• 文献检索
  • 文档翻译
  • 深度研究
  • 学术资讯
  • Suppr Zotero 插件Zotero 插件
  • 邀请有礼
  • 套餐&价格
  • 历史记录
应用&插件
Suppr Zotero 插件Zotero 插件浏览器插件Mac 客户端Windows 客户端微信小程序
定价
高级版会员购买积分包购买API积分包
服务
文献检索文档翻译深度研究API 文档MCP 服务
关于我们
关于 Suppr公司介绍联系我们用户协议隐私条款
关注我们

Suppr 超能文献

核心技术专利:CN118964589B侵权必究
粤ICP备2023148730 号-1Suppr @ 2026

文献检索

告别复杂PubMed语法,用中文像聊天一样搜索,搜遍4000万医学文献。AI智能推荐,让科研检索更轻松。

立即免费搜索

文件翻译

保留排版,准确专业,支持PDF/Word/PPT等文件格式,支持 12+语言互译。

免费翻译文档

深度研究

AI帮你快速写综述,25分钟生成高质量综述,智能提取关键信息,辅助科研写作。

立即免费体验

非典型胎儿交界性异位心动过速:病例报告及文献复习。

Atypical fetal junctional ectopic tachycardia: a case report and literature review.

机构信息

Department of Obstetrics and Gynecology, Shiga University of Medical Science Hospital, Setatsukinowa-cho, Otsu, Shiga, 520-2192, Japan.

Department of Pediatrics, Shiga University of Medical Science Hospital, Otsu, Japan.

出版信息

BMC Pregnancy Childbirth. 2022 Apr 11;22(1):311. doi: 10.1186/s12884-022-04655-6.

DOI:10.1186/s12884-022-04655-6
PMID:35410180
原文链接:https://pmc.ncbi.nlm.nih.gov/articles/PMC9003959/
Abstract

BACKGROUND

Junctional ectopic tachycardia (JET) is caused by ectopic rhythms, originating in the atrioventricular node, typically with heart rate between 200 and 250 bpm. Herein, we present a case of fetal JET with normal fetal heart rate and a review of nine cases.

CASE PRESENTATION

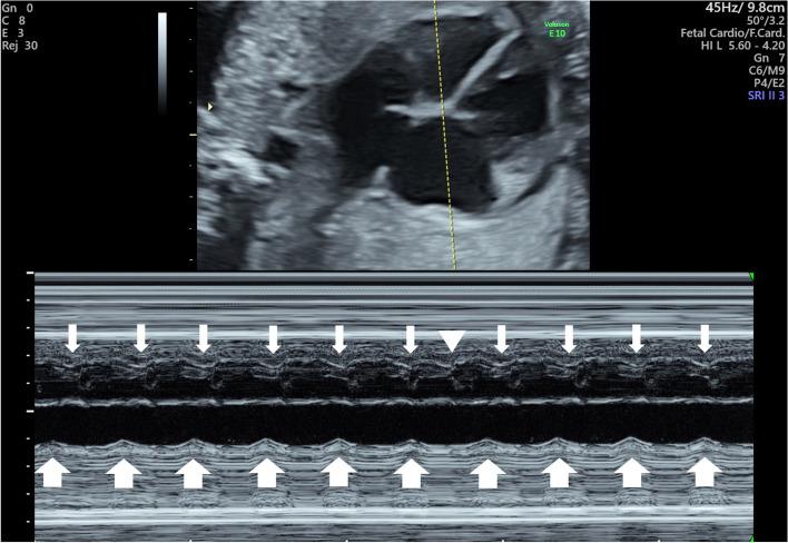
A 32-year-old, gravida 2, para 1, woman in whom fetal JET could not be diagnosed prenatally because the fetal heart rate was within the normal range. The fetus was diagnosed with premature restriction of the foramen ovale, and a cesarean section was performed, owing to the right heart overload that was characterized by fetal ascites and abnormal fetal Doppler velocity. Postnatally, the female neonate was diagnosed with JET on a 12-lead electrocardiogram, which revealed a neonatal heart rate of 158 bpm with narrow QRS and atrioventricular dissociation. After failure to respond to amiodarone therapy, she was treated with flecainide, which controlled the JET rate from 120 to 150 bpm. Fetal tachycardia with ventriculo-atrial (VA) dissociation or 1:1 VA conduction with a shorter VA interval than that of atrioventricular reentrant tachycardia confirmed the diagnosis of fetal JET.

