• 文献检索
  • 文档翻译
  • 深度研究
  • 学术资讯
  • Suppr Zotero 插件Zotero 插件
  • 邀请有礼
  • 套餐&价格
  • 历史记录
应用&插件
Suppr Zotero 插件Zotero 插件浏览器插件Mac 客户端Windows 客户端微信小程序
定价
高级版会员购买积分包购买API积分包
服务
文献检索文档翻译深度研究API 文档MCP 服务
关于我们
关于 Suppr公司介绍联系我们用户协议隐私条款
关注我们

Suppr 超能文献

核心技术专利:CN118964589B侵权必究
粤ICP备2023148730 号-1Suppr @ 2026

文献检索

告别复杂PubMed语法,用中文像聊天一样搜索,搜遍4000万医学文献。AI智能推荐,让科研检索更轻松。

立即免费搜索

文件翻译

保留排版,准确专业,支持PDF/Word/PPT等文件格式,支持 12+语言互译。

免费翻译文档

深度研究

AI帮你快速写综述,25分钟生成高质量综述,智能提取关键信息,辅助科研写作。

立即免费体验

阿克拉霉素作为一种有效的胰腺癌细胞毒药物的鉴定。

The identification of the anthracycline aclarubicin as an effective cytotoxic agent for pancreatic cancer.

机构信息

Departments of Surgery.

Pathology.

出版信息

Anticancer Drugs. 2022 Aug 1;33(7):614-621. doi: 10.1097/CAD.0000000000001283. Epub 2022 Mar 23.

DOI:10.1097/CAD.0000000000001283
PMID:35324522
原文链接:https://pmc.ncbi.nlm.nih.gov/articles/PMC9281511/
Abstract

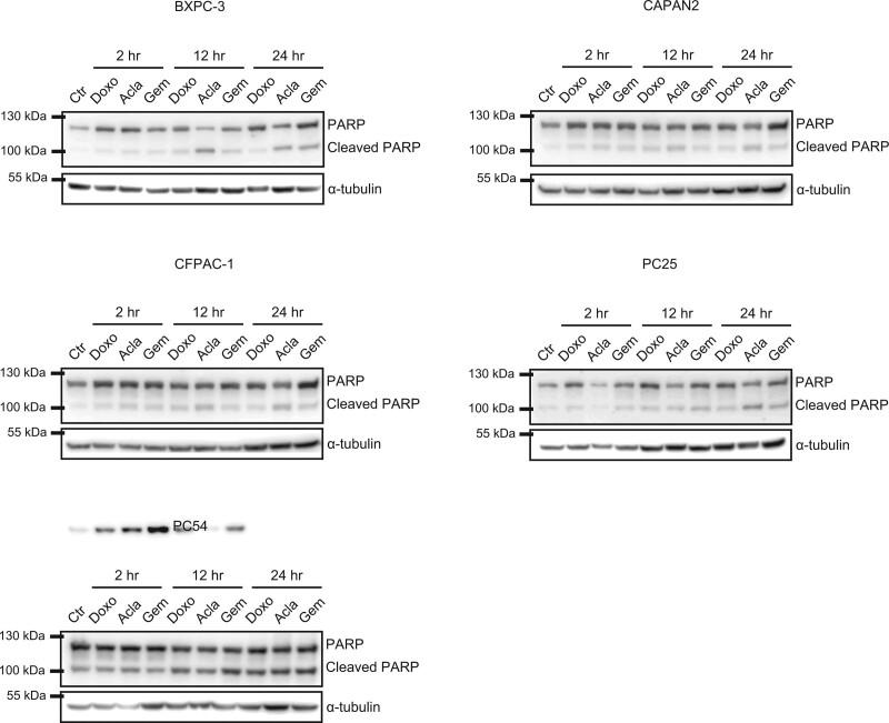
Pancreatic ductal adenocarcinoma (PDAC) is one of the most lethal types of cancer, mainly due to its delayed diagnosis and lack of effective therapeutic options. Therefore, it is imperative to find novel treatment options for PDAC. Here, we tested a series of conventional chemotherapeutics together with anthracycline compounds as single agents or in combination, determining their effectivity against established commercial and patient-derived, low-passage PDAC cell lines. Proliferation and colony formation assays were performed to determine the anticancer activity of anthracyclines; aclarubicin and doxorubicin, on commercial and patient-derived, low-passage PDAC cell lines. In addition, the effect of standard-of-care drugs gemcitabine and individual components of FOLFIRINOX were also investigated. To evaluate which mechanisms of cell death were involved in drug response, cleavage of poly(ADP-ribose)polymerase was evaluated by western blot. Aclarubicin showed superior antitumor activity compared to other anthracyclines and standard of care drugs (gemcitabine and individual components of FOLFIRINOX) in a patient-derived, low-passage PDAC cell line and in commercial cell lines. Importantly, the combination of gemcitabine and aclarubicin showed a synergistic effect at a dose range where the single agents by themselves were ineffective. In parallel, evaluation of the antitumor activity of aclarubicin demonstrated an apoptotic effect in all PDAC cell lines. Aclarubicin is cytotoxic for commercial and patient-derived low-passage PDAC cell lines, at doses lower than peak serum concentrations for patient treatment. Our findings support a (re)consideration of aclarubicin as a backbone of new combination regimens for pancreatic cancer patients.

