• 文献检索
  • 文档翻译
  • 深度研究
  • 学术资讯
  • Suppr Zotero 插件Zotero 插件
  • 邀请有礼
  • 套餐&价格
  • 历史记录
应用&插件
Suppr Zotero 插件Zotero 插件浏览器插件Mac 客户端Windows 客户端微信小程序
定价
高级版会员购买积分包购买API积分包
服务
文献检索文档翻译深度研究API 文档MCP 服务
关于我们
关于 Suppr公司介绍联系我们用户协议隐私条款
关注我们

Suppr 超能文献

核心技术专利:CN118964589B侵权必究
粤ICP备2023148730 号-1Suppr @ 2026

文献检索

告别复杂PubMed语法,用中文像聊天一样搜索,搜遍4000万医学文献。AI智能推荐,让科研检索更轻松。

立即免费搜索

文件翻译

保留排版,准确专业,支持PDF/Word/PPT等文件格式,支持 12+语言互译。

免费翻译文档

深度研究

AI帮你快速写综述,25分钟生成高质量综述,智能提取关键信息,辅助科研写作。

立即免费体验

虐待中的实质损伤——诊断的潜在关键

Parenchymal Insults in Abuse-A Potential Key to Diagnosis.

作者信息

Caré Marguerite M

机构信息

Department of Radiology and Medical Imaging, Cincinnati Children's Hospital Medical Center, Cincinnati, OH 45229, USA.

Department of Radiology and Medical Imaging, University of Cincinnati, Cincinnati, OH 45267, USA.

出版信息

Diagnostics (Basel). 2022 Apr 12;12(4):955. doi: 10.3390/diagnostics12040955.

DOI:10.3390/diagnostics12040955
PMID:35454003
原文链接:https://pmc.ncbi.nlm.nih.gov/articles/PMC9029348/
Abstract

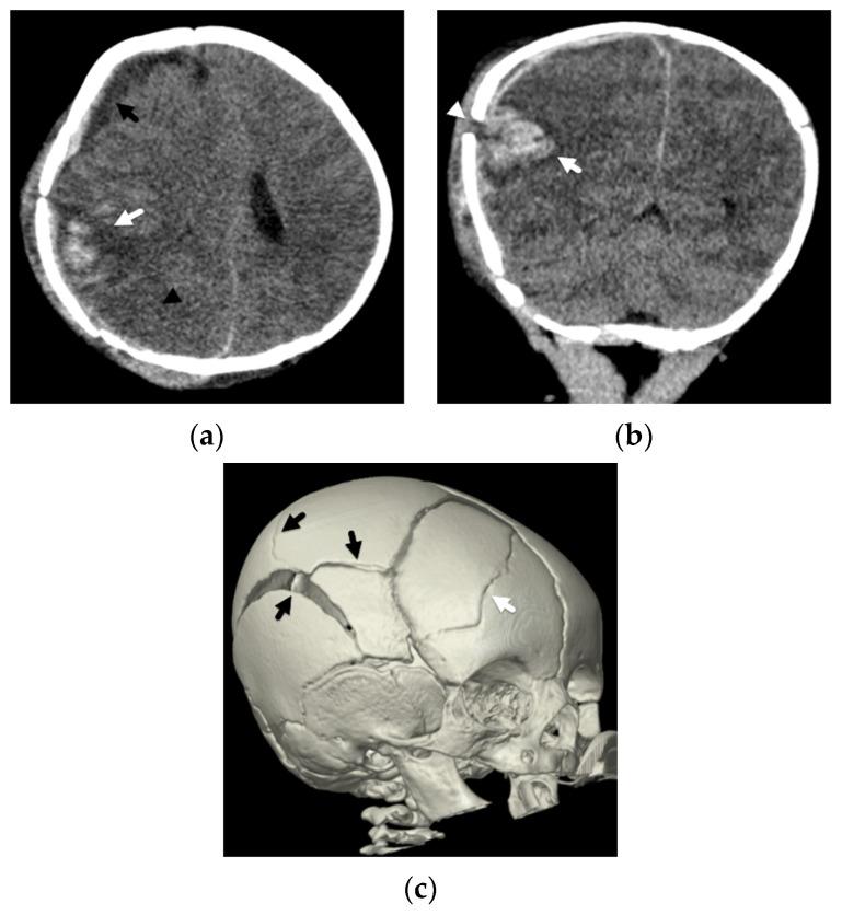
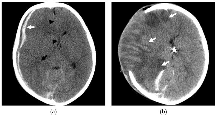
Subdural hemorrhage is a key imaging finding in cases of abusive head trauma and one that many radiologists and radiology trainees become familiar with during their years of training. Although it may prove to be a marker of trauma in a young child or infant that presents without a history of injury, the parenchymal insults in these young patients more often lead to the debilitating and sometimes devastating outcomes observed in this young population. It is important to recognize these patterns of parenchymal injuries and how they may differ from the imaging findings in other cases of traumatic injury in young children. In addition, these parenchymal insults may serve as another significant, distinguishing feature when making the medical diagnosis of abusive head injury while still considering alternative diagnoses, including accidental injury. Therefore, as radiologists, we must strive to look beyond the potential cranial injury or subdural hemorrhage for the sometimes more subtle but significant parenchymal insults in abuse.

