Suppr超能文献

肛周巨大胚胎性横纹肌肉瘤伴全身多处严重骨转移:一例报告

Gross perianal embryonal rhabdomyosarcoma with severe multiple bone metastases throughout the body: a case report.

作者信息

Lu Jing-Jing, Chen Min-Bin, Gao Xiao-Jiao, Zhang Yan, Liu Yuan-Yuan, Yong Yang, Li Ping

机构信息

Department of Oncology, Affiliated Kunshan Hospital of Jiangsu University, Kunshan, Jiangsu Province, China.

Department of Pathology, Affiliated Kunshan Hospital of Jiangsu University, Kunshan, Jiangsu Province, China.

出版信息

J Int Med Res. 2022 Mar;50(3):3000605221087050. doi: 10.1177/03000605221087050.

Abstract

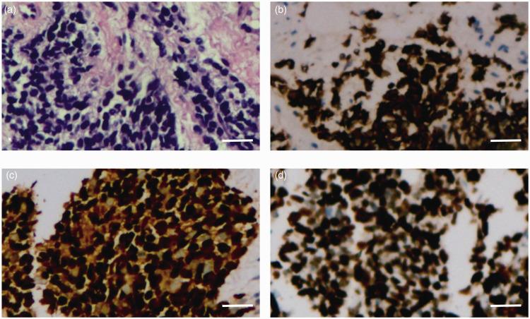
In adults, embryonal rhabdomyosarcoma (ERMS) is rare and has a poor prognosis. Giant perianal ERMS with severe multiple bone metastases at initial diagnosis has not been reported and lacks effective treatment options. This current case report describes a 31-year-old female patient that presented with a large lump on the right side of the anus. ERMS was diagnosed, accompanied by multiple bone metastases throughout the body and severe thrombocytopenia. She had an extremely low platelet count at initial diagnosis, making systemic chemotherapy inappropriate. Genetic testing did not help identify effective targeted drugs. A multi-target tyrosine kinase inhibitor, anlotinib, was selected to control the tumours combined with local radiotherapy to relieve pain. The lump became smaller and this reduction was maintained for 5 months. At 7 months after the diagnosis, the patient died of thrombocytopenia. This current case may provide supportive evidence for a potential treatment for patients with advanced ERMS, especially those not suitable for chemotherapy or surgery.

摘要

在成人中,胚胎性横纹肌肉瘤(ERMS)较为罕见且预后较差。初诊时伴有严重多发骨转移的巨大肛周ERMS尚未见报道,且缺乏有效的治疗方案。本病例报告描述了一名31岁女性患者,其肛门右侧出现一个大肿块。诊断为ERMS,伴有全身多发骨转移和严重血小板减少。初诊时她的血小板计数极低,不适合进行全身化疗。基因检测未能帮助识别有效的靶向药物。选择了多靶点酪氨酸激酶抑制剂安罗替尼来控制肿瘤,并联合局部放疗以缓解疼痛。肿块变小并维持了5个月。诊断后7个月,患者死于血小板减少。本病例可能为晚期ERMS患者,尤其是那些不适合化疗或手术的患者的潜在治疗提供支持性证据。

https://cdn.ncbi.nlm.nih.gov/pmc/blobs/3221/8949711/fc9917ad632a/10.1177_03000605221087050-fig1.jpg

文献检索

告别复杂PubMed语法,用中文像聊天一样搜索,搜遍4000万医学文献。AI智能推荐,让科研检索更轻松。

立即免费搜索

文件翻译

保留排版,准确专业,支持PDF/Word/PPT等文件格式,支持 12+语言互译。

免费翻译文档

深度研究

AI帮你快速写综述,25分钟生成高质量综述,智能提取关键信息,辅助科研写作。

立即免费体验