• 文献检索
  • 文档翻译
  • 深度研究
  • 学术资讯
  • Suppr Zotero 插件Zotero 插件
  • 邀请有礼
  • 套餐&价格
  • 历史记录
应用&插件
Suppr Zotero 插件Zotero 插件浏览器插件Mac 客户端Windows 客户端微信小程序
定价
高级版会员购买积分包购买API积分包
服务
文献检索文档翻译深度研究API 文档MCP 服务
关于我们
关于 Suppr公司介绍联系我们用户协议隐私条款
关注我们

Suppr 超能文献

核心技术专利:CN118964589B侵权必究
粤ICP备2023148730 号-1Suppr @ 2026

文献检索

告别复杂PubMed语法,用中文像聊天一样搜索,搜遍4000万医学文献。AI智能推荐,让科研检索更轻松。

立即免费搜索

文件翻译

保留排版,准确专业,支持PDF/Word/PPT等文件格式,支持 12+语言互译。

免费翻译文档

深度研究

AI帮你快速写综述,25分钟生成高质量综述,智能提取关键信息,辅助科研写作。

立即免费体验

糖基化组织蛋白酶V作为肺癌的预后标志物

Glycosylated Cathepsin V Serves as a Prognostic Marker in Lung Cancer.

作者信息

Yang Lewei, Zeng Qi, Deng Yun, Qiu Yeqing, Yao Wei, Liao Yifeng

机构信息

Department of Oncology, The fifth Affiliated Hospital of Sun Yat-sen University, Zhuhai, China.

出版信息

Front Oncol. 2022 Apr 13;12:876245. doi: 10.3389/fonc.2022.876245. eCollection 2022.

DOI:10.3389/fonc.2022.876245
PMID:35494076
原文链接:https://pmc.ncbi.nlm.nih.gov/articles/PMC9043764/
Abstract

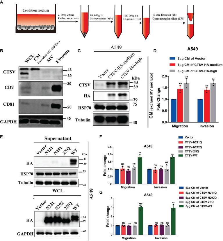
Dysregulation of cysteine cathepsin protease activity is pivotal in tumorigenic transformation. However, the role of cathepsin protease in lung cancer remains unknown. Here, we analyzed GEO database and found that lung cancer presented high expression of cathepsin V (). We then performed immunohistochemistry assay in 73 paired lung cancer tissues and normal lung tissues and confirmed that is overexpressed in lung cancer and correlates with poor prognosis. The mass spectrometry experiment showed that the N-glycosylation locus of are N221 and N292, glycosylated (band 43 kDa) was particularly expressed in lung cancer samples and correlated with lymph node metastasis. Mechanistic studies showed that only glycosylated (43-kDa band) are secreted to extracellular matrix (ECM) and promoted the metastasis of lung cancer. Importantly, the Elisa detection in serum of 12 lung cancer patients and 12 healthy donors showed that the level of in serum distinguished lung cancer patients from healthy donors. Together, our findings reveal the clinical relevance of glycosylation and drives the metastasis of lung cancer, suggesting that the glycosylated in serum is a promising biomarker for lung cancer.

摘要

半胱氨酸组织蛋白酶蛋白酶活性的失调在肿瘤发生转化中起关键作用。然而,组织蛋白酶蛋白酶在肺癌中的作用仍不清楚。在这里,我们分析了基因表达综合数据库(GEO数据库),发现肺癌中组织蛋白酶V呈现高表达。然后我们在73对肺癌组织和正常肺组织中进行了免疫组织化学检测,证实其在肺癌中过表达且与预后不良相关。质谱实验表明,其N-糖基化位点为N221和N292,糖基化的组织蛋白酶V(43 kDa条带)在肺癌样本中特别表达且与淋巴结转移相关。机制研究表明,只有糖基化的组织蛋白酶V(43 kDa条带)分泌到细胞外基质(ECM)并促进肺癌转移。重要的是,对12名肺癌患者和12名健康供体血清的酶联免疫吸附测定(ELISA)检测表明,血清中组织蛋白酶V的水平可区分肺癌患者和健康供体。总之,我们的研究结果揭示了组织蛋白酶V糖基化的临床相关性,并且其驱动肺癌转移,表明血清中糖基化的组织蛋白酶V是一种有前景的肺癌生物标志物。