CONCLUSIONS

JET should be suspected even in the absence of tachycardia in patients with ductus venosus and pulmonary vein retrograde flow or tricuspid and mitral regurgitation without a cardiac anomaly, as tachycardia might sometimes be intermittent in cases of JET.

摘要

背景

交界性心动过速(JET)是由起源于房室结的异位节律引起的,通常心率在 200 到 250bpm 之间。在此,我们报告了一例胎儿 JET 的病例,其心率正常,并对 9 例病例进行了回顾。

病例介绍

一名 32 岁的孕妇,G2P1,因胎儿 JET 无法在产前诊断,因为胎儿心率在正常范围内。胎儿被诊断为卵圆孔过早限制,并因右心负荷过重而行剖宫产术,表现为胎儿腹水和胎儿多普勒速度异常。产后,女性新生儿在 12 导联心电图上被诊断为 JET,显示新生儿心率为 158bpm,QRS 波群窄,房室分离。在胺碘酮治疗无效后,她接受了氟卡尼治疗,将 JET 率从 120 到 150bpm 控制。胎儿心动过速伴室房(VA)分离或 1:1VA 传导,VA 间隔短于房室折返性心动过速,可确诊为胎儿 JET。

结论

即使在没有心脏畸形的情况下,存在静脉导管和肺静脉逆行血流或三尖瓣和二尖瓣反流的患者,也应怀疑存在 JET,因为 JET 时的心动过速有时可能是间歇性的。

https://cdn.ncbi.nlm.nih.gov/pmc/blobs/5e2a/9003959/1fef6b229c54/12884_2022_4655_Fig2_HTML.jpg
https://cdn.ncbi.nlm.nih.gov/pmc/blobs/5e2a/9003959/3e8422a281e4/12884_2022_4655_Fig1_HTML.jpg
https://cdn.ncbi.nlm.nih.gov/pmc/blobs/5e2a/9003959/1fef6b229c54/12884_2022_4655_Fig2_HTML.jpg
https://cdn.ncbi.nlm.nih.gov/pmc/blobs/5e2a/9003959/3e8422a281e4/12884_2022_4655_Fig1_HTML.jpg
https://cdn.ncbi.nlm.nih.gov/pmc/blobs/5e2a/9003959/1fef6b229c54/12884_2022_4655_Fig2_HTML.jpg

相似文献

1
Atypical fetal junctional ectopic tachycardia: a case report and literature review.非典型胎儿交界性异位心动过速:病例报告及文献复习。
BMC Pregnancy Childbirth. 2022 Apr 11;22(1):311. doi: 10.1186/s12884-022-04655-6.
2
Prenatal diagnosis of a familial form of junctional ectopic tachycardia.家族性交界性异位性心动过速的产前诊断
Prenat Diagn. 1999 Aug;19(8):767-70. doi: 10.1002/(sici)1097-0223(199908)19:8<767::aid-pd617>3.0.co;2-1.
3
Junctional ectopic tachycardia in infancy: report of two cases.婴儿期交界性异位性心动过速:两例报告。
J Formos Med Assoc. 1991 May;90(5):517-9.
4
Junctional ectopic tachycardia after congenital heart surgery.先天性心脏病手术后的交界性异位性心动过速
Acta Anaesthesiol Belg. 2014;65(1):1-8.
5
Ivabradine as an Adjunct for Refractory Junctional Ectopic Tachycardia Following Pediatric Cardiac Surgery: A Preliminary Study.伊伐布雷定作为小儿心脏手术后难治性交界性异位性心动过速的辅助治疗:一项初步研究。
World J Pediatr Congenit Heart Surg. 2019 Nov;10(6):709-714. doi: 10.1177/2150135119876600.
6
Fetal Persistent junctional reciprocating tachycardia : a diagnostic and a therapeutic challenge.胎儿持续性交界性反复性心动过速:诊断与治疗的挑战
Tunis Med. 2019 Mar;97(3):500-503.
7
Tachycardia-induced cardiomyopathy after functional closure of the foramen ovale in a fetus.胎儿卵圆孔功能闭合后发生的心动过速性心肌病。
Pediatr Cardiol. 2011 Jun;32(5):678-80. doi: 10.1007/s00246-011-9926-7. Epub 2011 Feb 25.
8
Intravenous flecainide for the treatment of junctional ectopic tachycardia after surgery for congenital heart disease.静脉注射氟卡尼治疗先天性心脏病手术后的交界性异位性心动过速。
Ann Thorac Surg. 2003 Jul;76(1):148-51; discussion 151. doi: 10.1016/s0003-4975(03)00192-9.
9
Postoperative junctional ectopic tachycardia (JET).术后交界性异位性心动过速(JET)。
Z Kardiol. 2004 May;93(5):371-80. doi: 10.1007/s00392-004-0067-3.
10
Pharmacologic management of supraventricular tachycardias in children. Part 2: Atrial flutter, atrial fibrillation, and junctional and atrial ectopic tachycardia.儿童室上性心动过速的药物治疗。第2部分:心房扑动、心房颤动以及交界性和房性异位性心动过速。
Ann Pharmacother. 1997 Nov;31(11):1347-59. doi: 10.1177/106002809703101113.

