/13023_2022_2281_Fig4_HTML.jpg
https://cdn.ncbi.nlm.nih.gov/pmc/blobs/138c/8932149/13908ba57c3b/13023_2022_2281_Fig1_HTML.jpg
https://cdn.ncbi.nlm.nih.gov/pmc/blobs/138c/8932149/43b97a3cf442/13023_2022_2281_Fig2_HTML.jpg
https://cdn.ncbi.nlm.nih.gov/pmc/blobs/138c/8932149/cb12f4c93ff7/13023_2022_2281_Fig3_HTML.jpg
https://cdn.ncbi.nlm.nih.gov/pmc/blobs/138c/8932149/c3a5fe07a127/13023_2022_2281_Fig4_HTML.jpg

相似文献

1
Coexistence of craniopharyngioma and cranial fibrous dysplasia: a case series of clinicopathological study.颅咽管瘤与颅纤维结构不良共存:临床病理研究的病例系列。
Orphanet J Rare Dis. 2022 Mar 18;17(1):126. doi: 10.1186/s13023-022-02281-1.
2
Coexistence of meningioma and craniofacial fibrous dysplasia: a case series of clinicopathological study and literature review.脑膜瘤与颅面骨纤维发育不良并存:临床病理研究病例系列及文献综述
Orphanet J Rare Dis. 2024 Jan 30;19(1):30. doi: 10.1186/s13023-024-03032-0.
3
Intracranial Dermoid in Patients With Fibrous Dysplasia.纤维发育异常患者的颅内皮样囊肿
J Craniofac Surg. 2023;34(5):e415-e419. doi: 10.1097/SCS.0000000000009166. Epub 2023 Jan 23.
4
Harvey Cushing's craniopharyngioma treatment: Part 1. Identification and clinicopathological characterization of this challenging pituitary tumor.哈维·库欣的颅咽管瘤治疗:第 1 部分。这种具有挑战性的垂体肿瘤的识别和临床病理特征。
J Neurosurg. 2018 Oct 5;131(3):949-963. doi: 10.3171/2018.5.JNS18153. Print 2019 Sep 1.
5
Postoperative hypothalamic-pituitary dysfunction and long-term hormone replacement in patients with childhood-onset craniopharyngioma.儿童期颅咽管瘤患者术后的下丘脑-垂体功能障碍与长期激素替代治疗。
Front Endocrinol (Lausanne). 2023 Nov 6;14:1241145. doi: 10.3389/fendo.2023.1241145. eCollection 2023.
6
Long-term results of the surgical treatment of craniopharyngioma: the experience at the Policlinico Gemelli, Catholic University, Rome.颅咽管瘤手术治疗的长期结果:罗马天主教大学圣心医院的经验
Childs Nerv Syst. 2005 Aug;21(8-9):747-57. doi: 10.1007/s00381-005-1186-5. Epub 2005 Jul 2.
7
Outcome of Radical Surgical Resection for Craniopharyngioma with Hypothalamic Preservation: A Single-Center Retrospective Study of 1054 Patients.保留下丘脑的颅咽管瘤根治性手术切除结果:一项对1054例患者的单中心回顾性研究
World Neurosurg. 2017 Jun;102:167-180. doi: 10.1016/j.wneu.2017.02.095. Epub 2017 Feb 28.
8
Coexistence of craniopharyngioma and meningioma: Two rare cases and literature review.颅咽管瘤和脑膜瘤共存:两例罕见病例并文献复习。
Medicine (Baltimore). 2020 Dec 11;99(50):e23183. doi: 10.1097/MD.0000000000023183.
9
Infrasellar craniopharyngioma.鞍下颅咽管瘤
Clin Neurol Neurosurg. 2012 Feb;114(2):112-9. doi: 10.1016/j.clineuro.2011.09.010. Epub 2011 Oct 21.
10
Prevalence of Endocrine and Metabolic Comorbidities in a National Cohort of Patients with Craniopharyngioma.颅咽管瘤患者的内分泌和代谢合并症的患病率:一项全国性队列研究。
Horm Res Paediatr. 2020;93(1):46-57. doi: 10.1159/000507702. Epub 2020 May 27.

本文引用的文献

1
Collision of Craniopharyngioma and Pituitary Adenoma: Comprehensive Review of an Extremely Rare Sellar Condition.颅咽管瘤与垂体腺瘤的碰撞:对一种极其罕见鞍区情况的综合回顾。
World Neurosurg. 2021 May;149:e51-e62. doi: 10.1016/j.wneu.2021.02.091. Epub 2021 Feb 26.
2
Coexistence of craniopharyngioma and meningioma: Two rare cases and literature review.颅咽管瘤和脑膜瘤共存:两例罕见病例并文献复习。
Medicine (Baltimore). 2020 Dec 11;99(50):e23183. doi: 10.1097/MD.0000000000023183.
3
Biological Behaviour of Craniopharyngiomas.颅咽管瘤的生物学行为。
Neuroendocrinology. 2020;110(9-10):797-804. doi: 10.1159/000506904. Epub 2020 Mar 4.
4
The Clinical Spectrum of McCune-Albright Syndrome and Its Management.《McCune-Albright 综合征的临床特征及其治疗》
Horm Res Paediatr. 2019;92(6):347-356. doi: 10.1159/000504802. Epub 2019 Dec 19.
5
Advances in the management of craniopharyngioma in children and adults.儿童和成人颅咽管瘤的治疗进展。
Radiol Oncol. 2019 Oct 25;53(4):388-396. doi: 10.2478/raon-2019-0036.
6
Malignant transformation of craniofacial fibrous dysplasia: a systematic review of overall survival.颅面部纤维结构不良恶性转化:总生存的系统评价。
Neurosurg Rev. 2020 Jun;43(3):911-921. doi: 10.1007/s10143-019-01089-1. Epub 2019 Feb 27.
7
Age-Related Changes and Effects of Bisphosphonates on Bone Turnover and Disease Progression in Fibrous Dysplasia of Bone.骨纤维异常增殖症中骨转换和疾病进展的年龄相关变化及双膦酸盐的作用
J Bone Miner Res. 2019 Apr;34(4):653-660. doi: 10.1002/jbmr.3649. Epub 2019 Jan 15.
8
Clinical and Radiographic Gastrointestinal Abnormalities in McCune-Albright Syndrome.临床与影像学胃肠道异常在 McCune-Albright 综合征。
J Clin Endocrinol Metab. 2018 Nov 1;103(11):4293-4303. doi: 10.1210/jc.2018-01022.
9
Increased Risk of Breast Cancer at a Young Age in Women with Fibrous Dysplasia.年轻女性纤维发育不良增加乳腺癌风险。
J Bone Miner Res. 2018 Jan;33(1):84-90. doi: 10.1002/jbmr.3286. Epub 2017 Sep 20.
10
Exome sequencing identifies BRAF mutations in papillary craniopharyngiomas.外显子组测序发现 BRAF 突变存在于颅咽管瘤中。
Nat Genet. 2014 Feb;46(2):161-5. doi: 10.1038/ng.2868. Epub 2014 Jan 12.