Suppr超能文献

腹膜增厚和强化能否用于判断急性阑尾炎患者是否穿孔?

Can peritoneal thickening and enhancement be used to determine perforation in patients with acute appendicitis?

机构信息

Department of Radiology, University of Health Sciences, Somalia Turkey Recep Tayyip Erdoğan Training and Research Hospital, Mogadishu-Somali.

Department of General Surgery, University of Health Sciences, Somalia Turkey Recep Tayyip Erdoğan Training and Research Hospital, Mogadishu-Somali.

出版信息

Ulus Travma Acil Cerrahi Derg. 2022 Apr;28(4):428-433. doi: 10.14744/tjtes.2020.58991.

Abstract

BACKGROUND

Acute appendicitis (AA) is a common cause of abdominal pain in developed countries. In patients with suspected AA, computed tomography (CT) is considered as the gold standard with the highest sensitivity and specificity, and it is also an im-portant modality, especially in patients with complicated AA. In this study, we aimed to evaluate age and laboratory findings, as well as specific CT findings in differentiating between perforated and non-perforated appendicitis.

METHODS

We retrospectively analyzed 252 patients diagnosed with AA and underwent appendectomy between November 2015 and December 2019 in Somalia Mogadishu Recep Tayyip Erdogan Education and Research Hospital. Patients under 18 years of age and those with no pre-operative CT scans were excluded from the study. The demographic, laboratory, CT findings, and pathological data of all patients were evaluated.

RESULTS

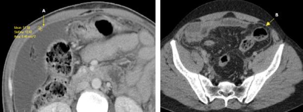
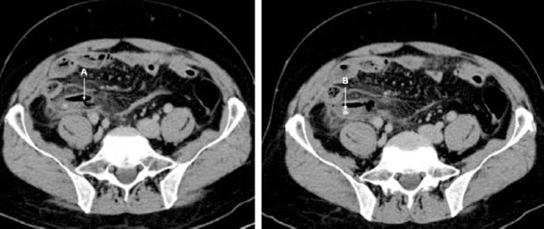
This study included 80 patients, 32 (40%) classified as perforated appendicitis (Group-1) and 48 (60%) as non-perforated appendicitis (Group-2). The C-reactive protein value was found to be statistically higher in Group-1 than in Group-2 (177.5±118.9 and 100.2±87.3 mg / L, respectively; p=0.001). The appendix lumen diameter (p=0.002), appendix wall defect (p<0.001), peritoneal thickening and enhancement (p<0.001), ascites (p=0.031), intra-abdominal abscess (p=0.003), jejunal thickening (p=0.019), ileal thick-ening (p=0.008), and ileus (p=0.035) values were significantly higher in Group-1. In the binominal logistic regression analysis performed with statistically significant data, an appendiceal wall defect (OR: 0.069, 95% CI=0.014-0.327, p=0.001) and peritoneal thickening and enhancement (OR: 0.131, 95% CI=0.024-0.714, p=0.019) were identified as independent variables for perforated appendicitis.

CONCLUSION

Among CT findings, appendix wall defects and peritoneal thickening and enhancement play an important role in detecting perforation.

摘要

背景

急性阑尾炎(AA)是发达国家腹痛的常见原因。在疑似 AA 的患者中,计算机断层扫描(CT)被认为是具有最高灵敏度和特异性的金标准,它也是一种重要的方式,特别是在复杂的 AA 患者中。在这项研究中,我们旨在评估年龄和实验室发现以及特定的 CT 发现,以区分穿孔性和非穿孔性阑尾炎。

方法

我们回顾性分析了 2015 年 11 月至 2019 年 12 月在索马里摩加迪沙雷杰普·塔伊普·埃尔多安教育和研究医院接受阑尾切除术并诊断为 AA 的 252 例患者。排除年龄小于 18 岁和术前无 CT 扫描的患者。评估所有患者的人口统计学、实验室、CT 发现和病理数据。

结果

本研究包括 80 例患者,32 例(40%)为穿孔性阑尾炎(第 1 组),48 例(60%)为非穿孔性阑尾炎(第 2 组)。第 1 组的 C 反应蛋白值明显高于第 2 组(分别为 177.5±118.9 和 100.2±87.3mg/L;p=0.001)。阑尾腔直径(p=0.002)、阑尾壁缺损(p<0.001)、腹膜增厚和增强(p<0.001)、腹水(p=0.031)、腹腔脓肿(p=0.003)、空肠增厚(p=0.019)、回肠增厚(p=0.008)和肠梗阻(p=0.035)值在第 1 组中明显更高。在进行统计学显著数据的二项逻辑回归分析中,阑尾壁缺损(OR:0.069,95%CI=0.014-0.327,p=0.001)和腹膜增厚和增强(OR:0.131,95%CI=0.024-0.714,p=0.019)被确定为穿孔性阑尾炎的独立变量。

结论

在 CT 发现中,阑尾壁缺损和腹膜增厚和增强在检测穿孔中起着重要作用。

https://cdn.ncbi.nlm.nih.gov/pmc/blobs/b952/10443133/8474218ba5c7/TJTES-28-428-g001.jpg

文献AI研究员

20分钟写一篇综述,助力文献阅读效率提升50倍。

立即体验

用中文搜PubMed

大模型驱动的PubMed中文搜索引擎

马上搜索

文档翻译

学术文献翻译模型,支持多种主流文档格式。

立即体验