School of Medicine & Holistic Integrative Medicine, Nanjing University of Chinese Medicine, 138 Xianlin Street, Nanjing, 210023, China.
Tumor Immunology and Gene Therapy Center, Third Affiliated Hospital of Second Military Medical University, 225 Changhai Road, Shanghai, 200438, China.
Cell Death Dis. 2022 Mar 24;13(3):261. doi: 10.1038/s41419-022-04689-w.
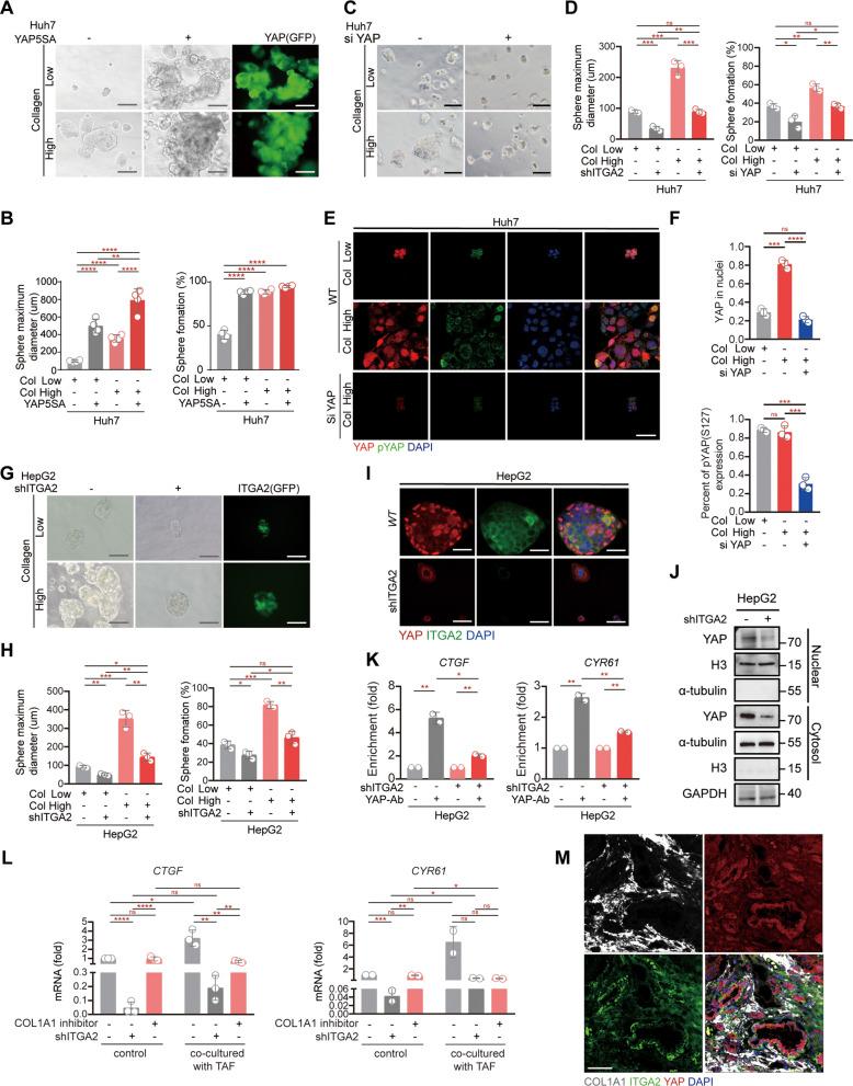
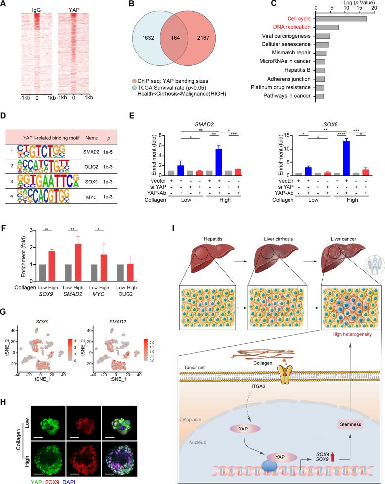
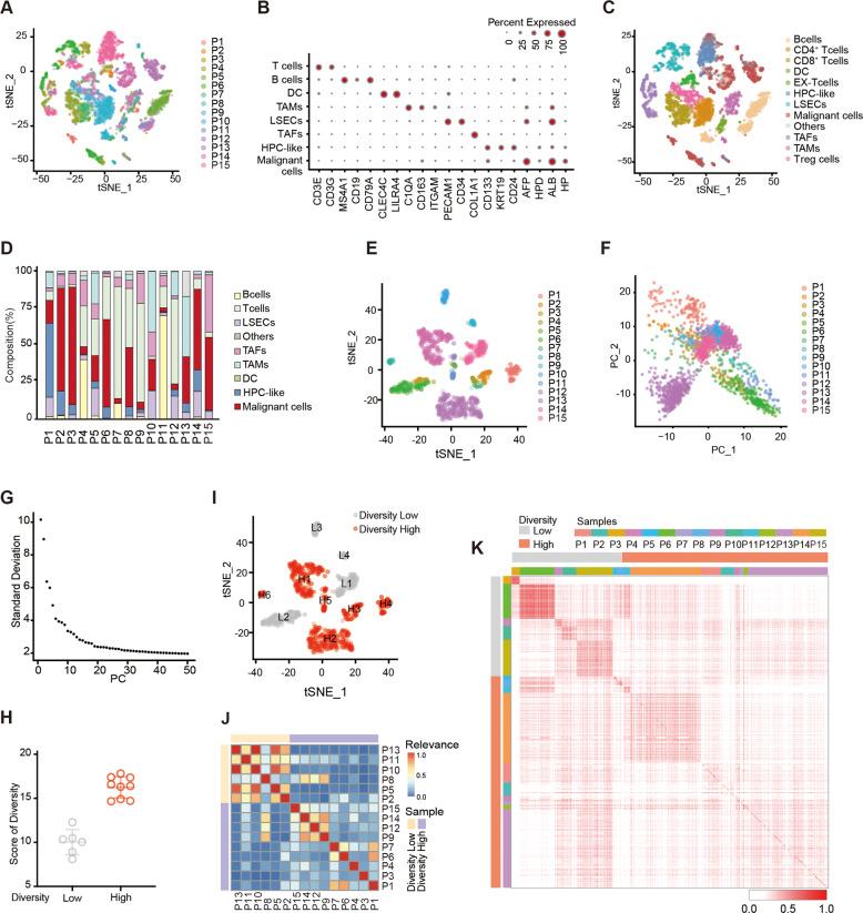
Liver cancer arises from the evolutionary selection of the dynamic tumor microenvironment (TME), in which the tumor cell generally becomes more heterogeneous; however, the mechanisms of TME-mediated transcriptional diversity of liver cancer remain unclear. Here, we assess transcriptional diversity in 15 liver cancer patients by single-cell transcriptome analysis and observe transcriptional diversity of tumor cells is associated with stemness in liver cancer patients. Tumor-associated fibroblast (TAF), as a potential driving force behind the heterogeneity in tumor cells within and between