• 文献检索
  • 文档翻译
  • 深度研究
  • 学术资讯
  • Suppr Zotero 插件Zotero 插件
  • 邀请有礼
  • 套餐&价格
  • 历史记录
应用&插件
Suppr Zotero 插件Zotero 插件浏览器插件Mac 客户端Windows 客户端微信小程序
定价
高级版会员购买积分包购买API积分包
服务
文献检索文档翻译深度研究API 文档MCP 服务
关于我们
关于 Suppr公司介绍联系我们用户协议隐私条款
关注我们

Suppr 超能文献

核心技术专利:CN118964589B侵权必究
粤ICP备2023148730 号-1Suppr @ 2026

文献检索

告别复杂PubMed语法,用中文像聊天一样搜索,搜遍4000万医学文献。AI智能推荐,让科研检索更轻松。

立即免费搜索

文件翻译

保留排版,准确专业,支持PDF/Word/PPT等文件格式,支持 12+语言互译。

免费翻译文档

深度研究

AI帮你快速写综述,25分钟生成高质量综述,智能提取关键信息,辅助科研写作。

立即免费体验

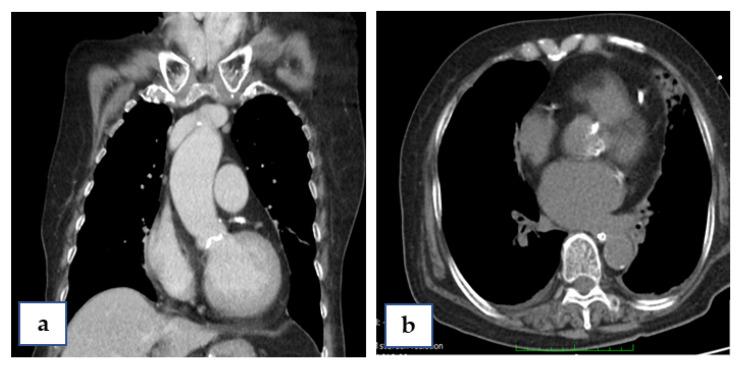
经 ECMO 植入术后,成功行紧急经导管主动脉瓣置换术治疗重症主动脉瓣狭窄。

Successful Urgent TAVI for Critical Aortic Valve Stenosis after ECMO Implantation.

机构信息

Department of Cardiology, Chang Bing Show Chwan Memorial Hospital, Changhua 505, Taiwan.

Institut für Anästhesiologie, Deutsches Herzzentrum München, Technical University Munich, 80333 Munich, Germany.

出版信息

Medicina (Kaunas). 2022 Feb 28;58(3):356. doi: 10.3390/medicina58030356.

DOI:10.3390/medicina58030356
PMID:35334532
原文链接:https://pmc.ncbi.nlm.nih.gov/articles/PMC8953978/
Abstract

Transcatheter aortic valve implantation (TAVI) has evolved to be the treatment of choice for patients with severe aortic stenosis and high perioperative risk. Cardiogenic shock is one of the most severe complications during the TAVI procedure, especially as the prognosis of cardiogenic shock secondary to aortic stenosis is very poor. This situation can be challenging, while extracorporeal membranous oxygenation (ECMO) can be a treatment option. Here, we reported on an 88-year-old female patient who had been diagnosed as non-ST-elevation myocardial infarction (NSTEMI) and critical aortic valve stenosis (AS) with a logistic Euroscore of 25%. Percutaneous coronary angioplasty (PCI) was performed smoothly and developed tachy-brady arrhythmia of atrial fibrillation then cardiac arrest at the beginning of the TAVI procedure. A v-a ECMO was installed at her left femoral side. Afterward, the TAVI procedure was completed accordingly; her consciousness recovered and Levosimendan therapy enhanced her left-ventricular ejection fraction (LVEF) from 22% to 40%. Five days after TAVI, ECMO was replaced by intra-aortic balloon pumping (IABP) and it was removed 3 days later. A minor complication of this therapy, e.g., muscular weakness in her left leg, was noted. The patient underwent rehabilitation for about 2 months, and was discharged from hospital with a wheel chair and clear consciousness. At the 24 month follow-up she was in good recovery and was able to walk upstairs to the second floor again. Our experience suggests that one indication of prophylactic use of ECMO is for patients with an unstable hemodynamic condition.

