Suppr超能文献

伴有右位心和肺发育不全的同侧半侧颜面短小畸形:一例报告

Ipsilateral hemifacial microsomia with dextrocardia and pulmonary hypoplasia: A case report.

作者信息

Guo Rui, Chang Shi-Hi, Wang Bing-Qing, Zhang Qing-Guo

机构信息

Department of Ear Reconstruction, Plastic Surgery Hospital, Chinese Academy of Medical Sciences and Peking Union Medical College, Beijing 100000, China.

出版信息

World J Clin Cases. 2022 Mar 26;10(9):2948-2953. doi: 10.12998/wjcc.v10.i9.2948.

Abstract

BACKGROUND

Hemifacial microsomia (HFM) is a rare congenital malformation characterized by a combination of various anomalies, including the face, ears, eyes, and vertebrae. Prenatal diagnosis for HFM is possible, and quite accurate ultrasound can detect obvious defects. The etiology is still unknown, although some hypotheses have been proposed, including gene mutation, chromosome anomaly, and environmental risk factors. However, there are few reports of pulmonary hypoplasia and dextrocardia in HFM.

CASE SUMMARY

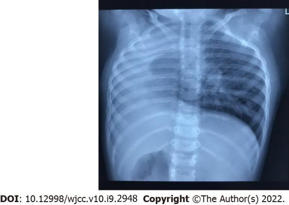
A 2-year-old boy presented to the ear reconstruction department of our hospital complaining of deviation of the face to the right side and auricular anomaly. Physical examination revealed facial asymmetry, preauricular skin tags, and concha-type microtia with stricture of the external auditory canal on the right side. Head magnetic resonance imaging showed bilateral semicircular canal dysplasia and bilateral internal auditory canals stenosis. Audiometric examination showed bilateral severe sensorineural hearing loss. Chest radiography and computed tomography showed dextrocardia and right pulmonary hypoplasia.

CONCLUSION

This case presented a rare finding and an unusual association of 3 malformations, ipsilateral HFM, pulmonary agenesis, and dextrocardia.

摘要

背景

半侧颜面短小畸形(HFM)是一种罕见的先天性畸形,其特征是包括面部、耳朵、眼睛和脊椎在内的各种异常的组合。HFM的产前诊断是可行的,相当精确的超声检查可以检测到明显的缺陷。尽管已经提出了一些假说,包括基因突变、染色体异常和环境危险因素,但其病因仍然不明。然而,关于HFM合并肺发育不全和右位心的报道很少。

病例摘要

一名2岁男孩因面部向右侧偏斜和耳部异常到我院耳再造科就诊。体格检查发现面部不对称、耳前皮肤赘生物以及右侧耳甲型小耳畸形伴外耳道狭窄。头部磁共振成像显示双侧半规管发育不全和双侧内耳道狭窄。听力检查显示双侧重度感音神经性听力损失。胸部X线和计算机断层扫描显示右位心和右肺发育不全。

结论

本病例呈现了一种罕见的发现以及同侧HFM、肺发育不全和右位心这三种畸形的异常关联。

https://cdn.ncbi.nlm.nih.gov/pmc/blobs/4324/8968792/d9271a9e271f/WJCC-10-2948-g001.jpg

文献AI研究员

20分钟写一篇综述,助力文献阅读效率提升50倍。

立即体验

用中文搜PubMed

大模型驱动的PubMed中文搜索引擎

马上搜索

文档翻译

学术文献翻译模型,支持多种主流文档格式。

立即体验