• 文献检索
  • 文档翻译
  • 深度研究
  • 学术资讯
  • Suppr Zotero 插件Zotero 插件
  • 邀请有礼
  • 套餐&价格
  • 历史记录
应用&插件
Suppr Zotero 插件Zotero 插件浏览器插件Mac 客户端Windows 客户端微信小程序
定价
高级版会员购买积分包购买API积分包
服务
文献检索文档翻译深度研究API 文档MCP 服务
关于我们
关于 Suppr公司介绍联系我们用户协议隐私条款
关注我们

Suppr 超能文献

核心技术专利:CN118964589B侵权必究
粤ICP备2023148730 号-1Suppr @ 2026

文献检索

告别复杂PubMed语法,用中文像聊天一样搜索,搜遍4000万医学文献。AI智能推荐,让科研检索更轻松。

立即免费搜索

文件翻译

保留排版,准确专业,支持PDF/Word/PPT等文件格式,支持 12+语言互译。

免费翻译文档

深度研究

AI帮你快速写综述,25分钟生成高质量综述,智能提取关键信息,辅助科研写作。

立即免费体验

PD-L1 免疫组化标志物在胃癌中的预后价值及其与 HER2 状态的相关性。

Prognostic Value of PD-L1 Immunohistochemical Marker in Gastric Carcinoma and Its Correlation with HER2 Status.

机构信息

Pathology Department, Faculty of Medicine, Mansoura University, Mansoura, Egypt.

Department of Clinical Oncology and Nuclear medicine, Faculty of Medicine, Mansoura University, Mansoura, Egypt.

出版信息

Asian Pac J Cancer Prev. 2022 Apr 1;23(4):1433-1444. doi: 10.31557/APJCP.2022.23.4.1433.

DOI:10.31557/APJCP.2022.23.4.1433
PMID:35485706
原文链接:https://pmc.ncbi.nlm.nih.gov/articles/PMC9375601/
Abstract

OBJECTIVE

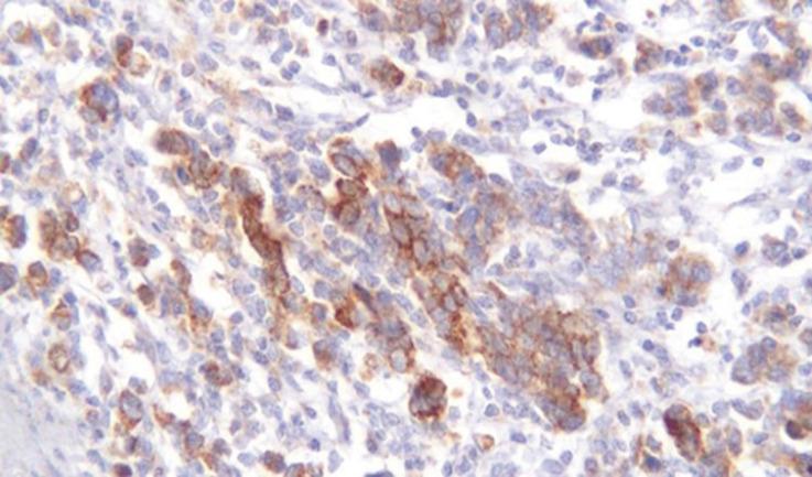
Programmed death-ligand 1 (PD-L1) and human epidermal growth factor receptor 2 (HER2) are currently considered as prognostic markers and therapeutic targets in many human cancers. This study aims to evaluate immunohistochemical (IHC) expression of PD-L1 in gastric cancer (GC) and explore its prognostic role in terms of association with HER2 expression, different clinico-pathological variables, in particular density and cluster designation (CD)8 positivity in tumor infiltrating lymphocytes (TILs) and with patients' disease-free and overall survival (DFS, OS).

METHODS

This retrospective cohort study included 111 diagnosed primary GC patients who underwent surgical resection at the Gastrointestinal Surgery Center (GISC), Faculty of Medicine, Mansoura University, Egypt. After demographic, clinicopathological and survival data collection, histopathological evaluation was done for GC typing, staging and assessment of the histopathological prognostic parameters. IHC was performed for PD-L1, HER2 and CD8. PDL-1 was scored using the Combined Positive Score (CPS).

