Suppr超能文献

大型股动脉假性动脉瘤的血管内治疗:病例报告与文献综述

Endovascular Management of a Large Femoral Pseudoaneurysm: A Case Report and Literary Review.

作者信息

Alexandre Karlbuto

机构信息

Department of Surgery, Detroit Medical Center (DMC) Sinai-Grace Hospital, Detroit, USA.

出版信息

Cureus. 2022 Mar 10;14(3):e23045. doi: 10.7759/cureus.23045. eCollection 2022 Mar.

Abstract

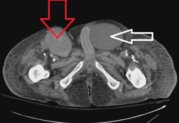
Femoral artery pseudoaneurysms have an increased incidence over the past few years due to the rise in percutaneous catheterization and so have the potential treatment options. Ultrasound-guided thrombin injection has been strongly studied, and data have shown its efficacy, safety, and superiority to ultrasound-guided compression therapy as well as open surgical repair; however, a less well-studied approach that appears to be burgeoning is endovascular stent repair. Many small studies and case reports have shown this option to be not only effective but also safe and might be the treatment option of choice in patients who are deemed high risk for surgical intervention or with complicated anatomical considerations at the site of injury. In this case report, we describe a 71-year-old man with an expanding right groin hematoma which was discovered to be a right superficial femoral artery pseudoaneurysm with a venous fistula connection to the common femoral vein. Due to the patient's venous fistula component, high surgical risk from substantial comorbidities, and large pseudoaneurysm size with a wide pseudoaneurysm neck, thrombin injection, compression therapy, and open surgical repair were ruled out as potential treatments; therefore, endovascular stent repair was performed. The procedure was successful, as was the patient's postoperative period. This case report and literary review can support and further validate the usage of endovascular stent repair to treat femoral artery pseudoaneurysms.

摘要

在过去几年中,由于经皮导管插入术的增加,股动脉假性动脉瘤的发病率有所上升,其潜在的治疗选择也随之增加。超声引导下注射凝血酶已得到深入研究,数据表明其有效性、安全性以及相较于超声引导下压迫疗法和开放手术修复的优越性;然而,一种似乎正在兴起但研究较少的方法是血管内支架修复。许多小型研究和病例报告表明,这种选择不仅有效,而且安全,对于那些被认为手术干预风险高或损伤部位存在复杂解剖学因素的患者而言,可能是首选的治疗方法。在本病例报告中,我们描述了一名71岁男性,其右侧腹股沟血肿不断扩大,经检查发现是右侧股浅动脉假性动脉瘤,并与股总静脉存在静脉瘘连接。由于患者存在静脉瘘成分、大量合并症导致的高手术风险以及假性动脉瘤尺寸较大且假性动脉瘤颈部较宽,凝血酶注射、压迫疗法和开放手术修复均被排除作为潜在治疗方法;因此,实施了血管内支架修复。手术成功,患者术后恢复良好。本病例报告及文献综述可为血管内支架修复治疗股动脉假性动脉瘤的应用提供支持并进一步验证。

https://cdn.ncbi.nlm.nih.gov/pmc/blobs/563a/9001809/7d81f6ac2c38/cureus-0014-00000023045-i01.jpg

文献检索

告别复杂PubMed语法,用中文像聊天一样搜索,搜遍4000万医学文献。AI智能推荐,让科研检索更轻松。

立即免费搜索

文件翻译

保留排版,准确专业,支持PDF/Word/PPT等文件格式,支持 12+语言互译。

免费翻译文档

深度研究

AI帮你快速写综述,25分钟生成高质量综述,智能提取关键信息,辅助科研写作。

立即免费体验