https://cdn.ncbi.nlm.nih.gov/pmc/blobs/4777/9043764/7ff10267ad27/fonc-12-876245-g005.jpg
https://cdn.ncbi.nlm.nih.gov/pmc/blobs/4777/9043764/5c632ca2671d/fonc-12-876245-g001.jpg
https://cdn.ncbi.nlm.nih.gov/pmc/blobs/4777/9043764/ef3198a13ffd/fonc-12-876245-g002.jpg
https://cdn.ncbi.nlm.nih.gov/pmc/blobs/4777/9043764/82b4af8aabf0/fonc-12-876245-g003.jpg
https://cdn.ncbi.nlm.nih.gov/pmc/blobs/4777/9043764/528d6a87ba4b/fonc-12-876245-g004.jpg
https://cdn.ncbi.nlm.nih.gov/pmc/blobs/4777/9043764/7ff10267ad27/fonc-12-876245-g005.jpg
https://cdn.ncbi.nlm.nih.gov/pmc/blobs/4777/9043764/5c632ca2671d/fonc-12-876245-g001.jpg
https://cdn.ncbi.nlm.nih.gov/pmc/blobs/4777/9043764/ef3198a13ffd/fonc-12-876245-g002.jpg
https://cdn.ncbi.nlm.nih.gov/pmc/blobs/4777/9043764/82b4af8aabf0/fonc-12-876245-g003.jpg
https://cdn.ncbi.nlm.nih.gov/pmc/blobs/4777/9043764/528d6a87ba4b/fonc-12-876245-g004.jpg
https://cdn.ncbi.nlm.nih.gov/pmc/blobs/4777/9043764/7ff10267ad27/fonc-12-876245-g005.jpg

相似文献

1
Glycosylated Cathepsin V Serves as a Prognostic Marker in Lung Cancer.糖基化组织蛋白酶V作为肺癌的预后标志物
Front Oncol. 2022 Apr 13;12:876245. doi: 10.3389/fonc.2022.876245. eCollection 2022.
2
Cathepsin V drives lung cancer progression by shaping the immunosuppressive environment and adhesion molecules cleavage.组织蛋白酶 V 通过塑造免疫抑制环境和切割黏附分子促进肺癌进展。
Aging (Albany NY). 2023 Dec 8;15(23):13961-13979. doi: 10.18632/aging.205278.
3
Prognostic significance of cathepsin V (CTSV/CTSL2) in breast ductal carcinoma in situ.组织蛋白酶 V(CTSV/CTSL2)在乳腺导管原位癌中的预后意义。
J Clin Pathol. 2020 Feb;73(2):76-82. doi: 10.1136/jclinpath-2019-205939. Epub 2019 Aug 23.
4
Decreased cathepsin V expression due to Fli1 deficiency contributes to the development of dermal fibrosis and proliferative vasculopathy in systemic sclerosis.由于 Fli1 缺陷导致组织蛋白酶 V 表达减少,导致系统性硬化症皮肤纤维化和增生性血管病变的发展。
Rheumatology (Oxford). 2013 May;52(5):790-9. doi: 10.1093/rheumatology/kes379. Epub 2013 Jan 3.
5
Cathepsin V regulates cell cycle progression and histone stability in the nucleus of breast cancer cells.组织蛋白酶V调节乳腺癌细胞核中的细胞周期进程和组蛋白稳定性。
Front Pharmacol. 2023 Nov 6;14:1271435. doi: 10.3389/fphar.2023.1271435. eCollection 2023.
6
CTSV (cathepsin V) promotes bladder cancer progression by increasing NF-κB activity.组织蛋白酶 V(CTSV)通过增加 NF-κB 活性促进膀胱癌进展。
Bioengineered. 2022 Apr;13(4):10180-10190. doi: 10.1080/21655979.2022.2061278.
7
Expression of human cathepsin L or human cathepsin V in mouse thymus mediates positive selection of T helper cells in cathepsin L knock-out mice.人组织蛋白酶 L 或人组织蛋白酶 V 在小鼠胸腺中的表达介导组织蛋白酶 L 敲除小鼠中辅助性 T 细胞的阳性选择。
Biochimie. 2010 Nov;92(11):1674-80. doi: 10.1016/j.biochi.2010.03.014. Epub 2010 Mar 25.
8
Exogenous cathepsin V protein protects human cardiomyocytes HCM from angiotensin Ⅱ-Induced hypertrophy.外源性组织蛋白酶V蛋白可保护人心肌细胞HCM免受血管紧张素Ⅱ诱导的肥大。
Int J Biochem Cell Biol. 2017 Aug;89:6-15. doi: 10.1016/j.biocel.2017.05.020. Epub 2017 May 15.
9
Human brain gene expression profiles of the cathepsin V and cathepsin L cysteine proteases, with the PC1/3 and PC2 serine proteases, involved in neuropeptide production.参与神经肽生成的组织蛋白酶V和组织蛋白酶L半胱氨酸蛋白酶以及PC1/3和PC2丝氨酸蛋白酶的人类大脑基因表达谱。
Heliyon. 2018 Jul 3;4(7):e00673. doi: 10.1016/j.heliyon.2018.e00673. eCollection 2018 Jul.
10
Critical Role of Cathepsin L/V in Regulating Endothelial Cell Senescence.组织蛋白酶L/V在调节内皮细胞衰老中的关键作用
Biology (Basel). 2022 Dec 26;12(1):42. doi: 10.3390/biology12010042.