RESULTS

PD-L1 was expressed in 43.2% of GCs at a CPS cut-off value ≥ 1. PDL-1 positivity was significantly associated with high TILs and CD8+ TILs (p=0.008, 0.016 respectively), indicating its contribution to tumor microenvironment along with the TILs. Multivariate analysis spotted PD-L1 positivity as an independent prognostic predictor for shorter OS in GC (p=0.013), with a tendency toward shorter DFS. Only 9.9% GCs were HER2 positive (score +3) with no significant association with PD-L1.

CONCLUSION

PDL-1 is a promising prognostic and therapeutic target in GC that may direct the selection of patients for immunotherapy and checkpoint-blockade (pembrolizumab) therapy.

摘要

目的

程序性死亡配体 1(PD-L1)和人表皮生长因子受体 2(HER2)目前被认为是许多人类癌症的预后标志物和治疗靶点。本研究旨在评估胃癌(GC)中 PD-L1 的免疫组化(IHC)表达,并探讨其与 HER2 表达、不同临床病理变量的相关性,特别是肿瘤浸润淋巴细胞(TILs)中密度和簇指定(CD)8 阳性的预后作用,并与患者的无病生存和总生存(DFS、OS)相关。

方法

本回顾性队列研究纳入了 111 例在埃及曼苏拉大学医学院胃肠外科中心(GISC)接受手术切除的确诊原发性 GC 患者。收集人口统计学、临床病理和生存数据后,对 GC 进行组织病理学评估,包括分型、分期和评估组织病理学预后参数。对 PD-L1、HER2 和 CD8 进行免疫组化检测。PD-L1 采用联合阳性评分(CPS)进行评分。

结果

在 CPS 截断值≥1 的情况下,43.2%的 GC 表达 PD-L1。PD-L1 阳性与高 TILs 和 CD8+TILs 显著相关(p=0.008,0.016),表明其与 TILs 一起促进肿瘤微环境。多变量分析发现 PD-L1 阳性是 GC 患者 OS 较短的独立预后预测因子(p=0.013),DFS 也有缩短的趋势。只有 9.9%的 GC 为 HER2 阳性(评分+3),与 PD-L1 无显著相关性。

