Suppr超能文献

初次全髋关节置换术后常规病理诊断前列腺腺癌

Diagnosis of Prostate Adenocarcinoma on Routine Pathology After a Primary Total Hip Arthroplasty.

作者信息

Kheir Michael M, Bauer Thomas W, Westrich Geoffrey H

机构信息

Hospital for Special Surgery, New York, NY, USA.

出版信息

Arthroplast Today. 2022 Mar 27;15:19-23. doi: 10.1016/j.artd.2022.02.025. eCollection 2022 Jun.

Abstract

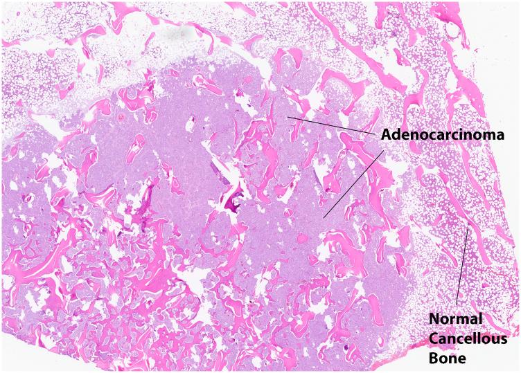
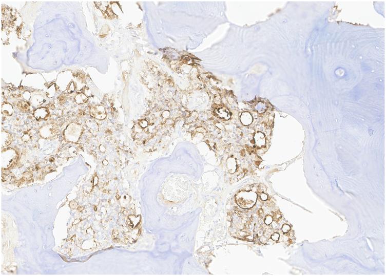
We present a 67-year-old male patient who presented with insidious worsening of right hip pain over a 6-month period with clinical and radiographic evidence of severe osteoarthritis. The patient underwent a primary total hip arthroplasty where the femoral head specimen was sent to pathology as a routine specimen. Pathology results demonstrated metastatic adenocarcinoma of prostate origin. The present case emphasizes the importance of routine pathologic examination of femoral head specimens retrieved during total hip arthroplasty, particularly since this was a clinically unsuspected finding. Although cases like these are rare and the process of routine pathologic examination raises a concern for economic implications, a timely diagnosis of adenocarcinoma provides benefits for the patient, for which cost-benefit ratios are difficult to quantify.

摘要

我们报告一名67岁男性患者,其右髋部疼痛在6个月内逐渐加重,临床和影像学检查显示为严重骨关节炎。该患者接受了初次全髋关节置换术,术中取出的股骨头标本作为常规标本送检病理。病理结果显示为前列腺来源的转移性腺癌。本病例强调了在全髋关节置换术中对取出的股骨头标本进行常规病理检查的重要性,尤其是因为这是一个临床未怀疑的发现。尽管此类病例罕见,且常规病理检查过程引发了对经济影响的担忧,但腺癌的及时诊断对患者有益,而成本效益比难以量化。

https://cdn.ncbi.nlm.nih.gov/pmc/blobs/8acc/8964817/2cfb656def5d/gr1.jpg

文献AI研究员

20分钟写一篇综述,助力文献阅读效率提升50倍。

立即体验

用中文搜PubMed

大模型驱动的PubMed中文搜索引擎

马上搜索

文档翻译

学术文献翻译模型,支持多种主流文档格式。

立即体验