Suppr超能文献

视网膜脱离硅油的迁移

Migration of silicone oil for retinal detachment.

作者信息

Allen Claire, Dawson Elliott, Aulakh Manek, Haas Christopher J

机构信息

MedStar Health Internal Medicine Residency Program, Baltimore, MD, USA.

Department of Neurology, MedStar Health, Baltimore, MD, USA.

出版信息

Radiol Case Rep. 2022 Apr 8;17(6):1968-1972. doi: 10.1016/j.radcr.2022.03.027. eCollection 2022 Jun.

Abstract

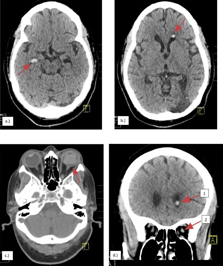
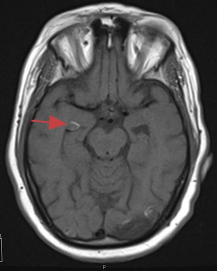
Here we describe two, separate, and unique radiological findings in two distinct patients, sequelae from prior silicone oil injection for management of retinal detachment. In both cases we present bilateral, frontal horn hyperdense "masses" without appreciable enhancement or surrounding vasogenic edema. Both cases serve as important reminders of the potential for silicone oil migration and its unique radiological presentation, which has the potential to be a radiologic mimic of intracerebral hemorrhage and significantly change medical management of individuals presenting with transient ischemic attack or cerebrovascular accident.

摘要

在此,我们描述了两名不同患者身上出现的两种独立且独特的放射学表现,这是先前为治疗视网膜脱离而注射硅油的后遗症。在这两个病例中,我们均发现双侧额叶角有高密度“肿块”,无明显强化或周围血管源性水肿。这两个病例都有力地提醒我们,硅油有迁移的可能性及其独特的放射学表现,这有可能在放射学上被误诊为脑出血,并显著改变患有短暂性脑缺血发作或脑血管意外患者的医疗管理。

https://cdn.ncbi.nlm.nih.gov/pmc/blobs/b83c/9010892/87904179e0e5/gr1.jpg

文献AI研究员

20分钟写一篇综述,助力文献阅读效率提升50倍。

立即体验

用中文搜PubMed

大模型驱动的PubMed中文搜索引擎

马上搜索

文档翻译

学术文献翻译模型,支持多种主流文档格式。

立即体验