摘要

经导管主动脉瓣植入术(TAVI)已成为严重主动脉瓣狭窄和围手术期高风险患者的首选治疗方法。心源性休克是 TAVI 过程中最严重的并发症之一,尤其是继发于主动脉瓣狭窄的心源性休克预后极差。这种情况可能具有挑战性,而体外膜肺氧合(ECMO)可以作为一种治疗选择。在这里,我们报告了一位 88 岁女性患者的病例,该患者被诊断为非 ST 段抬高型心肌梗死(NSTEMI)和严重的主动脉瓣狭窄(AS),Logistic Euroscore 为 25%。经皮冠状动脉介入治疗(PCI)顺利进行,在 TAVI 手术开始时出现心动过速-心动过缓性房颤伴快速性心律失常,继而发生心脏骤停。在她的左股侧安装了 v-a ECMO。此后,相应地完成了 TAVI 手术;她的意识恢复,左心室射血分数(LVEF)从 22%提高到 40%。TAVI 后 5 天,ECMO 被主动脉内球囊反搏(IABP)取代,3 天后被移除。该治疗方法的一个轻微并发症是她左腿肌肉无力。患者接受了大约 2 个月的康复治疗,出院时乘坐轮椅,意识清醒。在 24 个月的随访中,她恢复良好,能够再次走上二楼。我们的经验表明,预防性使用 ECMO 的一个适应证是对血流动力学不稳定的患者。

https://cdn.ncbi.nlm.nih.gov/pmc/blobs/eaa3/8953978/37dc68caf077/medicina-58-00356-g003.jpg
https://cdn.ncbi.nlm.nih.gov/pmc/blobs/eaa3/8953978/f8737b529307/medicina-58-00356-g001.jpg
https://cdn.ncbi.nlm.nih.gov/pmc/blobs/eaa3/8953978/daa3bfff3454/medicina-58-00356-g002.jpg
https://cdn.ncbi.nlm.nih.gov/pmc/blobs/eaa3/8953978/37dc68caf077/medicina-58-00356-g003.jpg
https://cdn.ncbi.nlm.nih.gov/pmc/blobs/eaa3/8953978/f8737b529307/medicina-58-00356-g001.jpg
https://cdn.ncbi.nlm.nih.gov/pmc/blobs/eaa3/8953978/daa3bfff3454/medicina-58-00356-g002.jpg
https://cdn.ncbi.nlm.nih.gov/pmc/blobs/eaa3/8953978/37dc68caf077/medicina-58-00356-g003.jpg

相似文献

1
Successful Urgent TAVI for Critical Aortic Valve Stenosis after ECMO Implantation.经 ECMO 植入术后,成功行紧急经导管主动脉瓣置换术治疗重症主动脉瓣狭窄。
Medicina (Kaunas). 2022 Feb 28;58(3):356. doi: 10.3390/medicina58030356.
2
Outcomes of patients requiring extracorporeal membrane oxygenation in transcatheter aortic valve implantation: a clinical case series.经导管主动脉瓣植入术中需要体外膜肺氧合的患者的结局:临床病例系列
Heart Vessels. 2018 Nov;33(11):1343-1349. doi: 10.1007/s00380-018-1183-8. Epub 2018 May 2.
3
Protected complex percutaneous coronary intervention and transcatheter aortic valve replacement using extracorporeal membrane oxygenation in a high-risk frail patient: a case report.高危体弱患者采用体外膜肺氧合进行受保护的复杂经皮冠状动脉介入治疗和经导管主动脉瓣置换术:一例报告
J Med Case Rep. 2020 Sep 23;14(1):163. doi: 10.1186/s13256-020-02474-x.
4
Extracorporeal membrane oxygenation for very high-risk transcatheter aortic valve implantation.体外膜肺氧合用于极高风险经导管主动脉瓣植入术
Heart Lung Circ. 2014 Oct;23(10):957-62. doi: 10.1016/j.hlc.2014.05.006. Epub 2014 May 27.
5
In-hospital outcomes after emergency or prophylactic veno-arterial extracorporeal membrane oxygenation during transcatheter aortic valve implantation: a comprehensive review of the literature.经导管主动脉瓣植入术中急诊或预防性静脉-动脉体外膜肺氧合后的院内结局:文献综述
Perfusion. 2019 Jul;34(5):354-363. doi: 10.1177/0267659118816555. Epub 2019 Jan 11.
6
Emergency veno-arterial extracorporeal membrane oxygenation (VA ECMO)-supported percutaneous interventions in refractory cardiac arrest and profound cardiogenic shock.在难治性心脏骤停和严重心源性休克中,紧急静脉-动脉体外膜肺氧合(VA ECMO)支持下的经皮介入治疗。
Resuscitation. 2021 Mar;160:150-157. doi: 10.1016/j.resuscitation.2020.11.028. Epub 2020 Dec 9.
7
[Transcatheter aortic valve implantation under extracorporeal membrane oxygenation].体外膜肺氧合支持下的经导管主动脉瓣植入术
Khirurgiia (Mosk). 2019(4):66-71. doi: 10.17116/hirurgia201904166.
8
Prophylactic ECMO during TAVI in patients with depressed left ventricular ejection fraction.TAVI 术中预防性 ECMO 在左心室射血分数降低患者中的应用。
Clin Res Cardiol. 2019 Apr;108(4):366-374. doi: 10.1007/s00392-018-1364-6. Epub 2018 Aug 28.
9
Comparison between transcatheter and surgical prosthetic valve implantation in patients with severe aortic stenosis and reduced left ventricular ejection fraction.经导管与外科人工瓣膜植入术治疗严重主动脉瓣狭窄伴左心室射血分数降低患者的比较。
Circulation. 2010 Nov 9;122(19):1928-36. doi: 10.1161/CIRCULATIONAHA.109.929893. Epub 2010 Oct 25.
10
Transcatheter aortic valve implantation without prior balloon valvuloplasty is associated with less pronounced markers of myocardial injury.未进行预先球囊瓣膜成形术的经导管主动脉瓣植入术与心肌损伤的标志物不那么明显相关。
J Cardiovasc Surg (Torino). 2020 Apr;61(2):243-249. doi: 10.23736/S0021-9509.18.10651-3. Epub 2018 Oct 5.

