Suppr超能文献

单侧开门椎管扩大成形术后神经功能预后不良的危险因素:异位骨特征分析。

Risk factors for poor neurological outcomes after unilateral open-door laminoplasty: an analysis of the characteristics of ectopic bone.

机构信息

Department of Orthopedic Surgery, The Third Hospital of Hebei Medical University, Shijiazhuang, 050051, People's Republic of China.

The Key Laboratory of Orthopedic Biomechanics of Hebei Province, The Third Hospital of Hebei Medical University, Shijiazhuang, 050051, People's Republic of China.

出版信息

J Orthop Surg Res. 2022 Mar 24;17(1):181. doi: 10.1186/s13018-022-03074-9.

Abstract

BACKGROUND

The factors affecting neurological outcomes with unilateral open-door laminoplasty have been controversial. The purpose of this study was to evaluate the impact of the characteristics of ectopic bone on poor neurological outcomes after unilateral open-door laminoplasty.

METHODS

We retrospectively analyzed the clinical data of 112 patients who underwent unilateral open-door laminoplasty from September 2017 to September 2020. According to the Japanese Orthopedic Association score recovery rate after surgery (Japanese Orthopedic Association recovery rate ≥ 50% and < 50%, respectively), all patients were divided into "poor" and "good" groups. The characteristics of ectopic bone and the position relationship between the open side and ectopic bone (for lateral ossification) in the two groups were compared and analyzed. Univariate and multivariate analyses were used to determine the risk factors for poor neurological outcome.

RESULTS

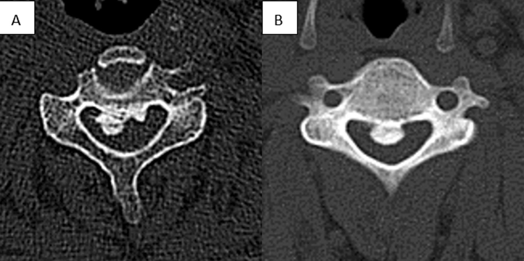
We identified patients with a mean age of 58.39 years and a mean follow-up of 25.43 months. Sixty (53.6%) patients experienced recovery of poor neurological function. On univariable analysis, significant predictors of poor neurological recovery were occupation rate of spinal canal > 60% (p = 0.000), ossification extending to C2 (p = 0.006), lateral ossification (p = 0.032) and opening side on the ipsilateral side of the ectopic bone (p = 0.011). Multivariate logistic regression analysis revealed that the occupation rate of spinal canal > 60% (P = 0.003), ossification extending to C2 (P = 0.041) and opening the door on the ipsilateral side for lateral ossification (P = 0.013) were independent risk factors for poor prognosis of neurological function.

CONCLUSIONS

An occupation ratio > 60% is the most important risk factor. Another one is ossification of the posterior longitudinal ligament extending to C2. Meanwhile, opening the door on the ipsilateral side is indeed a risk factor for lateral ossification. Better neurological function may be obtained by choosing the opposite side of the heterotopic bone as the open side. Therefore, the design of the surgical plan should comprehensively consider these factors.

摘要

背景

影响单侧开门椎管扩大成形术后神经功能预后的因素一直存在争议。本研究旨在评估异位骨特征对单侧开门椎管扩大成形术后神经功能不良的影响。

方法

回顾性分析 2017 年 9 月至 2020 年 9 月行单侧开门椎管扩大成形术的 112 例患者的临床资料。根据术后日本矫形协会评分恢复率(日本矫形协会恢复率≥50%和<50%),将所有患者分为“差”和“好”两组。比较分析两组患者异位骨特征及开门侧与异位骨(侧方骨化)的位置关系。采用单因素和多因素分析确定神经功能不良预后的危险因素。

结果

共纳入 58.39 岁的患者,平均随访 25.43 个月。60 例(53.6%)患者神经功能恢复不良。单因素分析显示,椎管占位率>60%(p=0.000)、骨化延伸至 C2(p=0.006)、侧方骨化(p=0.032)及开门侧位于异位骨同侧(p=0.011)是神经功能恢复不良的显著预测因素。多因素 logistic 回归分析显示,椎管占位率>60%(P=0.003)、骨化延伸至 C2(P=0.041)及开门侧位于侧方骨化的同侧(P=0.013)是神经功能预后不良的独立危险因素。

结论

椎管占位率>60%是最重要的危险因素。其次是骨化的后纵韧带延伸至 C2。同时,开门侧位于异位骨的同侧确实是侧方骨化的一个危险因素。选择异位骨的对侧作为开门侧可能获得更好的神经功能。因此,手术计划的设计应综合考虑这些因素。

https://cdn.ncbi.nlm.nih.gov/pmc/blobs/fdd3/8944033/acc8fbe45572/13018_2022_3074_Fig1_HTML.jpg

文献检索

告别复杂PubMed语法,用中文像聊天一样搜索,搜遍4000万医学文献。AI智能推荐,让科研检索更轻松。

立即免费搜索

文件翻译

保留排版,准确专业,支持PDF/Word/PPT等文件格式,支持 12+语言互译。

免费翻译文档

深度研究

AI帮你快速写综述,25分钟生成高质量综述,智能提取关键信息,辅助科研写作。

立即免费体验