摘要

硬膜下出血是虐待性头部创伤病例中的一项关键影像学表现,许多放射科医生和放射科实习生在多年培训过程中都对其有所了解。虽然在没有受伤史的幼儿或婴儿中,硬膜下出血可能被证明是创伤的一个标志,但这些年轻患者的脑实质损伤更常导致在这一年轻人群中观察到的使人衰弱甚至有时是毁灭性的后果。认识这些脑实质损伤的模式以及它们与幼儿其他创伤性损伤病例的影像学表现有何不同很重要。此外,在做出虐待性头部损伤的医学诊断时,在仍考虑包括意外伤害在内的其他诊断时,这些脑实质损伤可能是另一个重要的、有区别性的特征。因此,作为放射科医生,我们必须努力超越潜在的颅脑损伤或硬膜下出血,去寻找虐待中有时更细微但却很重要的脑实质损伤。

https://cdn.ncbi.nlm.nih.gov/pmc/blobs/2829/9029348/882e6e21a9b3/diagnostics-12-00955-g006a.jpg
https://cdn.ncbi.nlm.nih.gov/pmc/blobs/2829/9029348/0da49eb73564/diagnostics-12-00955-g001.jpg
https://cdn.ncbi.nlm.nih.gov/pmc/blobs/2829/9029348/3d83d1aed386/diagnostics-12-00955-g002a.jpg
https://cdn.ncbi.nlm.nih.gov/pmc/blobs/2829/9029348/c2c4f75436b8/diagnostics-12-00955-g003.jpg
https://cdn.ncbi.nlm.nih.gov/pmc/blobs/2829/9029348/2380ca27a37c/diagnostics-12-00955-g004.jpg
https://cdn.ncbi.nlm.nih.gov/pmc/blobs/2829/9029348/60167ff936fb/diagnostics-12-00955-g005.jpg
https://cdn.ncbi.nlm.nih.gov/pmc/blobs/2829/9029348/882e6e21a9b3/diagnostics-12-00955-g006a.jpg
https://cdn.ncbi.nlm.nih.gov/pmc/blobs/2829/9029348/0da49eb73564/diagnostics-12-00955-g001.jpg
https://cdn.ncbi.nlm.nih.gov/pmc/blobs/2829/9029348/3d83d1aed386/diagnostics-12-00955-g002a.jpg
https://cdn.ncbi.nlm.nih.gov/pmc/blobs/2829/9029348/c2c4f75436b8/diagnostics-12-00955-g003.jpg
https://cdn.ncbi.nlm.nih.gov/pmc/blobs/2829/9029348/2380ca27a37c/diagnostics-12-00955-g004.jpg
https://cdn.ncbi.nlm.nih.gov/pmc/blobs/2829/9029348/60167ff936fb/diagnostics-12-00955-g005.jpg
https://cdn.ncbi.nlm.nih.gov/pmc/blobs/2829/9029348/882e6e21a9b3/diagnostics-12-00955-g006a.jpg

