Department of Biochemistry, University of Cambridge, Cambridge, CB2 1GA, UK.
Life & Medical Sciences Institute (LIMES) Development, Genetics & Molecular Physiology Unit, University of Bonn, Carl-Troll-Straße, 31, 53115, Bonn, Germany.
Nat Commun. 2022 Apr 1;13(1):1748. doi: 10.1038/s41467-022-29363-9.
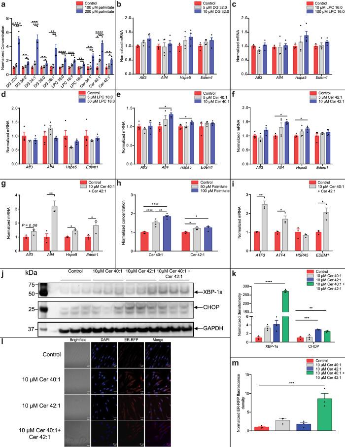
The endoplasmic reticulum (ER) regulates cellular protein and lipid biosynthesis. ER dysfunction leads to protein misfolding and the unfolded protein response (UPR), which limits protein synthesis to prevent cytotoxicity. Chronic ER stress in skeletal muscle is a unifying mechanism linking lipotoxicity to metabolic disease. Unidentified signals from cells undergoing ER stress propagate paracrine and systemic UPR activation. Here, we induce ER stress and lipotoxicity in myotubes. We observe ER stress-inducing lipid cell non-autonomous signal(s). Lipidomics identifies that palmitate-induced cell stress induces long-chain ceramide 40:1 and 42:1 secretion. Ceramide synthesis through the ceramide synthase 2 de novo pathway is regulated by UPR kinase Perk. Inactivation of CerS2 in mice reduces systemic and muscle ceramide signals and muscle UPR activation. The ceramides are packaged into extracellular vesicles, secreted and induce UPR activation in naïve myotubes through dihydroceramide accumulation. This study furthers our understanding of ER stress by identifying UPR-inducing cell non-autonomous signals.
内质网(ER)调节细胞的蛋白质和脂质生物合成。ER 功能障碍导致蛋白质错误折叠和未折叠蛋白反应(UPR),这限制了蛋白质合成以防止细胞毒性。骨骼肌中的慢性 ER 应激是将脂毒性与代谢疾病联系起来的统一机制。正在经历 ER 应激的细胞发出的未识别信号会传播旁分泌和全身 UPR 激活。在这里,我们在肌管中诱导 ER 应激和脂毒性。我们观察到 ER 应激诱导的脂质细胞非自主性信号。脂质组学确定棕榈酸诱导的细胞应激诱导长链神经酰胺 40:1 和 42:1 的分泌。通过从头途径的神经酰胺合酶 2 合成的神经酰胺受到 UPR 激酶 PERK 的调节。在小鼠中敲除 CerS2 会减少全身和肌肉中的神经酰胺信号,并减少肌肉 UPR 激活。这些神经酰胺被包装到细胞外囊泡中,通过二氢神经酰胺的积累分泌并诱导幼稚肌管中的 UPR 激活。这项研究通过鉴定 UPR 诱导的细胞非自主性信号,进一步加深了我们对内质网应激的理解。