School of Basic Medicine, Qingdao University,Qingdao, China.
Qingdao Mental Health Center,Qingdao, China.
Drug Deliv. 2022 Dec;29(1):970-985. doi: 10.1080/10717544.2022.2055225.
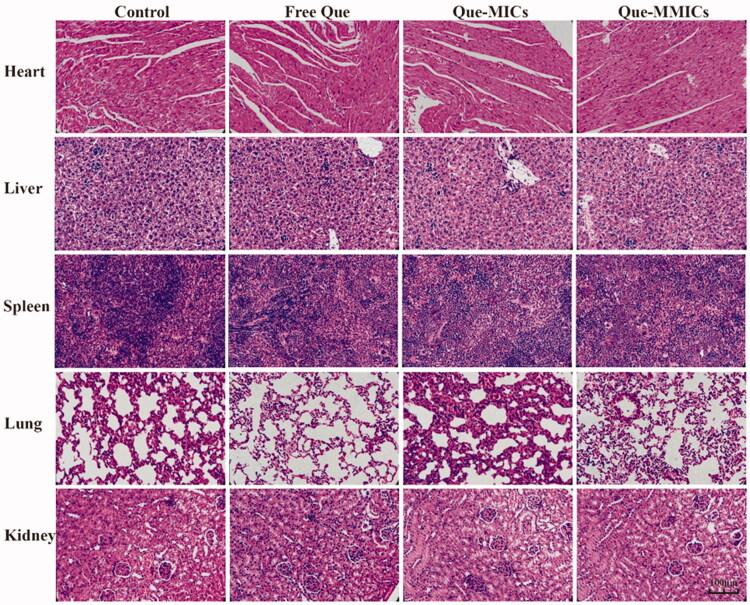
Lung cancer is the leading cause of cancer death world-wide and its treatment remains a challenge in clinic, especially for non-small cell lung cancer (NSCLC). Thus, more effective therapeutic strategies are required for NSCLC treatment. Quercetin (Que) as a natural flavonoid compound has gained increasing interests due to its anticancer activity. However, poor water solubility, low bioavailability, short half-life, and weak tumor accumulation hinder applications and antitumor effects of Que. In this study, we developed Que-loaded mixed micelles (Que-MMICs) assembled from 1,2-distearoyl-sn-glycero-3-phosphoethanolamine-poly(ethylene glycol)-biotin (DSPE-PEG-biotin) and poly(ethylene glycol) methyl ether methacrylate-poly[2-(dimethylamino) ethyl acrylate]-polycaprolactone (PEGMA-PDMAEA-PCL) for NSCLC treatment. The results showed that Que was efficiently encapsulated into the mixed micelles and the encapsulation efficiency (EE) was up to 85.7%. Cellular uptake results showed that biotin conjugation significantly improved 1.2-fold internalization of the carrier compared to that of non-targeted mixed micelles. results demonstrated that Que-MMICs could improve cytotoxicity (IC = 7.83 μg/mL) than Que-MICs (16.15 μg/mL) and free Que (44.22 μg/mL) to A549 cells, which efficiently induced apoptosis and arrested cell cycle. Furthermore, Que-MMICs showed satisfactory tumor targeting capability and antitumor efficacy possibly due to the combination of enhanced permeability and retention (EPR) and active targeting effect. Collectively, Que-MMICs demonstrated high accumulation at tumor site and exhibited superior anticancer activity in NSCLC bearing mice model.
肺癌是全球癌症死亡的主要原因,其治疗仍然是临床面临的挑战,尤其是非小细胞肺癌(NSCLC)。因此,需要更有效的治疗策略来治疗 NSCLC。槲皮素(Que)作为一种天然类黄酮化合物,由于其抗癌活性而受到越来越多的关注。然而,其较差的水溶性、低生物利用度、短半衰期和弱肿瘤积累阻碍了其应用和抗癌效果。在这项研究中,我们开发了由 1,2-二硬脂酰-sn-甘油-3-磷酸乙醇胺-聚乙二醇-生物素(DSPE-PEG-生物素)和聚乙二醇甲基醚甲基丙烯酸酯-聚[2-(二甲氨基)乙基丙烯酸酯]-聚己内酯(PEGMA-PDMAEA-PCL)组成的负载 Que 的混合胶束(Que-MMICs),用于治疗 NSCLC。结果表明,Que 被有效地包封在混合胶束中,包封效率(EE)高达 85.7%。细胞摄取结果表明,与非靶向混合胶束相比,生物素缀合可使载体的内化增加 1.2 倍。结果表明,与 Que-MICs(16.15μg/mL)和游离 Que(44.22μg/mL)相比,Que-MMICs 对 A549 细胞的细胞毒性(IC=7.83μg/mL)有所提高,能有效诱导细胞凋亡和细胞周期阻滞。此外,由于增强的通透性和保留(EPR)和主动靶向作用的结合,Que-MMICs 显示出令人满意的肿瘤靶向能力和抗肿瘤功效。总之,Que-MMICs 在荷瘤小鼠模型中表现出高肿瘤积累和优异的抗癌活性。