引用本文的文献

1
Unexplained fetal tachycardia: A case report.不明原因的胎儿心动过速:一例报告。
World J Clin Cases. 2024 Mar 26;12(9):1698-1703. doi: 10.12998/wjcc.v12.i9.1698.

本文引用的文献

1
Treatment of Fetal Arrhythmias.胎儿心律失常的治疗。
J Clin Med. 2021 Jun 6;10(11):2510. doi: 10.3390/jcm10112510.
2
Junctional ectopic tachycardia in infants and children.婴幼儿及儿童交界性异位性心动过速
J Arrhythm. 2019 Dec 3;36(1):59-66. doi: 10.1002/joa3.12282. eCollection 2020 Feb.
3
Antenatal Therapy for Fetal Supraventricular Tachyarrhythmias: Multicenter Trial.胎儿室上性心动过速的产前治疗:多中心试验。
J Am Coll Cardiol. 2019 Aug 20;74(7):874-885. doi: 10.1016/j.jacc.2019.06.024.
4
Prenatal diagnosis and management of junctional ectopic tachycardia.交界性异位性心动过速的产前诊断与管理
HeartRhythm Case Rep. 2017 Aug 30;3(11):503-508. doi: 10.1016/j.hrcr.2017.07.022. eCollection 2017 Nov.
5
Transplacental treatment of fetal tachycardia: A systematic review and meta-analysis.经胎盘治疗胎儿心动过速:系统评价和荟萃分析。
Prenat Diagn. 2017 Nov;37(11):1076-1083. doi: 10.1002/pd.5144.
6
A genetic contribution to risk for postoperative junctional ectopic tachycardia in children undergoing surgery for congenital heart disease.基因对先天性心脏病患儿术后交界性心动过速的风险的影响。
Heart Rhythm. 2011 Dec;8(12):1900-4. doi: 10.1016/j.hrthm.2011.06.033. Epub 2011 Jul 6.
7
Pediatric nonpost-operative junctional ectopic tachycardia medical management and interventional therapies.小儿非术后交界性异位性心动过速的药物治疗及介入治疗
J Am Coll Cardiol. 2009 Feb 24;53(8):690-7. doi: 10.1016/j.jacc.2008.11.019.
8
A congenital form of junctional ectopic tachycardia.一种先天性连接性异位心动过速。
Int J Cardiol. 2010 Nov 19;145(2):e54-e56. doi: 10.1016/j.ijcard.2008.12.140. Epub 2009 Jan 30.
9
Fetal arrhythmias: the Saint-Justine hospital experience.胎儿心律失常:圣朱斯坦医院的经验
Prenat Diagn. 2004 Dec 30;24(13):1068-80. doi: 10.1002/pd.1064.
10
Amiodarone therapy for drug-refractory fetal tachycardia.胺碘酮治疗药物难治性胎儿心动过速。
Circulation. 2004 Jan 27;109(3):375-9. doi: 10.1161/01.CIR.0000109494.05317.58. Epub 2004 Jan 19.