Suppr超能文献

使用计算机断层扫描测量健康犬盆腔膈肌的形态学参数。

Measuring morphological parameters of the pelvic diaphragm muscles using computed tomography in healthy dogs.

作者信息

Ashtari Mohammad Sadegh, Veshkini Abbas, Masoudifard Majid, Gilanpour Hassan, Bahonar Alireza

机构信息

Department of Clinical Sciences, Faculty of Veterinary Medicine, Science and Research Branch, Islamic Azad University, Tehran, Iran.

Department of Surgery and Radiology, Faculty of Veterinary Medicine, University of Tehran, Tehran, Iran.

出版信息

Vet Res Forum. 2021 Dec;12(4):493-496. doi: 10.30466/vrf.2019.114322.2719. Epub 2021 Dec 15.

Abstract

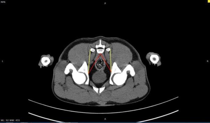
Evaluation of pelvic diaphragm muscles in dogs merits clinical attention because of the anatomical importance and their involvement in perineal hernia. This study aimed to evaluate the normal pelvic diaphragm muscles ( and coccygeus muscles) using the computed tomography (CT) scan. For this purpose, 10 male and 10 female clinically normal, adult intact mixed-breed dogs weighing 15.00 to 20.00 kg were selected randomly. All animals underwent CT examination under general anesthesia and positioned in sternal recumbency. All the CT images were taken and reconstructed with a same protocol. The measurements of the pelvic diaphragm muscles were performed based on the presented guideline to the observer. The results were presented descriptively. The mean lengths of the coccygeus muscle in CT images were evaluated 4.60 cm for males and 4.30 cm for females. The mean lengths of muscle in CT images were measured 4.90 cm in males and 4.50 cm in females. In conclusion, the results of the present study can be beneficial to clinicians and researchers for further evaluation of the supporting muscles in pelvic cavity and underlying anatomical changes in perineal hernia in dogs.

摘要

由于盆腔膈肌在解剖学上的重要性及其与会阴疝的关系,对犬盆腔膈肌的评估值得临床关注。本研究旨在使用计算机断层扫描(CT)评估正常的盆腔膈肌(和尾骨肌)。为此,随机选择了10只雄性和10只雌性临床正常、成年未绝育的体重在15.00至20.00千克之间的混种犬。所有动物在全身麻醉下接受CT检查,并采取胸骨卧位。所有CT图像均按照相同方案进行采集和重建。根据向观察者提供的指南对盆腔膈肌进行测量。结果以描述性方式呈现。CT图像中尾骨肌的平均长度,雄性为4.60厘米,雌性为4.30厘米。CT图像中肌肉的平均长度,雄性为4.90厘米,雌性为4.50厘米。总之,本研究结果可为临床医生和研究人员进一步评估犬盆腔内的支撑肌肉以及会阴疝潜在的解剖学变化提供帮助。

https://cdn.ncbi.nlm.nih.gov/pmc/blobs/3e4e/9010835/aef048144f4c/vrf-12-493-g001.jpg

文献AI研究员

20分钟写一篇综述,助力文献阅读效率提升50倍。

立即体验

用中文搜PubMed

大模型驱动的PubMed中文搜索引擎

马上搜索

文档翻译

学术文献翻译模型,支持多种主流文档格式。

立即体验