结论

PD-L1 是 GC 有前途的预后和治疗靶点,可能指导免疫治疗和检查点阻断(pembrolizumab)治疗患者的选择。

https://cdn.ncbi.nlm.nih.gov/pmc/blobs/4622/9375601/71a3de237ce3/APJCP-23-1433-g010.jpg
https://cdn.ncbi.nlm.nih.gov/pmc/blobs/4622/9375601/84f16cee9e37/APJCP-23-1433-g001.jpg
https://cdn.ncbi.nlm.nih.gov/pmc/blobs/4622/9375601/848e2fd89327/APJCP-23-1433-g002.jpg
https://cdn.ncbi.nlm.nih.gov/pmc/blobs/4622/9375601/ec2d01899b85/APJCP-23-1433-g003.jpg
https://cdn.ncbi.nlm.nih.gov/pmc/blobs/4622/9375601/68d26bc1d0ea/APJCP-23-1433-g004.jpg
https://cdn.ncbi.nlm.nih.gov/pmc/blobs/4622/9375601/e2fb5af957fd/APJCP-23-1433-g005.jpg
https://cdn.ncbi.nlm.nih.gov/pmc/blobs/4622/9375601/97c1775db4a0/APJCP-23-1433-g006.jpg
https://cdn.ncbi.nlm.nih.gov/pmc/blobs/4622/9375601/55a077eb0d77/APJCP-23-1433-g007.jpg
https://cdn.ncbi.nlm.nih.gov/pmc/blobs/4622/9375601/3620c528b605/APJCP-23-1433-g008.jpg
https://cdn.ncbi.nlm.nih.gov/pmc/blobs/4622/9375601/3a1c54cc0085/APJCP-23-1433-g009.jpg
https://cdn.ncbi.nlm.nih.gov/pmc/blobs/4622/9375601/71a3de237ce3/APJCP-23-1433-g010.jpg
https://cdn.ncbi.nlm.nih.gov/pmc/blobs/4622/9375601/84f16cee9e37/APJCP-23-1433-g001.jpg
https://cdn.ncbi.nlm.nih.gov/pmc/blobs/4622/9375601/848e2fd89327/APJCP-23-1433-g002.jpg
https://cdn.ncbi.nlm.nih.gov/pmc/blobs/4622/9375601/ec2d01899b85/APJCP-23-1433-g003.jpg
https://cdn.ncbi.nlm.nih.gov/pmc/blobs/4622/9375601/68d26bc1d0ea/APJCP-23-1433-g004.jpg
https://cdn.ncbi.nlm.nih.gov/pmc/blobs/4622/9375601/e2fb5af957fd/APJCP-23-1433-g005.jpg
https://cdn.ncbi.nlm.nih.gov/pmc/blobs/4622/9375601/97c1775db4a0/APJCP-23-1433-g006.jpg
https://cdn.ncbi.nlm.nih.gov/pmc/blobs/4622/9375601/55a077eb0d77/APJCP-23-1433-g007.jpg
https://cdn.ncbi.nlm.nih.gov/pmc/blobs/4622/9375601/3620c528b605/APJCP-23-1433-g008.jpg
https://cdn.ncbi.nlm.nih.gov/pmc/blobs/4622/9375601/3a1c54cc0085/APJCP-23-1433-g009.jpg
https://cdn.ncbi.nlm.nih.gov/pmc/blobs/4622/9375601/71a3de237ce3/APJCP-23-1433-g010.jpg

相似文献

1
Prognostic Value of PD-L1 Immunohistochemical Marker in Gastric Carcinoma and Its Correlation with HER2 Status.PD-L1 免疫组化标志物在胃癌中的预后价值及其与 HER2 状态的相关性。
Asian Pac J Cancer Prev. 2022 Apr 1;23(4):1433-1444. doi: 10.31557/APJCP.2022.23.4.1433.
2
Programmed death-ligand 1 expression in gastric cancer: correlation with mismatch repair deficiency and HER2-negative status.程序性死亡配体 1 在胃癌中的表达:与错配修复缺陷和 HER2 阴性状态的相关性。