相似文献

1
Parenchymal Insults in Abuse-A Potential Key to Diagnosis.虐待中的实质损伤——诊断的潜在关键
Diagnostics (Basel). 2022 Apr 12;12(4):955. doi: 10.3390/diagnostics12040955.
2
Usefulness of MRI detection of cervical spine and brain injuries in the evaluation of abusive head trauma.磁共振成像检测颈椎和脑损伤在虐待性头部创伤评估中的作用
Pediatr Radiol. 2014 Jul;44(7):839-48. doi: 10.1007/s00247-014-2874-7. Epub 2014 Feb 21.
3
Various Cranial and Orbital Imaging Findings in Pediatric Abusive and Non-abusive Head trauma, and Relation to Outcomes.儿童外伤性和非外伤性颅脑和眼眶影像学表现及其与结局的关系。
Clin Neuroradiol. 2019 Jun;29(2):253-261. doi: 10.1007/s00062-018-0663-7. Epub 2018 Jan 23.
4
Spinal subdural hemorrhage in abusive head trauma: a retrospective study.虐待性头部外伤致脊髓硬膜下血肿:一项回顾性研究。
Radiology. 2012 Jan;262(1):216-23. doi: 10.1148/radiol.11102390. Epub 2011 Nov 8.
5
Parenchymal Brain Laceration as a Predictor of Abusive Head Trauma.脑实质撕裂伤作为虐待性头部创伤的预测指标
AJNR Am J Neuroradiol. 2016 Jan;37(1):163-8. doi: 10.3174/ajnr.A4519. Epub 2015 Oct 15.
6
Characteristics that distinguish abusive from nonabusive head trauma among young children who underwent head computed tomography in Japan.在日本接受头部计算机断层扫描的幼儿中,区分虐待性头部创伤与非虐待性头部创伤的特征。
Pediatrics. 2008 Oct;122(4):e841-7. doi: 10.1542/peds.2008-0387. Epub 2008 Sep 1.
7
The importance of optic nerve sheath hemorrhage as a postmortem finding in cases of fatal abusive head trauma: A 13-year study in a tertiary hospital.视神经鞘出血作为致命性虐待性头部创伤病例的尸检发现的重要性:在一家三级医院进行的13年研究。
Forensic Sci Int. 2017 Jul;276:5-11. doi: 10.1016/j.forsciint.2017.04.008. Epub 2017 Apr 19.
8
Unilateral hypoxic-ischemic injury in young children from abusive head trauma, lacking craniocervical vascular dissection or cord injury.幼儿因虐待性头部外伤导致的单侧缺氧缺血性损伤,无颅颈血管夹层或脊髓损伤。
Pediatr Radiol. 2008 Feb;38(2):164-74. doi: 10.1007/s00247-007-0673-0. Epub 2007 Nov 20.
9
Imaging abusive head trauma: why use both computed tomography and magnetic resonance imaging?影像诊断虐待性头部外伤:为何同时使用计算机断层扫描和磁共振成像?
Pediatr Radiol. 2014 Dec;44 Suppl 4:S589-603. doi: 10.1007/s00247-014-3216-5. Epub 2014 Dec 14.
10
Intracranial Hypertension and Cerebral Hypoperfusion in Children With Severe Traumatic Brain Injury: Thresholds and Burden in Accidental and Abusive Insults.重度创伤性脑损伤患儿的颅内高压和脑灌注不足:意外和虐待性损伤中的阈值与负担
Pediatr Crit Care Med. 2016 May;17(5):444-50. doi: 10.1097/PCC.0000000000000709.