引用本文的文献

1
Prognostic molecular subtype reveals the heterogeneity of tumor immune microenvironment in gastric cancer.预后分子亚型揭示了胃癌肿瘤免疫微环境的异质性。
Sci Rep. 2025 Apr 25;15(1):14453. doi: 10.1038/s41598-025-96686-0.
2
CTSG is a prognostic marker involved in immune infiltration and inhibits tumor progression though the MAPK signaling pathway in non-small cell lung cancer.CTSG是一种参与免疫浸润的预后标志物,通过丝裂原活化蛋白激酶(MAPK)信号通路抑制非小细胞肺癌的肿瘤进展。
J Cancer Res Clin Oncol. 2024 Dec 26;151(1):21. doi: 10.1007/s00432-024-06051-3.
3
Profiling of Potential Anti-Diabetic Active Compounds in White Tea: An Integrated Study of Polyphenol-Targeted Metabolomics, Network Pharmacology, and Computer Simulation.

本文引用的文献

1
Expression signature, prognosis value and immune characteristics of cathepsin F in non-small cell lung cancer identified by bioinformatics assessment.生物信息学评估鉴定的非小细胞肺癌组织蛋白酶 F 的表达特征、预后价值和免疫特征。
BMC Pulm Med. 2021 Dec 20;21(1):420. doi: 10.1186/s12890-021-01796-w.
2
Global Cancer Statistics 2020: GLOBOCAN Estimates of Incidence and Mortality Worldwide for 36 Cancers in 185 Countries.《全球癌症统计数据 2020:全球 185 个国家和地区 36 种癌症的发病率和死亡率估计》。
CA Cancer J Clin. 2021 May;71(3):209-249. doi: 10.3322/caac.21660. Epub 2021 Feb 4.
3
Cathepsin V suppresses GATA3 protein expression in luminal A breast cancer.
白茶中潜在抗糖尿病活性化合物的剖析:多酚靶向代谢组学、网络药理学与计算机模拟的综合研究
Foods. 2024 Oct 22;13(21):3354. doi: 10.3390/foods13213354.
4
The Prognostic Significance of CTSV Expression in Patients with Hepatocellular Carcinoma.CTSV表达在肝细胞癌患者中的预后意义
Int J Gen Med. 2024 Oct 23;17:4867-4881. doi: 10.2147/IJGM.S467179. eCollection 2024.
5
Integration of Single-Cell RNA Sequencing and Bulk RNA Sequencing to Identify an Immunogenic Cell Death-Related 5-Gene Prognostic Signature in Hepatocellular Carcinoma.整合单细胞RNA测序和批量RNA测序以鉴定肝细胞癌中与免疫原性细胞死亡相关的5基因预后特征
J Hepatocell Carcinoma. 2024 May 16;11:879-900. doi: 10.2147/JHC.S449419. eCollection 2024.
6
Single-cell mRNA sequencing of giant panda (Ailuropoda melanoleuca) seminoma reveals the cellular and molecular characteristics of tumour cells.大熊猫(Ailuropoda melanoleuca)精原细胞瘤的单细胞 mRNA 测序揭示了肿瘤细胞的细胞和分子特征。
Vet Med Sci. 2024 Jan;10(1):e1348. doi: 10.1002/vms3.1348.
7