Cancer Med. 2018 Jun;7(6):2612-2620. doi: 10.1002/cam4.1502. Epub 2018 Apr 19.
3
Programmed death ligand-1 and CD8 tumor-infiltrating lymphocytes (TILs) as prognostic predictors in ovarian high-grade serous carcinoma (HGSC).程序性死亡配体-1和CD8肿瘤浸润淋巴细胞(TILs)作为高级别浆液性卵巢癌(HGSC)的预后预测指标
J Egypt Natl Canc Inst. 2021 Jul 9;33(1):16. doi: 10.1186/s43046-021-00073-5.
4
Angiogenesis, programmed death ligand 1 (PD-L1) and immune microenvironment association in laryngeal carcinoma.喉癌中的血管生成、程序性死亡配体 1 (PD-L1) 和免疫微环境的关联。
Pathology. 2021 Dec;53(7):844-851. doi: 10.1016/j.pathol.2021.02.007. Epub 2021 May 14.
5
Prognostic impacts of the combined positive score and the tumor proportion score for programmed death ligand-1 expression by double immunohistochemical staining in patients with advanced gastric cancer.双免疫组化染色检测程序性死亡配体-1 表达的联合阳性评分和肿瘤比例评分对晚期胃癌患者预后的影响。
Gastric Cancer. 2020 Jan;23(1):95-104. doi: 10.1007/s10120-019-00999-9. Epub 2019 Aug 26.
6
Programmed cell death protein 1/programmed death ligand 1 but not HER2 is a potential therapeutic target in gastric neuroendocrine carcinoma.程序性细胞死亡蛋白 1/程序性死亡配体 1 而非 HER2 是胃神经内分泌癌的潜在治疗靶点。
Histopathology. 2021 Feb;78(3):381-391. doi: 10.1111/his.14230. Epub 2020 Sep 26.
7
Predictive value of NLR, TILs (CD4+/CD8+) and PD-L1 expression for prognosis and response to preoperative chemotherapy in gastric cancer.中性粒细胞与淋巴细胞比值、肿瘤浸润淋巴细胞(CD4+/CD8+)及程序性死亡配体 1 表达对胃癌患者预后及术前化疗反应的预测价值。
Cancer Immunol Immunother. 2022 Jan;71(1):45-55. doi: 10.1007/s00262-021-02960-1. Epub 2021 May 19.
8
Expression of Programmed Death Ligand1 (PD-L1) in Gastric Carcinoma (Histopathological and Immunohistochemical Study).程序性死亡配体 1(PD-L1)在胃癌中的表达(组织病理学和免疫组织化学研究)。
Asian Pac J Cancer Prev. 2023 Jul 1;24(7):2295-2303. doi: 10.31557/APJCP.2023.24.7.2295.
9
Prognostic impact of programed cell death-1 (PD-1) and PD-ligand 1 (PD-L1) expression in cancer cells and tumor infiltrating lymphocytes in colorectal cancer.程序性细胞死亡蛋白1(PD-1)和PD-配体1(PD-L1)在大肠癌细胞及肿瘤浸润淋巴细胞中的表达对结直肠癌的预后影响
Mol Cancer. 2016 Aug 24;15(1):55. doi: 10.1186/s12943-016-0539-x.
10
Expression Profile of Markers for Targeted Therapy in Gastric Cancer Patients: HER-2, Microsatellite Instability and PD-L1.胃癌患者靶向治疗标志物的表达谱:HER-2、微卫星不稳定性和 PD-L1。
Mol Diagn Ther. 2019 Dec;23(6):761-771. doi: 10.1007/s40291-019-00424-y.

