Suppr超能文献

ST段抬高型心肌梗死中的可卡因与新型冠状病毒肺炎

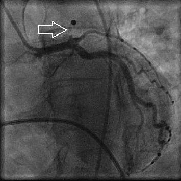
Cocaine and COVID-19 in ST-Elevation Myocardial Infarction.

作者信息

Appenzeller Florian, Gawaz Meinrad, Müller Iris

机构信息

University Hospital, Department of Cardiology and Cardiovascular Medicine, Eberhard Karls University Tübingen, 72076 Tübingen, Germany.

出版信息

Case Rep Cardiol. 2022 Apr 22;2022:5640965. doi: 10.1155/2022/5640965. eCollection 2022.

Abstract

Both COVID-19 disease and cocaine consumption have prothrombotic and hypercoagulable effects and are associated with increased risk of cardiovascular events. We report the case of a patient with acute myocardial infarction in the setting of active COVID-19 disease and recent cocaine consumption. We hypothesize that COVID-19 and cocaine synergistically provoke cardiovascular events. Identifying COVID-19 disease and/or cocaine abuse as potential triggers of acute myocardial infarction can be crucial due to distinctive therapeutic consequences.

摘要

新冠病毒疾病和可卡因使用均具有促血栓形成和高凝作用,并与心血管事件风险增加相关。我们报告了一例在患有活动性新冠病毒疾病且近期使用过可卡因的情况下发生急性心肌梗死的患者。我们推测新冠病毒疾病和可卡因会协同引发心血管事件。鉴于独特的治疗后果,将新冠病毒疾病和/或可卡因滥用识别为急性心肌梗死的潜在触发因素可能至关重要。

https://cdn.ncbi.nlm.nih.gov/pmc/blobs/c409/9054480/db4c40046513/CRIC2022-5640965.001.jpg

相似文献

1
Cocaine and COVID-19 in ST-Elevation Myocardial Infarction.
Case Rep Cardiol. 2022 Apr 22;2022:5640965. doi: 10.1155/2022/5640965. eCollection 2022.
4
Post-infectious ST elevation myocardial infarction following a COVID-19 infection: A case report.
Biomed Rep. 2022 Feb;16(2):10. doi: 10.3892/br.2021.1493. Epub 2021 Dec 15.
5
6
Two is not always better than one: ST-segment elevation myocardial infarction and acute pulmonary embolism in COVID-19.
Oxf Med Case Reports. 2022 Jun 23;2022(6):omac056. doi: 10.1093/omcr/omac056. eCollection 2022 Jun.
8
Cocaine and chest pain: clinical features and outcome of patients hospitalized to rule out myocardial infarction.
Ann Intern Med. 1991 Aug 15;115(4):277-82. doi: 10.7326/0003-4819-115-4-277.

引用本文的文献

1
Substances of abuse and their effect on SAR-CoV-2 pathogenesis.
NeuroImmune Pharm Ther. 2023 Jul 31;2(3):301-316. doi: 10.1515/nipt-2023-0004. eCollection 2023 Sep.

本文引用的文献

1
Acute COVID-19 and the Incidence of Ischemic Stroke and Acute Myocardial Infarction.
Circulation. 2020 Nov 24;142(21):2080-2082. doi: 10.1161/CIRCULATIONAHA.120.050809. Epub 2020 Oct 15.
2
Anticoagulation, Bleeding, Mortality, and Pathology in Hospitalized Patients With COVID-19.
J Am Coll Cardiol. 2020 Oct 20;76(16):1815-1826. doi: 10.1016/j.jacc.2020.08.041. Epub 2020 Aug 26.
3
Microthrombi and ST-Segment-Elevation Myocardial Infarction in COVID-19.
Circulation. 2020 Aug 25;142(8):804-809. doi: 10.1161/CIRCULATIONAHA.120.049294. Epub 2020 Jul 17.
4
Endothelial cell infection and endotheliitis in COVID-19.
Lancet. 2020 May 2;395(10234):1417-1418. doi: 10.1016/S0140-6736(20)30937-5. Epub 2020 Apr 21.
5
COVID-19 and Cardiovascular Disease.
Circulation. 2020 May 19;141(20):1648-1655. doi: 10.1161/CIRCULATIONAHA.120.046941. Epub 2020 Mar 21.
8
Effect of cocaine usage on C-reactive protein, von Willebrand factor, and fibrinogen.
Am J Cardiol. 2002 May 1;89(9):1133-5. doi: 10.1016/s0002-9149(02)02289-0.
9
10
Triggering of myocardial infarction by cocaine.
Circulation. 1999 Jun 1;99(21):2737-41. doi: 10.1161/01.cir.99.21.2737.

文献AI研究员

20分钟写一篇综述,助力文献阅读效率提升50倍。

立即体验

用中文搜PubMed

大模型驱动的PubMed中文搜索引擎

马上搜索

文档翻译

学术文献翻译模型,支持多种主流文档格式。

立即体验