Suppr超能文献

即刻种植的新方法:CastleWall手术技术。

A Novel Approach to Immediate Implants: The CastleWall Surgical Technique.

作者信息

Castle Cameron

机构信息

Private Practice, CPD, 76 Woongarra St., Bundaberg, QLD 4670, Australia.

出版信息

Dent J (Basel). 2022 Apr 6;10(4):62. doi: 10.3390/dj10040062.

Abstract

OBJECTIVE

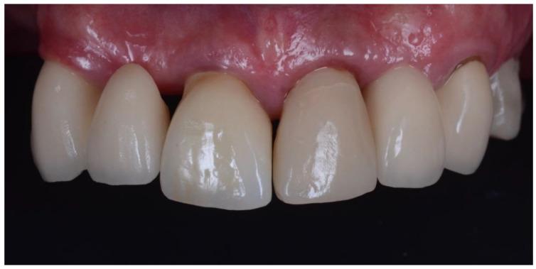
The purpose of this study was to investigate the volumetric stability around immediate implants, in which a 360-degree socket-shield was retained using the CastleWall Surgical Technique (CWST).

MATERIAL AND METHODS

This retrospective study examined the results of the CWST used for 25 consecutive patients, involving 31 immediate implants. Silicone impressions taken prior to extraction, and at a review appointment were converted to STL files and compared. The median follow-up time was 14.2 ± 5.5 months. Volumetric changes and gingival recession on both buccal and lingual sites were measured. Papillary height changes were also evaluated from available photographs taken before and after treatment. Patients in the study completed a Visual Analogue Scale (VAS) for evaluation of post-operative discomfort and overall satisfaction with this procedure.

RESULTS

All implants integrated successfully without complications. Mean loss of buccal and lingual tissue was 0.30 ± 0.32 mm and 0.17 ± 0.27 mm, respectively. Mean recession at the mid-buccal and mid-lingual gingival margin was 0.66 ± 0.64 mm and 0.87 ± 0.84 mm, respectively. Mean recession of the mesial and distal papilla was 0.26 ± 0.55 mm and 0.29 ± 0.52 mm, respectively. Patients reported 97.74 ± 5.60% satisfaction with this procedure using the Visual Analogue Scale (VAS), with minimal post-operative discomfort.

CONCLUSIONS

The results of this study showed excellent soft tissue stability and aesthetics were achieved using the CWST, with minimal postoperative pain. The other main advantage of retaining a 360-degree socket-shield, is there is more available surface area to lock the implant to the shield to prevent shield migration over time.

摘要

目的

本研究旨在调查使用CastleWall手术技术(CWST)保留360度牙槽窝屏障的即刻种植体周围的容积稳定性。

材料与方法

这项回顾性研究检查了连续25例患者使用CWST的结果,涉及31颗即刻种植体。在拔牙前和复查时采集的硅橡胶印模被转换为STL文件并进行比较。中位随访时间为14.2±5.5个月。测量颊侧和舌侧部位的容积变化和牙龈退缩情况。还从治疗前后的可用照片评估乳头高度变化。研究中的患者完成了视觉模拟量表(VAS),以评估术后不适和对该手术的总体满意度。

结果

所有种植体均成功整合,无并发症。颊侧和舌侧组织的平均损失分别为0.30±0.32毫米和0.17±0.27毫米。颊侧和舌侧牙龈缘中点的平均退缩分别为0.66±0.64毫米和0.87±0.84毫米。近中和远中乳头的平均退缩分别为0.26±0.55毫米和0.29±0.52毫米。患者使用视觉模拟量表(VAS)报告对该手术的满意度为97.74±5.60%,术后不适最小。

结论

本研究结果表明,使用CWST可实现出色的软组织稳定性和美学效果,术后疼痛最小。保留360度牙槽窝屏障的另一个主要优点是,有更多的可用表面积将种植体锁定在屏障上,以防止屏障随时间迁移。

https://cdn.ncbi.nlm.nih.gov/pmc/blobs/8f79/9027629/bbd5a653c4f6/dentistry-10-00062-g001.jpg

文献检索

告别复杂PubMed语法,用中文像聊天一样搜索,搜遍4000万医学文献。AI智能推荐,让科研检索更轻松。

立即免费搜索

文件翻译

保留排版,准确专业,支持PDF/Word/PPT等文件格式,支持 12+语言互译。

免费翻译文档

深度研究

AI帮你快速写综述,25分钟生成高质量综述,智能提取关键信息,辅助科研写作。

立即免费体验