Cathepsin V drives lung cancer progression by shaping the immunosuppressive environment and adhesion molecules cleavage.组织蛋白酶 V 通过塑造免疫抑制环境和切割黏附分子促进肺癌进展。
Aging (Albany NY). 2023 Dec 8;15(23):13961-13979. doi: 10.18632/aging.205278.
8
Multimodal AI for prediction of distant metastasis in carcinoma patients.用于预测癌症患者远处转移的多模态人工智能
Front Bioinform. 2023 May 9;3:1131021. doi: 10.3389/fbinf.2023.1131021. eCollection 2023.
9
Identification of Target Proteins Involved in Cochlear Hair Cell Progenitor Cytotoxicity following Gentamicin Exposure.庆大霉素暴露后参与耳蜗毛细胞祖细胞毒性的靶蛋白鉴定。
J Clin Med. 2022 Jul 14;11(14):4072. doi: 10.3390/jcm11144072.
组织蛋白酶V抑制腔面A型乳腺癌中GATA3蛋白的表达。
Breast Cancer Res. 2020 Dec 9;22(1):139. doi: 10.1186/s13058-020-01376-6.
4
Mechanism of action of Panax notoginoside against lung cancer in mice based on response to CTSB gene.基于对 CTSB 基因的响应,探讨三七总皂苷治疗肺癌的作用机制。
BMC Complement Med Ther. 2020 Nov 25;20(1):367. doi: 10.1186/s12906-020-03159-0.
5
Cathepsin V Mediates the Tazarotene-induced Gene 1-induced Reduction in Invasion in Colorectal Cancer Cells.组织蛋白酶 V 介导维 A 酸诱导基因 1 诱导的结直肠癌细胞侵袭减少。
Cell Biochem Biophys. 2020 Dec;78(4):483-494. doi: 10.1007/s12013-020-00940-3. Epub 2020 Sep 12.
6
Identification of DHODH as a therapeutic target in small cell lung cancer.鉴定二氢乳清酸脱氢酶(DHODH)为小细胞肺癌的治疗靶点。
Sci Transl Med. 2019 Nov 6;11(517). doi: 10.1126/scitranslmed.aaw7852.
7
Prognostic significance of cathepsin V (CTSV/CTSL2) in breast ductal carcinoma in situ.组织蛋白酶 V(CTSV/CTSL2)在乳腺导管原位癌中的预后意义。
J Clin Pathol. 2020 Feb;73(2):76-82. doi: 10.1136/jclinpath-2019-205939. Epub 2019 Aug 23.
8
Identification of risk loci and a polygenic risk score for lung cancer: a large-scale prospective cohort study in Chinese populations.鉴定肺癌的风险基因座和多基因风险评分:一项针对中国人群的大规模前瞻性队列研究。
Lancet Respir Med. 2019 Oct;7(10):881-891. doi: 10.1016/S2213-2600(19)30144-4. Epub 2019 Jul 17.
9
Lung Cancer Incidence and Mortality with Extended Follow-up in the National Lung Screening Trial.国家肺癌筛查试验中延长随访后的肺癌发病率和死亡率。
J Thorac Oncol. 2019 Oct;14(10):1732-1742. doi: 10.1016/j.jtho.2019.05.044. Epub 2019 Jun 28.
10
EGFR mutation subtypes and response to immune checkpoint blockade treatment in non-small-cell lung cancer.非小细胞肺癌中 EGFR 突变亚型与免疫检查点阻断治疗的反应。
Ann Oncol. 2019 Aug 1;30(8):1311-1320. doi: 10.1093/annonc/mdz141.