本文引用的文献

1
Use of extracorporeal membrane oxygenation as a bridge to transcatheter aortic valve replacement in a patient with aortic stenosis and severe coronary artery disease: a case report.体外膜肺氧合作为主动脉瓣狭窄合并严重冠状动脉疾病患者经导管主动脉瓣置换术桥梁的应用:一例报告
Eur Heart J Case Rep. 2021 Jan 15;5(1):ytaa567. doi: 10.1093/ehjcr/ytaa567. eCollection 2021 Jan.
2
Coronary Artery Disease and Transcatheter Aortic Valve Replacement: JACC State-of-the-Art Review.冠状动脉疾病与经导管主动脉瓣置换术:JACC 最新技术评论。
J Am Coll Cardiol. 2019 Jul 23;74(3):362-372. doi: 10.1016/j.jacc.2019.06.012.
3
Prophylactic ECMO during TAVI in patients with depressed left ventricular ejection fraction.
TAVI 术中预防性 ECMO 在左心室射血分数降低患者中的应用。
Clin Res Cardiol. 2019 Apr;108(4):366-374. doi: 10.1007/s00392-018-1364-6. Epub 2018 Aug 28.
4
Coronary Revascularisation in Transcatheter Aortic Valve Implantation Candidates: Why, Who, When?经导管主动脉瓣植入术候选患者的冠状动脉血运重建:为何、何人、何时?
Interv Cardiol. 2018 May;13(2):69-76. doi: 10.15420/icr.2018:2:2.
5
Sudden Death in Patients With Severe Aortic Stenosis: Observations From the CURRENT AS Registry.严重主动脉瓣狭窄患者的猝死:CURRENT AS 注册研究观察结果。
J Am Heart Assoc. 2018 May 18;7(11):e008397. doi: 10.1161/JAHA.117.008397.
6
Emergency extracorporeal membrane oxygenation in transcatheter aortic valve implantation: A two-center experience of incidence, outcome and temporal trends from 2010 to 2015.经导管主动脉瓣植入术中的紧急体外膜肺氧合:2010年至2015年两个中心关于发病率、结局及时间趋势的经验
Catheter Cardiovasc Interv. 2018 Jul;92(1):149-156. doi: 10.1002/ccd.27385. Epub 2017 Nov 11.
7
[Severe aortic stenosis and cardiogenic shock: a therapeutic challenge].[重度主动脉瓣狭窄与心源性休克:一项治疗挑战]
Rev Port Cardiol. 2013 Sep;32(9):701-6. doi: 10.1016/j.repc.2012.12.011. Epub 2013 Jul 8.
8
2012 ACCF/AATS/SCAI/STS expert consensus document on transcatheter aortic valve replacement: developed in collabration with the American Heart Association, American Society of Echocardiography, European Association for Cardio-Thoracic Surgery, Heart Failure Society of America, Mended Hearts, Society of Cardiovascular Anesthesiologists, Society of Cardiovascular Computed Tomography, and Society for Cardiovascular Magnetic Resonance.2012年美国心脏病学会基金会/美国胸外科医师协会/心血管造影和介入学会/胸外科医师学会经导管主动脉瓣置换术专家共识文件:与美国心脏协会、美国超声心动图学会、欧洲心胸外科学会、美国心力衰竭学会、心连心协会、心血管麻醉医师学会、心血管计算机断层扫描学会以及心血管磁共振学会合作制定。
J Thorac Cardiovasc Surg. 2012 Sep;144(3):e29-84. doi: 10.1016/j.jtcvs.2012.03.001.