摘要

胰腺导管腺癌(PDAC)是最致命的癌症类型之一,主要是由于其诊断延迟和缺乏有效的治疗选择。因此,迫切需要为 PDAC 找到新的治疗选择。在这里,我们测试了一系列常规化疗药物与蒽环类化合物作为单一药物或联合使用,以确定它们对已建立的商业和患者来源的低传代 PDAC 细胞系的疗效。通过增殖和集落形成测定来确定蒽环类药物(阿克拉霉素和多柔比星)对商业和患者来源的低传代 PDAC 细胞系的抗癌活性。此外,还研究了标准护理药物吉西他滨和 FOLFIRINOX 的各个成分的作用。为了评估细胞死亡的哪些机制参与了药物反应,通过 Western blot 评估聚(ADP-核糖)聚合酶的切割。与其他蒽环类药物和标准护理药物(吉西他滨和 FOLFIRINOX 的各个成分)相比,阿克拉霉素在患者来源的低传代 PDAC 细胞系和商业细胞系中显示出更好的抗肿瘤活性。重要的是,在单药本身无效的剂量范围内,吉西他滨和阿克拉霉素联合使用显示出协同作用。同时,阿克拉霉素抗肿瘤活性的评估显示在所有 PDAC 细胞系中均具有凋亡作用。阿克拉霉素对商业和患者来源的低传代 PDAC 细胞系具有细胞毒性,其剂量低于患者治疗的峰值血清浓度。我们的研究结果支持重新考虑阿克拉霉素作为新的联合治疗方案的骨干,用于胰腺癌患者。

https://cdn.ncbi.nlm.nih.gov/pmc/blobs/09ac/9281511/66a8e1e56da7/acd-33-614-g004.jpg
https://cdn.ncbi.nlm.nih.gov/pmc/blobs/09ac/9281511/a0de2bbeda3f/acd-33-614-g001.jpg
https://cdn.ncbi.nlm.nih.gov/pmc/blobs/09ac/9281511/493cbf51957a/acd-33-614-g002.jpg
https://cdn.ncbi.nlm.nih.gov/pmc/blobs/09ac/9281511/1c1421b79053/acd-33-614-g003.jpg
https://cdn.ncbi.nlm.nih.gov/pmc/blobs/09ac/9281511/66a8e1e56da7/acd-33-614-g004.jpg
https://cdn.ncbi.nlm.nih.gov/pmc/blobs/09ac/9281511/a0de2bbeda3f/acd-33-614-g001.jpg
https://cdn.ncbi.nlm.nih.gov/pmc/blobs/09ac/9281511/493cbf51957a/acd-33-614-g002.jpg
https://cdn.ncbi.nlm.nih.gov/pmc/blobs/09ac/9281511/1c1421b79053/acd-33-614-g003.jpg
https://cdn.ncbi.nlm.nih.gov/pmc/blobs/09ac/9281511/66a8e1e56da7/acd-33-614-g004.jpg

