Bhat Ishrat Parveiz, Rather Tahseen Bilal, Maqbool Irfan, Rashid Gowhar, Akhtar Kulsum, Bhat Gulzar A, Parray Fazl Q, Syed Besina, Khan Ishrat Younas, Kazi Mohsin, Hussain Muhammad D, Syed Mudassar
Department of Clinical Biochemistry, Sher-I-Kashmir Institute of Medical Sciences, Srinagar 190011, Jammu and Kashmir, India.
Department of General Surgery, Sher-I-Kashmir Institute of Medical Sciences, Srinagar 190011, Jammu and Kashmir, India.
World J Gastroenterol. 2022 Feb 7;28(5):547-569. doi: 10.3748/wjg.v28.i5.547.
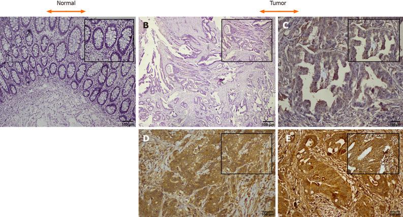
Connective tissue growth factor (CTGF) is a mediator of transforming growth factor-beta signaling and plays a key role in connective tissue remodeling, inflammatory processes and fibrosis in various illnesses including cancer.
To investigate the role of CTGF in colorectal cancer (CRC) progression and to compare the CTGF expression with different clinicopathological parameters.
Real-time polymerase chain reaction, immunohistochemistry and Western blotting was performed to evaluate the CTGF expression and the results were statistically analyzed against the clinicopathological variables of patient data using STATA software version 16.
CTGF expression levels in tumor specimens were significantly higher than their paired normal specimens. The higher protein expression levels showed a significant association with smoking, staging, tumor grade, invasion depth, necrosis of tumor tissue, and both lymphovascular and perineural invasion. As the cox regression model and classification tree analysis, tumor-node-metastasis stage and perineural invasion were important predictors for CTGF expression and prognosis of CRC patients. Survival analysis indicated that CTGF overexpression was associated with poorer overall and disease-free survival.
Expression of CTGF was increased in CRC and was linked with poor overall and disease-free survival of CRC patients. These findings support prior observations and thus CTGF may be a possible prognostic marker in CRC.
结缔组织生长因子(CTGF)是转化生长因子-β信号传导的介质,在包括癌症在内的各种疾病的结缔组织重塑、炎症过程和纤维化中起关键作用。
研究CTGF在结直肠癌(CRC)进展中的作用,并比较CTGF表达与不同临床病理参数的关系。
采用实时聚合酶链反应、免疫组织化学和蛋白质印迹法评估CTGF表达,并使用STATA软件16版对患者数据的临床病理变量进行统计分析。
肿瘤标本中CTGF表达水平显著高于其配对的正常标本。较高的蛋白表达水平与吸烟、分期、肿瘤分级、浸润深度、肿瘤组织坏死以及淋巴管和神经周围浸润显著相关。作为Cox回归模型和分类树分析,肿瘤-淋巴结-转移分期和神经周围浸润是CRC患者CTGF表达和预后的重要预测指标。生存分析表明,CTGF过表达与较差的总生存率和无病生存率相关。
CTGF在CRC中表达增加,与CRC患者较差的总生存率和无病生存率相关。这些发现支持先前的观察结果,因此CTGF可能是CRC中一种可能的预后标志物。