引用本文的文献

1
Programmed Death Ligand-1 Expression in Gastric Cancer Cases in Zambia.赞比亚胃癌病例中程序性死亡配体-1的表达
J Agric Biomed Sci. 2025 Apr-Jun;9(2). doi: 10.53974/unza.jabs.9.2.1492. Epub 2025 Jun 4.
2
Efficacy and safety of sintilimab combined with nab-paclitaxel plus S-1 for neoadjuvant treatment of locally advanced gastric cancer.信迪利单抗联合白蛋白紫杉醇加S-1用于局部晚期胃癌新辅助治疗的疗效和安全性
World J Gastrointest Surg. 2025 Jun 27;17(6):106361. doi: 10.4240/wjgs.v17.i6.106361.
3
Anti-HER2 biparatopic antibody KJ015 has near-native structure, functional balanced high affinity, and synergistic efficacy with anti-PD-1 treatment in vivo.

本文引用的文献

1
Prognostic Value of Tumor-Infiltrating Lymphocytes and Tertiary Lymphoid Structures in Epstein-Barr Virus-Associated and -Negative Gastric Carcinoma.肿瘤浸润淋巴细胞和三级淋巴结构在 Epstein-Barr 病毒相关和非相关胃癌中的预后价值。
Front Immunol. 2021 Jul 1;12:692859. doi: 10.3389/fimmu.2021.692859. eCollection 2021.
2
Cancer statistics for the year 2020: An overview.2020年癌症统计数据概述。
Int J Cancer. 2021 Apr 5. doi: 10.1002/ijc.33588.
3
Prognostic role of tumour-infiltrating lymphocytes assessed by H&E-stained section in gastric cancer: a systematic review and meta-analysis.
抗 HER2 双价抗体 KJ015 具有接近天然结构、功能平衡的高亲和力,并与体内抗 PD-1 治疗具有协同疗效。
MAbs. 2024 Jan-Dec;16(1):2412881. doi: 10.1080/19420862.2024.2412881. Epub 2024 Oct 9.
4
Emerging Targets for Systemic Treatment of Gastric Cancer: HER2 and Beyond.胃癌全身治疗的新兴靶点:HER2及其他
J Gastric Cancer. 2024 Jan;24(1):29-56. doi: 10.5230/jgc.2024.24.e6.
5
Clinicopathological Study of PD-1/PD-L1 Expression in Chronic Lymphocytic Leukemia/Small Lymphocytic Lymphoma (CLL/SLL) with Emphasis on Large B-Cell Richter Transformation.慢性淋巴细胞白血病/小淋巴细胞淋巴瘤(CLL/SLL)中 PD-1/PD-L1 表达的临床病理研究,重点是大 B 细胞 Richter 转化。
Asian Pac J Cancer Prev. 2023 Dec 1;24(12):4243-4252. doi: 10.31557/APJCP.2023.24.12.4243.
6
Prognostic value of PD‑L1 expression and CD68 macrophages in tumor nest of patients with primary gastric cancer.原发性胃癌患者肿瘤巢中PD-L1表达及CD68巨噬细胞的预后价值
Oncol Lett. 2023 Nov 15;27(1):20. doi: 10.3892/ol.2023.14153. eCollection 2024 Jan.
7
Association of PD-L1 Expression with Clinicopathologic Characters in Gastric Cancer: A Comprehensive Meta-analysis.PD-L1 表达与胃癌临床病理特征的相关性:一项综合荟萃分析。
Curr Med Chem. 2024;31(21):3198-3216. doi: 10.2174/0109298673263784230922060257.
8
HER2-Positive Gastric Cancer: The Role of Immunotherapy and Novel Therapeutic Strategies.人表皮生长因子受体 2 阳性胃癌:免疫治疗及新型治疗策略的作用。
Int J Mol Sci. 2023 Jul 13;24(14):11403. doi: 10.3390/ijms241411403.
基于 H&E 染色切片评估的肿瘤浸润淋巴细胞在胃癌中的预后作用:系统评价和荟萃分析。
BMJ Open. 2021 Jan 31;11(1):e044163. doi: 10.1136/bmjopen-2020-044163.
4
Significance of Detection of the HER2 Gene and PD-1/PD-L1 in Gastric Cancer.HER2基因及PD-1/PD-L1检测在胃癌中的意义
J Oncol. 2020 Oct 13;2020:8678945. doi: 10.1155/2020/8678945. eCollection 2020.
5
Prognostic perspectives of PD-L1 combined with tumor-infiltrating lymphocytes, Epstein-Barr virus, and microsatellite instability in gastric carcinomas.胃腺癌中 PD-L1 联合肿瘤浸润淋巴细胞、EB 病毒和微卫星不稳定性的预后预测。
Diagn Pathol. 2020 Jun 4;15(1):69. doi: 10.1186/s13000-020-00979-z.
6
Current status of immune checkpoint inhibitors for gastric cancer.胃癌免疫检查点抑制剂的现状。
Gastric Cancer. 2020 Jul;23(4):565-578. doi: 10.1007/s10120-020-01090-4. Epub 2020 May 28.
7
PD-L1 and HER2 Expression in Gastroesophageal Cancer: a Matched Case Control Study.胃食管交界癌中 PD-L1 和 HER2 的表达:一项配对病例对照研究。
Pathol Oncol Res. 2020 Oct;26(4):2225-2235. doi: 10.1007/s12253-020-00814-2. Epub 2020 May 5.
8
Recent Developments of Systemic Chemotherapy for Gastric Cancer.胃癌全身化疗的最新进展
Cancers (Basel). 2020 Apr 28;12(5):1100. doi: 10.3390/cancers12051100.
9
PD-L1 Expression Is a Favorable Prognostic Marker in Gastric Carcinoma.PD-L1 表达是胃癌的有利预后标志物。
Appl Immunohistochem Mol Morphol. 2020 Nov/Dec;28(10):748-754. doi: 10.1097/PAI.0000000000000834.
10
Scoring System for Tumor-Infiltrating Lymphocytes and Its Prognostic Value for Gastric Cancer.肿瘤浸润淋巴细胞评分系统及其对胃癌的预后价值。
Front Immunol. 2019 Jan 29;10:71. doi: 10.3389/fimmu.2019.00071. eCollection 2019.