tumors, was predicted to interact with high heterogeneous tumor cells via COL1A1-ITGA2. Moreover, COL1A1-mediated YAP-signaling activation might be the mechanistic link between TAF and tumor cells with increased transcriptional diversity. Strikingly, the levels of COL1A1, ITGA2, and YAP are associated with morphological heterogeneity and poor overall survival of liver cancer patients. Beyond providing a potential mechanistic link between the TME and heterogeneous tumor cells, this study establishes that collagen-stimulated YAP activation is associates with transcriptional diversity in tumor cells by upregulating stemness, providing a theoretical basis for individualized treatment targets.
肝癌源于肿瘤微环境(TME)的动态选择,其中肿瘤细胞通常变得更加异质性;然而,TME 介导的肝癌转录多样性的机制尚不清楚。在这里,我们通过单细胞转录组分析评估了 15 名肝癌患者的转录多样性,并观察到肝癌患者肿瘤细胞的转录多样性与干性有关。肿瘤相关成纤维细胞(TAF)作为肿瘤内和肿瘤间肿瘤细胞异质性的潜在驱动力,被预测通过 COL1A1-ITGA2 与高异质性肿瘤细胞相互作用。此外,COL1A1 介导的 YAP 信号激活可能是 TAF 与转录多样性增加的肿瘤细胞之间的机制联系。引人注目的是,COL1A1、ITGA2 和 YAP 的水平与肝癌患者的形态异质性和整体生存不良相关。本研究不仅为 TME 和异质性肿瘤细胞之间提供了潜在的机制联系,还确立了胶原刺激的 YAP 激活通过上调干性与肿瘤细胞的转录多样性相关,为个体化治疗靶点提供了理论基础。