相似文献

1
The identification of the anthracycline aclarubicin as an effective cytotoxic agent for pancreatic cancer.阿克拉霉素作为一种有效的胰腺癌细胞毒药物的鉴定。
Anticancer Drugs. 2022 Aug 1;33(7):614-621. doi: 10.1097/CAD.0000000000001283. Epub 2022 Mar 23.
2
Evaluation of poly-mechanistic antiangiogenic combinations to enhance cytotoxic therapy response in pancreatic cancer.评价多机制抗血管生成联合治疗增强胰腺癌细胞毒治疗反应。
PLoS One. 2012;7(6):e38477. doi: 10.1371/journal.pone.0038477. Epub 2012 Jun 18.
3
Co-treatment with gemcitabine and nab-paclitaxel exerts additive effects on pancreatic cancer cell death.吉西他滨和 nab-紫杉醇联合治疗对胰腺癌细胞死亡具有相加作用。
Oncol Rep. 2018 Apr;39(4):1984-1990. doi: 10.3892/or.2018.6233. Epub 2018 Jan 25.
4
Enhancing sorafenib-mediated sensitization to gemcitabine in experimental pancreatic cancer through EMAP II.通过 EMAP II 增强索拉非尼介导的实验性胰腺癌对吉西他滨的敏感性。
J Exp Clin Cancer Res. 2013 Mar 6;32(1):12. doi: 10.1186/1756-9966-32-12.
5
FOLFIRINOX Gemcitabine-based Therapy for Pancreatic Ductal Adenocarcinoma: Lessons from Patient-derived Cell Lines.基于 FOLFIRINOX 和吉西他滨的疗法治疗胰腺导管腺癌:源自患者源性细胞系的经验教训。
Anticancer Res. 2020 Jul;40(7):3659-3667. doi: 10.21873/anticanres.14355.
6
Diversifying the anthracycline class of anti-cancer drugs identifies aclarubicin for superior survival of acute myeloid leukemia patients.将蒽环类抗癌药物进行多样化,鉴定出阿克拉霉素可显著提高急性髓系白血病患者的生存率。
Mol Cancer. 2024 Jun 4;23(1):120. doi: 10.1186/s12943-024-02034-7.
7
Novel p21-Activated Kinase 4 (PAK4) Allosteric Modulators Overcome Drug Resistance and Stemness in Pancreatic Ductal Adenocarcinoma.新型p21激活激酶4(PAK4)变构调节剂克服胰腺导管腺癌的耐药性和干性
Mol Cancer Ther. 2017 Jan;16(1):76-87. doi: 10.1158/1535-7163.MCT-16-0205. Epub 2016 Nov 15.
8
The efficacy of a novel, dual PI3K/mTOR inhibitor NVP-BEZ235 to enhance chemotherapy and antiangiogenic response in pancreatic cancer.新型双重 PI3K/mTOR 抑制剂 NVP-BEZ235 增强胰腺癌化疗和抗血管生成反应的疗效。
J Cell Biochem. 2012 Mar;113(3):784-91. doi: 10.1002/jcb.23405.
9
Anti-tumor activity of cediranib, a pan-vascular endothelial growth factor receptor inhibitor, in pancreatic ductal adenocarcinoma cells.西地尼布(一种泛血管内皮生长因子受体抑制剂)对胰腺导管腺癌细胞的抗肿瘤活性。
Cell Oncol (Dordr). 2020 Feb;43(1):81-93. doi: 10.1007/s13402-019-00473-9. Epub 2019 Sep 6.
10
A drug-repositioning screen for primary pancreatic ductal adenocarcinoma cells identifies 6-thioguanine as an effective therapeutic agent for TPMT-low cancer cells.一种针对原发性胰腺导管腺癌细胞的药物重定位筛选方法发现,硫鸟嘌呤可作为 TPMT 低癌细胞的有效治疗药物。
Mol Oncol. 2018 Sep;12(9):1526-1539. doi: 10.1002/1878-0261.12364. Epub 2018 Aug 29.

引用本文的文献

1
Various anthracyclines exhibit differential cytotoxic effects related to CBR1-induced resistance in lung cancer cells.各种蒽环类药物在肺癌细胞中表现出与CBR1诱导的耐药性相关的不同细胞毒性作用。
Med Oncol. 2025 Jul 8;42(8):315. doi: 10.1007/s12032-025-02893-0.
2
Anthracycline-Induced Cardiomyopathy in Cancer Survivors: Management and Long-Term Implications.癌症幸存者中的蒽环类药物所致心肌病:管理与长期影响
Adv Exp Med Biol. 2025;1474:179-199. doi: 10.1007/5584_2024_804.
3
Targeting endoplasmic reticulum associated degradation pathway combined with radiotherapy enhances the immunogenicity of esophageal cancer cells.
靶向内质网相关降解途径联合放疗增强食管癌细胞的免疫原性。
Cancer Biol Ther. 2023 Dec 31;24(1):2166763. doi: 10.1080/15384047.2023.2166763.