引用本文的文献

1
Spectrum of Magnetic Resonance Imaging Findings in Acute Pediatric Traumatic Brain Injury - A Pictorial Essay.小儿急性创伤性脑损伤的磁共振成像表现谱——图文综述
J Multidiscip Healthc. 2024 Jun 19;17:2921-2934. doi: 10.2147/JMDH.S466044. eCollection 2024.
2
Benign enlargement of the subarachnoid spaces and subdural collections-when to evaluate for abuse.蛛网膜下腔和硬脑膜下间隙的良性增大——何时需要评估滥用。
Pediatr Radiol. 2023 Apr;53(4):752-767. doi: 10.1007/s00247-023-05611-y. Epub 2023 Mar 1.

本文引用的文献

1
Whole-Spine MRI in Children With Suspected Abusive Head Trauma.疑似虐待性头部创伤儿童的全脊柱 MRI。
AJR Am J Roentgenol. 2022 Jun;218(6):1074-1087. doi: 10.2214/AJR.21.26674. Epub 2022 Jan 12.
2
Traumatic Head Injury and the Diagnosis of Abuse: A Cluster Analysis.创伤性头部损伤与虐待的诊断:聚类分析。
Pediatrics. 2022 Jan 1;149(1). doi: 10.1542/peds.2021-051742.
3
Unravelling neuroinflammation in abusive head trauma with radiotracer imaging.用放射性示踪剂成像技术揭示虐待性头部创伤中的神经炎症。
Pediatr Radiol. 2021 May;51(6):966-970. doi: 10.1007/s00247-021-04995-z. Epub 2021 May 17.
4
Neuroradiologic timing of intracranial hemorrhage in abusive head trauma.虐待性头部创伤中颅内出血的神经放射学时机
Pediatr Radiol. 2021 May;51(6):911-917. doi: 10.1007/s00247-020-04824-9. Epub 2021 May 17.
5
Long-term impact of abusive head trauma in young children: Outcomes at 5 and 11 years old.婴幼儿期虐待性头部创伤的长期影响:5 岁和 11 岁时的结果。
J Pediatr Surg. 2021 Dec;56(12):2318-2325. doi: 10.1016/j.jpedsurg.2021.02.019. Epub 2021 Feb 19.
6
Early developmental, behavioral, and quality of life outcomes following abusive head trauma in infants.婴儿虐待性头部创伤后的早期发育、行为和生活质量结果。
Child Abuse Negl. 2020 Oct;108:104643. doi: 10.1016/j.chiabu.2020.104643. Epub 2020 Jul 30.
7
Disability and visual outcomes following suspected abusive head trauma in children under 2 years.2 岁以下儿童疑似虐待性头部外伤后的残疾和视力结果。
Arch Dis Child. 2021 Jun;106(6):590-593. doi: 10.1136/archdischild-2019-318638. Epub 2020 Jul 14.
8
Estimating the Relevance of Historical Red Flags in the Diagnosis of Abusive Head Trauma.评估历史“警示征象”在诊断虐待性头部创伤中的相关性。
J Pediatr. 2020 Mar;218:178-183.e2. doi: 10.1016/j.jpeds.2019.11.010. Epub 2020 Jan 9.
9
Characteristics associated with spine injury on magnetic resonance imaging in children evaluated for abusive head trauma.在因虐待性头部创伤接受评估的儿童中,磁共振成像上与脊柱损伤相关的特征。
Pediatr Radiol. 2020 Jan;50(1):83-97. doi: 10.1007/s00247-019-04517-y. Epub 2020 Jan 4.
10
Implementation of a brain injury screen MRI for infants at risk for abusive head trauma.对有虐待性头部创伤风险的婴儿实施脑损伤筛查磁共振成像。
Pediatr Radiol. 2020 Jan;50(1):75-82. doi: 10.1007/s00247-019-04506-1. Epub 2020 Jan 4.